相关产品推荐更多 >
万千商家帮你免费找货
0 人在求购买到急需产品
- 详细信息
- 文献和实验
- 技术资料
- 抗体名:
KLK11抗体
- 抗体英文名:
PRSS20,TLSP
- 靶点:
-
- 浓度:
-
- 应用范围:
-
- 宿主:
-
- 适应物种:
-
- 保质期:
-
- 抗原来源:
-
- 目录编号:
-
- 级别:
-
- 库存:
现货
- 供应商:
爱必信(上海)生物科技有限公司
- 标记物:
-
- 克隆性:
-
- 保存条件:
Store at -20℃. Avoid freeze / thaw cycles.
- 形态:
-
- 亚型:
-
- 免疫原:
-
- 规格:
50ul
| 别名 | KLK11抗体;PRSS20,TLSP |
| 宿主 | Rabbit |
| 反应种属 | Human;Mouse |
| 应用 | WB 1:500 - 1:2000 IHC 1:50 - 1:200 |
| 分子量 | Predicted molecular weight: 27kD/30kD/31kD/33kD Disclaimer note: The observed molecular weight of the protein may vary from the listed predicted molecular weight due to post translational modifications, post translation cleavages, relative charges, and other experimental factors. |
| 免疫原 | Recombinant fusion protein containing a sequence corresponding to amino acids 1-250 of human KLK11 (NP_001129504.1). |
| 阳性对照 | A-375,BT-474,HeLa,Mouse lung |
| 纯化方法 | Affinity purification |
| 类型 | Polyclonal Antibody |
| 同种型 | IgG |
| 储存/保存方法 | Store at -20℃. Avoid freeze / thaw cycles. |
| 存储溶液 | Store at -20℃. Avoid freeze / thaw cycles. Buffer: PBS with 0.02% sodium azide, 50% glycerol, pH7.3. |
| 背景说明 | Kallikreins are a subgroup of serine proteases having diverse physiological functions. Growing evidence suggests that many kallikreins are implicated in carcinogenesis and some have potential as novel cancer and other disease biomarkers. This gene is one of the fifteen kallikrein subfamily members located in a cluster on chromosome 19. Alternate splicing and the use of alternate promoters results in multiple transcript variants encoding distinct isoforms which are differentially expressed. |
| 细胞定位 | Golgi apparatus,Secreted |
| UniProt | Q9UBX7 |
Western blot analysis of extracts of various cell lines, using KLK11 Antibody (abs117318) at 1:1000 dilution. Secondary antibody: HRP Goat Anti-Rabbit IgG (H+L) at 1:10000 dilution. Lysates/proteins: 25ug per lane. Blocking buffer: 3% nonfat dry milk in TBST. Detection: ECL Enhanced Kit . Exposure time: 20s.
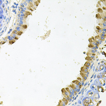
Immunohistochemistry of paraffin-embedded mouse brain using KLK11 antibody at dilution of 1:100 (40x lens).
Immunohistochemistry of paraffin-embedded mouse lung using KLK11 antibody at dilution of 1:100 (40x lens).
风险提示:丁香通仅作为第三方平台,为商家信息发布提供平台空间。用户咨询产品时请注意保护个人信息及财产安全,合理判断,谨慎选购商品,商家和用户对交易行为负责。对于医疗器械类产品,请先查证核实企业经营资质和医疗器械产品注册证情况。
文献和实验- 人组织激肽释放酶11在甲状腺乳头状癌患者血清和组织中的表达及临床意义吴彤;兰正苍;刘志昌;杨斌;段瑞雪
医学研究生学报. 2021 Sep 13 .
Immunofluorescence: Rabbit Anti-Murine RELMα
for 25 minutes. 3. Incubate the tissue section with blocking buffer for 20 minutes. 4. Incubate the tissue section overnight at 4?C with Rabbit Anti-Murine RELMα at 4.0 ng/mL in 1X PBS with 0.01% Triton-X and 0.5% BSA. Wash the slide
抗核抗体(anti-nucleic antibody,ANA)检测
抗核抗体(anti-nucleic antibody,ANA)是以真核细胞的核成分为靶抗原的自身抗体的总称。细胞核内含有许多不同成分如核蛋白、核糖核蛋白(ribonucleo protein,RNP)、脱氧核糖核酸(DNA)等。 在某些因素,如细菌、病毒、药物等作用下,可改变细胞核某些成分的性质,激发机体免疫系统产生许多抗不同核成分的抗体。
Polyclonal Antibody Production
Zealand White Rabbits and have them delivered to the ARC. Don’t put all your eggs in one basket only using one rabbit. Let them get accustomed to there home there for two weeks before the first pre-bleed. Pre-bleed
技术资料暂无技术资料 索取技术资料








