相关产品推荐更多 >
万千商家帮你免费找货
0 人在求购买到急需产品
- 详细信息
- 文献和实验
- 技术资料
- 形态:
Liquid
- 保存条件:
Store at 4ºC. Protect from light.
- 标记物:
Unconjugated
- 保质期:
12 months from the shipping date of the product.
- 目录编号:
GTX03601
- 级别:
Reagents
- 库存:
Available
- 供应商:
GeneTex
- 应用范围:
IHC-P, IHC, ISH
- 抗体英文名:
PermaRed/AP-AutoPlus
- 抗体名:
PermaRed/AP-AutoPlus
- 规格:
30 ml
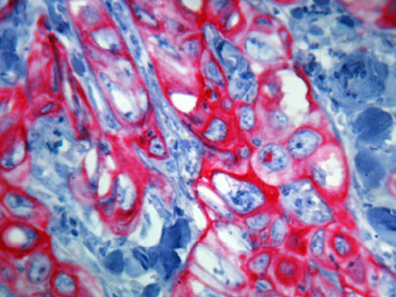
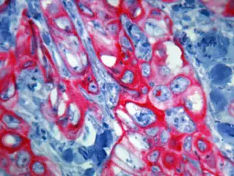
IHC-P analysis of human squamous cell carcinoma using GTX17133 Cytokeratin 5 + 6 antibody [D5/16 B4] with GTX03601 PermaRed/AP-AutoPlus.
风险提示:丁香通仅作为第三方平台,为商家信息发布提供平台空间。用户咨询产品时请注意保护个人信息及财产安全,合理判断,谨慎选购商品,商家和用户对交易行为负责。对于医疗器械类产品,请先查证核实企业经营资质和医疗器械产品注册证情况。
文献和实验Microarray Approaches for Analysis of Cell Cycle Regulatory Genes
Cell cycle phase Mammalian Yeast G0/G1 AP-1 family (FOS, JUN)
同时,Apaf―1可以激活原形的caspase―9,形成细胞色素C/Apaf―1/caspase―9复合体,即凋亡复合体(apoptosome)。该复合体水解并激活下游的caspase通路如caspase―3等。 凋亡复合体的形成是凋亡信号启动的关键步骤。目前发现激活的癌基因可以辅助凋亡复合体的形成,比如腺病毒EIA可以上调Apaf―1和caspase―9,E2F1可以上调Apaf―1的表达。Apaf―1的释放可促进凋亡复合体的形成,对凋亡的启动起促进作用。目前的研究认为,细胞
2F+DwTquooTcizAj6Sh40arj1e+iWJ2ispgsbT801bWi9OaaVDQ0u7N9Rf22Q7je3ypEkT/aXtAx/4gHh20RbetchuWXizve3YY/3L0LGHHqt8Cva+97zf/vEfvyYb4imWXpTxLz8m4rvgjodswc3X26Xnn2o3LbjZPv/Fv5GGuGa33/ZzO2n2HD17NAEWeUXwmQh44uy32U+uutL+69e+6jjedfsddvSxx3m8xNNFQ67wipqQKHyESZ35
技术资料暂无技术资料 索取技术资料











