相关产品推荐更多 >
万千商家帮你免费找货
0 人在求购买到急需产品
- 详细信息
- 技术资料
- 免疫原:
见说明书
- 亚型:
见说明书
- 形态:
粉末/液体
- 保存条件:
-20oC 至 -80oC
- 克隆性:
Polyclonal
- 标记物:
未标记
- 适应物种:
Homo sapiens (Human)
- 宿主:
Rabbit,兔
- 应用范围:
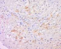
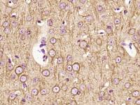
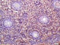
WB, ICC, IHC-P, IHC-F, ELISA
- 浓度:
200ug/ml
- 靶点:
见说明书
- 抗体英文名:
Polyclonal Antibody to Bone Morphogenetic Protein Receptor 1B (BMPR1B)
- 抗体名:
骨成型蛋白受体1B(BMPR1B)多克隆抗体
- 规格:
100ug/200ug/100ug/200ug
| 规格: | 100ug/200ug | 产品价格: | ¥600.0-¥2400.0 |
|---|---|---|---|
| 规格: | 100ug/200ug | 产品价格: | ¥720.0-¥2380.0 |
多克隆抗体的制备
www.klbscience.com
多克隆抗体(polyclonal antibody, pAb)是指用含有多个抗原决定簇的抗原免疫动物后刺激机体多个B细胞克隆产生针对多种抗原表位的不同抗体,得到的免疫血清含有多种抗体。多克隆抗体可应用于WB、IHC、Elisa、IP等实验中,是生物医学研究领域不可或缺的研究伙伴。下面我们会来介绍一下多克隆抗体的制备过程。www.klbscience.com
1. 免疫原的制备
普通的大分子蛋白,通过分子克隆构建载体并在大肠杆菌中进行诱导表达获得重组蛋白,纯化鉴定后可直接作为免疫原。
小分子蛋白或化合物等分子量小,需要偶联载体对该分子进行改造才能使其成为具有免疫原性的抗原,常见偶联载体如BSA、OVA、HAS等。
2. 免疫动物
选择动物时应考虑抗原和免疫动物的种属差异,种系相近会影响免疫效果,一般要求动物适龄,健康,体重符合要求。常用于制备抗血清的动物有豚鼠、家兔、鸡、大小鼠等,大量生产时需要用到狗、绵羊、山羊等。动物接受免疫的乳液量小鼠为1.0~2.0 ml, 家兔为2~4 ml。添加佐剂可帮助抗原在注射部位缓慢释放,增加免疫效果,常用佐剂为弗氏不完全佐剂。
初次免疫后要经过2~3次以上的加强免疫以形成较高水平的IgG抗体。初次免疫和再次免疫之间,小动物一般间隔10~14天,大动物间隔60天左右。在每次加强免疫后,进行抗血清效价测定,当效价达到理想状态时,便采集抗血清。
3. 免疫血清的收集
一般家兔、绵羊、山羊可采用静动脉采血,家兔、豚鼠、大鼠、鸡可采用心脏采血,家兔、山羊、绵羊可采用静脉采血。也可采用尾巴或眼眶取血,静置待血液凝固成血块收缩析出血清,3000rpm离心15 min,取上清。这个过程要注意动物的养护,耗时长,但得率低,得到的血清还需进一步的纯化。
4. 免疫血清的纯化与鉴定
得到的抗血清需要进一步的纯化,利用偶联了抗原的亲和柱进行层析,具有高效,特异性强,纯度高的特定。接着要鉴定纯化蛋白的含量、相对分子的质量、纯度以及特异性。
5. 免疫血清的保存
建议将抗体分装后进行保存。抗体一般比较稳定,在-80℃ ~-20 ℃可以保存约5年而不会影响效价,而真空干燥保存时间可以更久。保存前需经除菌并添加防腐剂。
由于多克隆抗体具有成本低、制备周期短且制备步骤相对简单、可识别多个表位等优点,在科研领域应用非常广泛。以上就是关于多克隆抗体制备的一个基本流程。供大家参考。
风险提示:丁香通仅作为第三方平台,为商家信息发布提供平台空间。用户咨询产品时请注意保护个人信息及财产安全,合理判断,谨慎选购商品,商家和用户对交易行为负责。对于医疗器械类产品,请先查证核实企业经营资质和医疗器械产品注册证情况。
技术资料暂无技术资料 索取技术资料
骨成型蛋白受体1B(BMPR1B)多克隆抗体
¥600 - 2400









