相关产品推荐更多 >
万千商家帮你免费找货
0 人在求购买到急需产品
- 详细信息
- 文献和实验
- 技术资料
- 英文名:
Human Interferon gamma (IFNγ) -V1 Protein , Recombinant
- 保质期:
一年
- 供应商:
蓝基生物
- 保存条件:
-20度冻存
- 规格:
10ug/100ug/1mg/5mg
| Product Name
|
Recombinant IFNγ-V1 Protein
|
| Species
|
Human |
| Product Size
|
10ug/100ug/1mg/5mg
|
| Gene sequence and source
|
IFNG variant 1 (GeneID: 3458, NP_ NP_000610.2) |
| Gene construction and expression
|
Full human IFNγ (variant 1) CDS was expressed in E.Coli.
|
| Fusion Tag
|
6x His-SUMO (N-terminus)
|
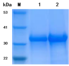
| Molecular Weight
|
About 32 kDa, including recombinant IFNG (166 amino acid residuals and His-SUMO (120 amino acid residuals). |
| Purity
|
>97% by SDS-PAGE
|
| Physical property
|
Lyophilized powder
|
| Reconstitution
|
Prepare10×stock solution(4 mg/mL),aliquot and store at-20℃。
|
| Stock solution
|
Lyophilized powder can be resolved in sterile PBS or relevant resolvent. Working solutions: according to the experimental requirement dilute the stock solution for immediate use |
| Result |
![]() |
风险提示:丁香通仅作为第三方平台,为商家信息发布提供平台空间。用户咨询产品时请注意保护个人信息及财产安全,合理判断,谨慎选购商品,商家和用户对交易行为负责。对于医疗器械类产品,请先查证核实企业经营资质和医疗器械产品注册证情况。
文献和实验是没有问题的. 2、表达重组蛋白时,细菌裂解方法都有哪些? 在表达重组蛋白时,诱导以后跑SDS-PAGE发现表达都很好,但是在裂解细胞时遇到问题。总是不能彻底裂解细胞。 首先我采用超声裂解,可是不管我如何超声总有部分细菌没有裂解。 我的超声条件如下:宁波新芝超声细胞破碎仪,功率400W,超5秒,间隔5秒,重复99次。然后显微镜观察,不彻底时再重复99次。菌体来自200 ml培养液,用20 ml PBS重悬。 然后我又尝试加溶菌酶,首先加至终浓度100 ug/ml,4C半小时菌液不变粘
能力是较弱的,但是我觉得你的做法只是在鉴定有无表达,用loading buffer是没有问题的. 2、表达重组蛋白时,细菌裂解方法都有哪些? 在表达重组蛋白时,诱导以后跑SDS-PAGE发现表达都很好,但是在裂解细胞时遇到问题。总是不能彻底裂解细胞。 首先我采用超声裂解,可是不管我如何超声总有部分细菌没有裂解。 我的超声条件如下:宁波新芝超声细胞破碎仪,功率400W,超5秒,间隔5秒,重复99次。然后显微镜观察,不彻底时再重复99次。菌体来自200 ml培养液,用20 ml PBS重悬
有无表达,用loading buffer是没有问题的. 2、表达重组蛋白时,细菌裂解方法都有哪些? 在表达重组蛋白时,诱导以后跑SDS-PAGE发现表达都很好,但是在裂解细胞时遇到问题。总是不能彻底裂解细胞。 首先我采用超声裂解,可是不管我如何超声总有部分细菌没有裂解。 我的超声条件如下:宁波新芝超声细胞破碎仪,功率400W,超5秒,间隔5秒,重复99次。然后显微镜观察,不彻底时再重复99次。菌体来自200 ml培养液,用20 ml PBS重悬。 然后我又尝试加溶菌酶,首先加至终浓度100









