3 年
手机商铺
技术资料/正文
156 人阅读发布时间:2025-02-06 11:21
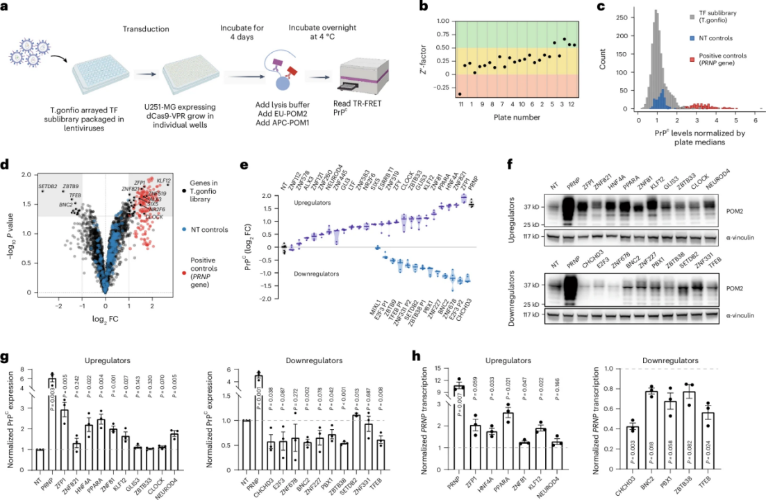
随着基因编辑技术的发展,CRISPR系统已经成为生物医学研究中的重要工具,尤其在基因功能和疾病机制研究中。然而,现有的CRISPR筛选方法面临着一些技术瓶颈,尤其是在处理复杂的细胞表型、多样的遗传背景以及高效构建大规模基因文库等方面。阵列式CRISPR文库作为一种新兴的筛选工具,提供了比传统方法更高效和灵活的基因操作手段。
本文解析了由瑞士苏黎世大学神经病理研究所的尹江安博士团队主导,发表于《Nature Biomedical Engineering》上的文章“Arrayed CRISPR libraries for the genome-wide activation, deletion and silencing of human protein-coding genes”,其核心贡献在于构建了全新的CRISPR阵列文库,并通过创新的技术突破,实现了对人类蛋白编码基因的全基因组激活、敲除和沉默。
1. 精准靶向与高效筛选
阵列式CRISPR文库的一个显著优势在于其逐个靶向基因的特性。与传统的混合文库(pooled library)相比,阵列文库能在高通量筛选中提供更高的灵活性和精确度。具体表现为:
2. 突破技术瓶颈:高效构建
传统阵列文库构建方法繁琐且费时,而尹江安团队开发的ALPA(Automated Liquid-Phase Assembly)克隆技术显著提高了阵列文库的构建效率。ALPA技术通过液相组装,将多个针对同一基因的四重sgRNA(quadruple-guide RNA)整合到单一载体中,从而提升了基因编辑效率,并大幅减少了文库构建的时间和成本。

3. 高效基因干扰:激活、敲除与沉默
阵列文库的多功能性也是其显著优势之一。在这项研究中,团队构建了两个阵列库:
通过四重sgRNA的设计,团队在敲除(75-99%干扰效率)、激活(76-92%干扰效率)和沉默(76-92%干扰效率)实验中均取得了显著效果。特别是在基因敲除和表观遗传沉默的研究中,阵列文库表现出远高于传统方法的效率和可靠性。
4. 多样化的筛选表型
阵列文库的另一个重要优势是其在复杂表型筛选中的应用。与混合文库不同,阵列文库能够为每个基因单独分配gRNA,因此可以更清楚地分析基因与特定细胞表型的关系。比如:
这些筛选结果证明了阵列文库在处理复杂生物学表型和解析基因功能方面的巨大潜力。
实际应用与未来前景
1. 精准医疗与靶向治疗
阵列式CRISPR文库不仅为基础研究提供了强大的工具,也为精准医疗和靶向治疗的研究提供了新的方向。通过系统筛选与解析基因的功能,研究人员可以发现新的疾病调控因子,揭示与疾病相关的基因网络。这将有助于开发新的治疗靶点,为个性化治疗提供支持。
2. 疾病机制研究
阵列文库能够帮助研究人员深入分析复杂的遗传机制,特别是对于涉及多基因调控的疾病(如癌症、神经退行性疾病等),阵列文库能在基因层面提供精准的筛选,推动疾病机制的研究进展。
3. 合成生物学与基因工程
阵列式CRISPR文库的精确基因干扰能力使其在合成生物学和基因工程中具有广泛应用前景。通过对基因的精确调控,可以在细胞中实现复杂的功能设计,例如合成新的代谢通路或改造细胞功能,从而推动生物技术的创新。
总结
这项研究不仅开发了一种高效构建阵列文库的方法,还通过四重sgRNA设计在基因编辑中取得了革命性进展。阵列式CRISPR文库的优势在于其高效、灵活且多功能的基因编辑能力,使得基因筛选变得更加精确,尤其适用于复杂的生物学表型和遗传网络的解析。随着技术的进一步完善与推广,阵列文库将为基因研究、疾病治疗以及精准医学等领域带来巨大的推动力。