相关产品推荐更多 >
万千商家帮你免费找货
0 人在求购买到急需产品
- 详细信息
- 文献和实验
- 技术资料
- 抗体名:
IGF1抗体
- 抗体英文名:
IBP1, IGF-IA, IGF1A, IGFI, insulin-like growth factor 1, insulin-like growth factor IA, mechano growth factor, MGF, somatomedin C
- 靶点:
-
- 浓度:
-
- 应用范围:
-
- 宿主:
-
- 适应物种:
-
- 保质期:
-
- 抗原来源:
-
- 目录编号:
-
- 级别:
-
- 库存:
现货
- 供应商:
爱必信(上海)生物科技有限公司
- 标记物:
-
- 克隆性:
-
- 保存条件:
Shipped at 4°C. Upon delivery aliquot and store at -20°C for one year. Avoid freeze/thaw cycles.
- 形态:
-
- 亚型:
-
- 免疫原:
-
- 规格:
50ul/100ul
| 规格: | 50ul | 产品价格: | ¥1500.0 |
|---|---|---|---|
| 规格: | 100ul | 产品价格: | ¥2300.0 |
| 描述 | Rabbit polyclonal antibody to IGF1 |
| 别名 | IGF1抗体;IBP1, IGF-IA, IGF1A, IGFI, insulin-like growth factor 1, insulin-like growth factor IA, mechano growth factor, MGF, somatomedin C |
| 宿主 | Rabbit |
| 特异性 | Recognizes endogenous levels of IGF1 protein. |
| 反应种属 | Human, Mouse, Rat |
| 应用 | WB 1:500 - 1:2000, IHC 1:50 - 1:200 |
| 分子量 | Detects a band of approximately 22kD Disclaimer note: The observed molecular weight of the protein may vary from the listed predicted molecular weight due to post translational modifications, post translation cleavages, relative charges, and other experimental factors. |
| 免疫原 | KLH-conjugated synthetic peptide encompassing a sequence within the center region of human IGF1. The exact sequence is proprietary. |
| 纯化方法 | The antibody was purified by immunogen affinity chromatography. |
| 类型 | Polyclonal Antibody |
| 储存/保存方法 | Shipped at 4°C. Upon delivery aliquot and store at -20°C for one year. Avoid freeze/thaw cycles. |
| UniProt | P05019 |
Western blot analysis of IGF1 expression in Hela (A), mouse testis (B), rat testis (C) whole cell lysates.
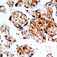
Immunohistochemical analysis of IGF1 staining in human pancreas formalin fixed paraffin embedded tissue section. The section was pre-treated using heat mediated antigen retrieval with sodium citrate buffer (pH 6.0). The section was then incubated with the antibody at room temperature and detected using an HRP conjugated compact polymer system. DAB was used as the chromogen. The section was then counterstained with haematoxylin and mounted with DPX.
风险提示:丁香通仅作为第三方平台,为商家信息发布提供平台空间。用户咨询产品时请注意保护个人信息及财产安全,合理判断,谨慎选购商品,商家和用户对交易行为负责。对于医疗器械类产品,请先查证核实企业经营资质和医疗器械产品注册证情况。
文献和实验- Single-cell RNA sequencing reveals resident progenitor and vascularization-associated cell subpopulations in rat annulus fibrosusHeng Sun, Huan Wang, Weidong Zhang, Haijiao Mao, Bin Li
Journal of Orthopaedic Translation. 2022 Dec 08 .
影响因子: 4.889
Immunofluorescence: Rabbit Anti-Murine RELMα
for 25 minutes. 3. Incubate the tissue section with blocking buffer for 20 minutes. 4. Incubate the tissue section overnight at 4?C with Rabbit Anti-Murine RELMα at 4.0 ng/mL in 1X PBS with 0.01% Triton-X and 0.5% BSA. Wash the slide
抗核抗体(anti-nucleic antibody,ANA)检测
抗核抗体(anti-nucleic antibody,ANA)是以真核细胞的核成分为靶抗原的自身抗体的总称。细胞核内含有许多不同成分如核蛋白、核糖核蛋白(ribonucleo protein,RNP)、脱氧核糖核酸(DNA)等。 在某些因素,如细菌、病毒、药物等作用下,可改变细胞核某些成分的性质,激发机体免疫系统产生许多抗不同核成分的抗体。
Polyclonal Antibody Production
Zealand White Rabbits and have them delivered to the ARC. Don’t put all your eggs in one basket only using one rabbit. Let them get accustomed to there home there for two weeks before the first pre-bleed. Pre-bleed
技术资料暂无技术资料 索取技术资料








