1. 细胞背景
SH-SY5Y细胞系是神经母细胞瘤细胞系SK-N-SH(ATCC HTB-11)的三次克隆亚系,于1970年从一名4岁癌症患者的转移性骨肿瘤样本中建立。作为神经退行性疾病研究的“明星细胞”,SH-SY5Y细胞凭借其可增殖性和类神经元特性,成为探索阿尔茨海默病、帕金森病等机制的关键工具。然而,这类细胞的敏感性和基因编辑难度常让科研人头疼。本文从培养技巧到基因编辑策略,为你梳理一套高效实验方案。
2. 细胞描述
物种:人
组织:骨,骨髓
细胞形态:贴壁细胞,上皮细胞状
细胞倍增时间:~48-72 hours
疾病:成神经细胞瘤
应用:3D细胞培养,高通量筛选,免疫学,神经科学,毒理学
培养条件
完全培养基成分:EMEM/F12+10% FBS+1%P/S
培养环境:37℃、5%CO2
传代比例:1:2~1:3
细胞形态图片
图1 SH-SY5Y细胞ATCC参考正常形态图
3. 常见问题
3.1 细胞皱缩
SH-SY5Y细胞贴壁不是很紧密,当运输过程中收到震荡或温度及二氧化碳变化时,会出现皱缩甚至脱落的现象。对于运输过程导致的细胞皱缩脱落,可以将细胞静置恢复4-6小时,然后取脱落的细胞离心后重新用新的培养基铺板。
另外,细胞密度过高时,会聚团皱缩。当出现这种情况时,细胞已经老化,对于后续的实验会有一些风险,可能会导致转染失败或单克隆铺板失败。所以,在培养SH-SY5Y细胞时需要勤换液,勤观察,切勿让细胞过度生长,建议做实验的细胞密度控制在70%左右。
日常培养时要注意操作细节,可以减少对细胞的损伤,确保细胞状态优良,适于功能研究等实验。可以从以下方面来优化实验体系:如果细胞密度超过80%,就必须要传代,传代时切勿暴力吹打,避免对细胞造成机械损伤。使用质量好的培养基和胎牛血清,减少内毒素等有害物质对细胞的刺激。请勿频繁把细胞从培养箱拿出,气温低时需开暖气维持细胞房温度;使用PBS、培养基前37度预热,以避免温差对细胞造成刺激。
图2 SH-SY5Y细胞聚团皱缩图片
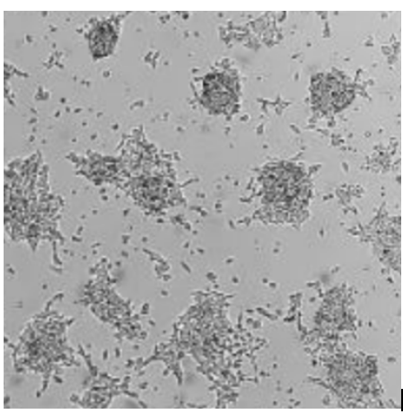
3.2 细胞聚团
SH-SY5Y细胞非常敏感,在受到温度、化学或物理刺激后容易出现成团现象。一个视野下,有少量成团现象,无需特殊处理。成团严重,几乎没有铺展开的细胞并且培养数天未展开时,就需要特殊处理一下了。
图3 SH-SY5Y细胞成团严重图片
聚团严重时如何处理?
-
细胞密度:低密度接种,用胰蛋白酶消化细胞(不超过5min),按1:6比例传代接种,并换新的培养器皿。延长换液时间,3天换液一次,防止细胞脱落。
-
预处理培养皿:使用多聚赖氨酸包被的培养器皿,以加快细胞贴壁速度,降低细胞聚集成团的几率。
-
加大血清比例:更换新配制的培养基,并加大血清比例(不超过20%)。
-
减少培养体积:接种时,减少培养基量(如T25加3mL)以加快细胞贴壁速度,等待细胞贴壁后(约8-12小时),再补加培养基。
3.3 漂浮细胞多
ATCC官网中,SH-SY5Y存在两种形态,贴壁细胞或半贴壁半悬浮细胞,在悬浮状态下SH-SY5Y细胞也能维持生长。当培养瓶中大部分为贴壁细胞,少量为悬浮细胞可不用特殊处理。可以将悬浮细胞取出一部分进行活细胞计数,如果活力高则不用特殊处理。如果出现大量悬浮的细胞,就需要引起注意了。针对大量细胞漂浮的情况,推荐处理方法:将悬浮细胞离心收集,用新鲜培养基重悬后接种回原瓶。当贴壁细胞生长状态良好、密度适中时,可以舍弃悬浮细胞。
图4 SH-SY5Y细胞半贴壁半悬浮状态图
3.4 细胞碎片多
细胞碎片我们观察时可以分成两种情况:细胞内的黑色小点及细胞外的黑色杂质。
(1)细胞内的小黑点是细胞分泌泡及细胞器折光,这个属于细胞自身特性,大部分细胞都会有这种现象,只是不同细胞颗粒多少有区别,细胞培养体系不适应、营养缺乏、渗透压异常等均可能导致细胞内颗粒增加。出现这种情况无法清除也无法改变,但是需要密切注意,排除支原体或黑胶虫污染导致。
(2)细胞外的黑色颗粒大部分是细胞碎片和细胞代谢产物,我们从ATCC官方图片上也可以看到,当细胞密度低时,很容易看到一些小碎片。当出现大量小碎片时,证明细胞状态需要调整。如果此时细胞密度低,我们可以对其进行换液处理,提高血清比例至15%~20%。如果细胞达到可以传代的密度了,我们可以对其进行消化,并用PBS多洗几遍,去除细胞碎片后重新铺板至新的培养皿中。
4. SH-SY5Y细胞基因敲除示例
CRISPR基因敲除基于非同源重组修复(NHEJ),是指细胞内的相关蛋白直接将断裂的DNA两端重新连起来,随机引入或缺失一定数量的碱基。这种修复方式的基础是细胞染色体的复制,我们发现倍增时间越短的细胞编辑起来越简单而且效率也更高,比如293、A549、HAP1等细胞系(倍增时间12-16h)ko pool敲除效率大部分能达到80%以上。
而SH-SY5Y细胞由于倍增时间超过48h,导致编辑难度增加。针对这种情况粒曼生物优化了sgRNA设计方案,并通过大量实验优化了细胞转染条件,在粒曼团队SH-SY5Y细胞的ko pool敲除效率也能达到80%以上。
SH-SY5Y细胞基因敲除示例:
