3 年
手机商铺
技术资料/正文
199 人阅读发布时间:2025-03-24 09:58

图1 HMC3细胞ATCC参考正常形态图
该细胞贴壁弱,消化时间短,注意控制消化时间。第一次对该细胞进行消化时要摸索最佳时间。弃去培养上清,用不含钙、镁离子的PBS润洗细胞1-2次。加1 mL消化液(0.25%Trypsin-0.02% EDTA)于培养瓶中,使消化液浸润所有细胞,将培养瓶置于37℃培养箱中消化3 -5min(视细胞消化情况而定),然后在显微镜下观察细胞消化情况,若细胞大部分变圆并脱落,迅速拿回操作台,轻敲几下培养瓶后加2-3ml完全培养基终止消化。轻轻打匀后装入无菌离心管中,1000 rpm离心5 min,弃去上清液,补加1-2 mL培养液后吹匀。将细胞悬液按1:2比例分到新的含8 mL培养基的新皿中或者瓶中,置于培养箱中培养。

图2 建议细胞密度80%左右传代
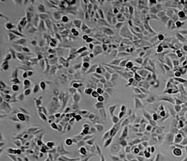
细胞培养时可能会出现少量黑点,属于正常现象。当细胞状态比较差时,细胞表面会出现较多黑点。此时可以通过每天清洗细胞并换液来调整细胞状态,换液时可适当提高血清比例至15%-20%,同时要保证细胞密度较高,HMC3细胞具有密度依赖性,当细胞密度在50%左右时细胞生长速度最快且状态维持较好,故传代比例控制在1:2-1:3左右最佳。

图3 细胞内的正常小黑点(圆圈显示)
CRISPR基因敲除基于非同源重组修复(NHEJ),是指细胞内的相关蛋白直接将断裂的DNA两端重新连起来,随机引入或缺失一定数量的碱基。
HMC3细胞由于倍增时间长及细胞膜通透性差等特性导致编辑难度增加。粒曼生物团队精心钻研,优化方法,最终采用独特的靶向早期外显子多个sgRNA 的策略,结合RNP的递送方式,显著提高了难编辑细胞基因敲除的效率和准确性。
HMC3细胞基因敲除示例:

