相关产品推荐更多 >
万千商家帮你免费找货
0 人在求购买到急需产品
- 详细信息
- 文献和实验
- 技术资料
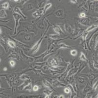
- 品系:
人喉癌淋巴结转移细胞;LLN
- 细胞类型:
人喉癌淋巴结转移细胞;LLN
- 肿瘤类型:
/
- 供应商:
优利科(上海)生命科学有限公司
- 库存:
100
- 英文名:
LLN
- 生长状态:
贴壁生长
- 年限:
永久
- 运输方式:
快递形式
- 器官来源:
人喉癌淋巴结转移细胞;LLN
- 是否是肿瘤细胞:
是
- 细胞形态:
正常
- 免疫类型:
/
- 物种来源:
人喉癌淋巴结转移细胞;LLN
- 相关疾病:
/
- 组织来源:
人喉癌淋巴结转移细胞;LLN
- 规格:
T25培养瓶
与人喉癌细胞LCC为同一人来源,是淋巴结转移灶经原代培养获得的细胞系。
| 细胞英文名称 | LLN | 细胞中文名称 | 人喉癌淋巴结转移细胞 |
| 形态特性 | 上皮细胞 | 生长特性 | 贴壁生长 |
| 培养体系 | RPMI 1640 (w/o Hepes) 20% FBS | ||
| 传代方法 | 1:3传代;2~3天1次。 | 传代情况 | |
| 冻存条件 | 无血清细胞冻存液 | ||
| 备注 | 悬浮细胞离心收集 | ||
STR:Amelogenin:x,y;CSF1PO:12,12;D12S391:20,23;D13S317:11,12;D16S539:11,12;D18S51:13,13;D19S433:13,14;D21S11:29,29;D2S1338:17,18;D3S1358:16,16;D5S818:12,12;D6S1043:14,18;D7S820:8,8;D8S1179:14,17;FGA:25,25;Penta E:9,10;TH01:9,9;TPOX:8,8;vWA:15,18;



1、 细胞传代:
1)细胞生长至覆盖培养瓶的 80%面积时,弃 25cm2 培养瓶中的培养液,用 PBS 清洗细胞一次;
2)添加 0.25%胰蛋白酶消化液约 1ml 至培养瓶中,倒置显微镜下观察,待细胞回缩变圆后加入 5ml 完全培养
液终止消化,再轻轻吹打细胞使之脱落,然后将悬液转移至 15ml 离心管中, 1000rpm 离心 5min;
3)弃上清,沉淀细胞用 1-2ml 完全培养基重悬,然后按 1:2 比例进行分瓶传代,最后放入 37℃, 5%CO2 细胞
培养箱中培养;
2、 细胞冻存:
1)细胞生长至覆盖培养瓶的 80%面积时,弃 25cm2 培养瓶中的培养液,用 PBS 清洗细胞一次;
2)添加 0.25%胰蛋白酶消化液约 1ml 至培养瓶中,倒置显微镜下观察,待细胞回缩变圆后加入完全培养液终
止消化,轻轻吹打细胞使之脱落,然后将悬液转移至 15ml 离心管中, 1000rpm 离心 5min;
3)用适量的冻存液(FBS: DMSO=9 : 1)重悬细胞,并放置于冻存管中;
4)先将细胞冻存管放置于-20℃ 1.5h,然后将其移入-80℃过夜, 24h 后转入液氮中进行长期保存。使用程序
降温盒可直接放入-80℃。
3、细胞复苏:
1)从液氮中取出细胞冻存管(注意:佩戴防爆管面具),快速将其置入 37℃水浴中解冻,直至冻存管中无结
晶,然后用 75%的酒精擦拭冻存管外壁;
2)将冻存管中的细胞移至含 6ml 完全培养基的 15ml 离心管中, 1000rpm 离心 5min;
3)弃上清,沉淀用 6ml 完全培养基重悬,接种 25cm2 培养瓶,于 37℃, 5%CO2 细胞培养箱中培养


人喉癌淋巴结转移细胞;LLN收到后处理
细胞在培养瓶中培养至良好状态后灌满完全培养液并封好瓶口是细胞运输的最好办法。收到细胞回到自己的实验室后,先打开外包装,用75%酒精喷洒整个瓶消毒后放到超净台内,严格无菌操作。镜下观察:未超过80%汇合度时,可将瓶装的完全培养液移入废液缸中,悬浮细胞需离心处理,加入6ml新鲜完全培养基,放入37℃、5%CO2孵箱培养;超过80%汇合度时,根据情况传代或者冻存,具体操作见细胞培养步骤说明书。
风险提示:丁香通仅作为第三方平台,为商家信息发布提供平台空间。用户咨询产品时请注意保护个人信息及财产安全,合理判断,谨慎选购商品,商家和用户对交易行为负责。对于医疗器械类产品,请先查证核实企业经营资质和医疗器械产品注册证情况。
文献和实验单细胞测序技术(scRNA-Seq)之 NCB 高分文章解析前列腺癌相关研究
腺癌淋巴结转移样本(batch2)进行单细胞测序,同样地发现所有肿瘤样本的 T 细胞普遍高表达 KLK3。有趣的是,其中一例前列腺癌患者的 MRI 影像及术后病理均提示左右两侧髂外淋巴结为阴性,而 scRNA-Seq 细胞亚群统计显示右侧淋巴结组织中存在高表达 KLK3 的 T 细胞,提示这可能已经形成了“转移前癌巢”结构;而左侧淋巴结组织中不仅存在高表达 KLK3 的 T 细胞,还存在恶性上皮细胞,即左侧淋巴结已发生了临床无法识别的微转移灶。 除了这一发现,我们还注意到 batch2 样本采用 BD
兰州大学第一医院李汛团队首次揭示胃癌演进中mRNA乙酰化修饰新机制
-acetylated COL5A1 研究论文。 图片来源:Springer Nature 官网 该项研究系统阐释了 NAT10 介导的 mRNA 乙酰化修饰促进胃癌细胞上皮 — 间质转化 (EMT) 和转移的机制作用,为通过靶向干预 NAT10 和 ac4C 通路抑制肿瘤演进提供新的策略。 这是国际上关于 mRNA 乙酰化修饰参与癌症进展的机制方面的首个研究成果。 图 1. 本文的科学示意图 研究中,团队成员首先发现 NAT10 在胃癌中表达广泛上调;NAT10 上调与患者预后不良及淋巴结转移密切相关。进一步
三句话读懂一篇 CNS:二甲双胍再添新疗效,或降低新冠后遗症风险;Science 封面文章揭开蜜蜂学会跳舞的秘密
三月的倒春寒来势汹汹,科研人在奋斗征程中也要注意个人身体健康。 本周学术君继续带来 CNS 最新进展,助力大家勇攀科研高峰! 1. Nature Metabolism:锌促进雄性小鼠的交感神经支配 目前,产热脂肪细胞对交感神经支配的调节尚不清楚。 2023 年 3 月 6 日,同济大学栾冰团队在 Nature Metabolism 杂志发表研究论文 Thermogenic adipocyte-derived zinc promotes sympathetic











