相关产品推荐更多 >
万千商家帮你免费找货
0 人在求购买到急需产品
- 详细信息
- 文献和实验
- 技术资料
- 库存:
/
- 英文名:
/
- CAS号:
/
- 保质期:
/
- 供应商:
江苏乐赛生物科技有限公司
- 保存条件:
-20℃ or 2-8℃
VITROGEL无动物源功能性凝胶准确模仿自然的细胞外基质(ECM)环境,生物功能性好,操作简便,为新药研发、组织工程、细胞治疗和个性化医疗提供了强大的3D细胞培养平台和注射给药系统。
无动物源功能性凝胶是3D细胞培养应用于临床研究的关键因素。VitroGel能高通量从细胞或患者来源的细胞建立3D器官模型。使用vitrogel作为注射给药系统,可以在细胞治疗中更好地保留细胞活性。这项突破性的技术使从3D水凝胶中回收细胞比以 往更加容易。

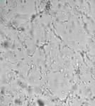
VitroGel® MSC支持3D培养MSC,可用于放大生产MSC的凝胶细胞株,无需使用微载体;同时支持从液氮中直接复苏或与培养容器中的细胞直接混合形成凝胶细胞株。




(VitroGel® MSC的3D培养)
将MSC细胞以8x105个细胞/mL的密度悬浮在培养基中,与VitroGel® MSC混合后进行3D培养。图像显示了第0天到第7天MSC细胞的生长和增殖情况。
风险提示:丁香通仅作为第三方平台,为商家信息发布提供平台空间。用户咨询产品时请注意保护个人信息及财产安全,合理判断,谨慎选购商品,商家和用户对交易行为负责。对于医疗器械类产品,请先查证核实企业经营资质和医疗器械产品注册证情况。
文献和实验细胞治疗技术正扮演着越来越重要的角色。其中,CAR-T 细胞治疗、间充质干细胞(MSC)治疗以及 T 细胞治疗是三种备受关注的细胞治疗方法。 这些治疗方法通过采集患者体内的特定细胞,经过体外激活、修饰、扩增等步骤,再将这些具有特定功能的细胞移植回患者体内,以达到治疗疾病的目的。为了更好地理解和应用这些治疗技术,下面我们将整合并详细叙述这三种细胞治疗的流程图内容,为研究人员和临床医生提供一个清晰的操作指南。 CAR-T 细胞治疗流程 间充质干细胞治疗流程 T 细胞治疗流程
外泌体提取过程中,影响纯度的最大因素之一是杂蛋白,杂蛋白是令无数外泌体人为之头疼的痛点! 杂蛋白来源于哪里呢? 以 MSC 干细胞为例,在培养过程中的大量血清 (FBS)、人血小板裂解物 (HPL)、蛋白因子混合物的使用,这些都含大量外泌体杂质,其中一些杂质是蛋白因子,经过长期细胞培养也不会降解,增加了培养基的异源外泌体或者外泌体类似物,对于下游外泌体的制备带来诸多不可控的影响。 如何解决杂蛋白问题呢? 从实验设计的角度来说,在前端杂蛋白越少,意味着后端去除杂蛋白的方法和步骤
1、 0.25%胰酶先解冻,并置入孵箱中预热20分钟。2、 倒掉培养瓶中的培养基,并用PBS洗两次。3、 加入月1.5ml的胰酶,并晃动瓶子,使液体浸润瓶底。4、 将瓶置入孵箱约2分钟5、 镜下观察,见细胞边缘折光增加,即可加入含血清的培养基终止消化。6、 吹打20次左右,细胞就能脱壁了。7、 稀释,分瓶接种











