相关产品推荐更多 >
万千商家帮你免费找货
0 人在求购买到急需产品
- 详细信息
- 询价记录
- 文献和实验
- 技术资料
- 库存:
充足
- 英文名:
RapidLyse Plasmid Mini Kit
- 供应商:
诺唯赞
- 保存条件:
RapidLyse Mix,2 ~ 8℃保存,室温运输; 其他组分,15 ~ 25℃保存,室温运输。
- 规格:
200 rxns
RapidLyse Plasmid Mini Kit

质粒DNA提取;产物可用于酶切;PCR;测序;连接转化

技术革新:一步裂解,颠覆传统
快速:6 min即可完成提取
高产:提取效率高,质粒DNA产量高达35 µg

本试剂盒采用新型的一步裂解技术,仅需6 min即可从1 - 5 ml过夜培养菌液中快速纯化出高质量的质粒DNA。独特的缓冲液配方将SDS碱裂解法中的菌体重悬、裂解及中和三个步骤合并为一步,搭配先进的硅胶膜吸附技术,能高效特异的结合质粒DNA,并有效去除蛋白质、基因组等杂质。洗脱获得的高质量质粒DNA,可直接用于酶切、PCR、测序、转化等分子生物学实验。

1. 一步上柱,快速提取
Vazyme #DC211一步上柱,操作简便,6 min即可完成提取。

图1 质粒提取操作流程对比
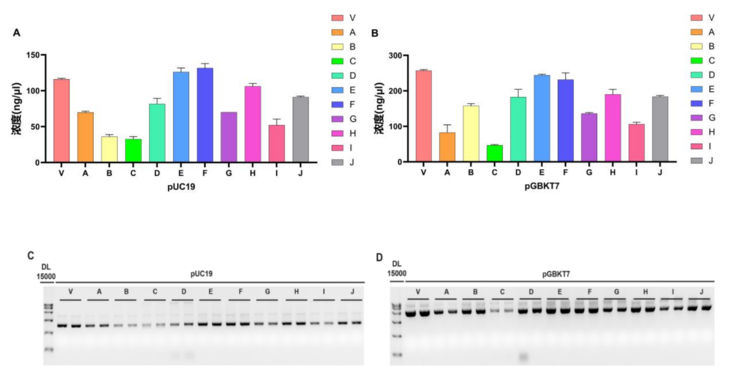
2. 高产
分别使用Vazyme #DC211(简称V)与竞品(A、B、C、D、E、F、G、H、I、J),按照各自流程提取pUC19和pGBKT7质粒,对提取产物进行浓度测定(图2A、B)及跑胶检测(图2C、D)。结果表明,Vazyme #DC211提取出产物的产量以及完整度显著高于快速质粒小提竞品试剂盒(A、B、C),优于或等于普通质粒小提竞品试剂盒(D、E、F、G、H、I、J)。

图2 质粒DNA的检测结果
(其中V、A、B、C是快速质粒小提试剂盒,其余为普通质粒小提试剂盒)



15 ~ 25℃保存
风险提示:丁香通仅作为第三方平台,为商家信息发布提供平台空间。用户咨询产品时请注意保护个人信息及财产安全,合理判断,谨慎选购商品,商家和用户对交易行为负责。对于医疗器械类产品,请先查证核实企业经营资质和医疗器械产品注册证情况。
- 作者
- 内容
- 询问日期
文献和实验Objective: Mini-Prep procedure is used to isolate small plasmid DNA from bacteria while limiting contaminating proteins and genomic DNA. The plasmid quality is acceptable for restriction analysis, sequencing, cloning, or other purposes
1. Spin down 1.5 ml of overnight culture in 2ml or 1.5ml tube for 1 minute on high. 2. Asprirate supernatant and resuspend cell pellet in 100 µl Solution I (25 mM Tris-HCl, pH 8.0, 10 mM EDTA). 3. Add 200 µl Solution II (0.2 N NaOH, 1.0% SDS
Plasmid Mini Purification Protocol
Important Notes Before Starting • New users are strongly recommended to read the QIAGEN handbook before starting the procedure. •Before using the kit for the first time, dissolve the lyophilized RNA se A provided Buffer PI . Buffer PI












