就像从针孔相机到宝丽来,对流行的生物信息学数据可视化方法的公式的重要数学更新将允许研究人员开发单细胞基因表达的快照,不仅快几倍,而且分辨率更高。发表于自然方法,耶鲁数学家的这项创新将把百万点单细胞RNA测序(scRNA-seq)数据集的渲染时间从三个多小时缩短到仅十五分钟。科学家表示,现有的十年前方法,即分布式随机邻域嵌入(t-SNE),非常适合用于表示在单一细胞水平上收集的RNA测序数据中的模式,scRNA-s ...
发表于:2019-02-18 10:20 来源:丁香园
北京时间2月14日消息,据国外媒体报道,长期以来,人们一直认为腹部脂肪会对心脏特别不利,但近日一项新研究指出,肥胖的肚子还可能对大脑有害。这项来自英国拉夫堡大学的研究发现,与健康体重的人相比,身体肥胖且腰臀比(腰围与臀围的比例,可以作为衡量腹部脂肪的指标)较高的人具有略低的平均脑体积。具体而言,腹部脂肪与较小的大脑灰质体积存在关联。灰质是中枢神经系统的重要组成部分,由神经元、神经胶质细胞和微血管组成。研究第一作者、 ...
发表于:2019-02-15 10:34 来源:丁香园
2月13日上午,郑东新区管委会与APUS公司在郑东新区规划展览馆举行APUS项目签约仪式,标志着聚焦海外移动互联市场的独角兽企业正式入驻郑东新区。北京2019年2月13日电 /美通社/ -- 2月13日上午,郑东新区管委会与 APUS 公司(麒麟合盛网络技术股份有限公司)在郑东新区规划展览馆举行 APUS 项目签约仪式,标志着聚焦海外移动互联市场的独角兽企业正式入驻郑东新区。郑州市长王新伟、常务副市长王鹏分别和 APUS 创始人、董事长兼 CEO 李涛 ...
人类总是会对未知充满幻想。当未知与充满探索精神的科学家相遇的时候,每年年末或年初,我们就能收获关于新的一年科学发展的预测报告。 2018年底,《自然》杂志为读者预测了2019年科学领域值得期待的十大事件。这些事件包括:中国将成为科研投入最慷慨的国家;“天眼”将睁大眼睛看向更深远的宇宙;生物医学领域将加大监管等等。 美国《科学》杂志网站则在新年伊始的时候,对2019年科学领域即将发生的大事件进行了预测,其中包括揭示细胞内部的 ...
当计算机出现以后,关于人工智能的幻想便从未停止。 从1956年正式提出人工智能学科算起,50多年来,人工智能取得了长足的发展,成为一门广泛的交叉和前沿科学。总的说来,人工智能的目的就是让计算机这台机器能够像人一样思考。 在所有人的共同努力下,人工智能已经得到了飞速发展。阿尔法狗围棋一战成名,人工智能汽车已经成为高新企业重点研究对象,更不用说对于机器人的研究。可以说,人工智能已经成为了目前科技企业竞相追逐的目标。人工智能 ...
1月17日,学术出版业巨头爱思唯尔(Elsevier)正式发布了2018年中国高被引学者(Chinese Most Cited Researchers)榜单。1月17日,学术出版业巨头爱思唯尔(Elsevier)正式发布了2018年中国高被引学者(Chinese Most Cited Researchers)榜单,本次国内共有来自229个高校/科研单位/企业的1899位学者入选。 按照学者单位来看,中国科学院拥有最多的高被引学者,共282位。 其 ...
针对「翟天临涉学术不端」等问题,14日,北京电影学院官方微博发布说明称:已聘请校内外专家,对有关材料进行了调取和初步审查,目前已进入正式调查阶段并通知翟天临本人。来源:北京电影学院官方微博随后,翟天临在其微博发布致歉信,称近期「懊悔不已、深度自责」,「虚荣心和侥幸心让我迷失了自己」。并表示,愿意积极配合北京电影学院的一切调查,毫无推卸地承担自己的责任并接受学院做出的一切决定,并正式申请退出北京大学博士后科研流动站的相 ...
发表于:2019-02-15 09:28 来源:丁香园
6月6日,《2019年QS世界大学排名》(QS World University Rankings 2019)正式出炉,中国拥有的世界百强大学数量11所,领跑亚洲;今年清华大学首次冲进前20名,排名全球第17(去年25名),是中国排名最高的学府。 6月6日,《2019年QS世界大学排名》(QS World University Rankings 2019)正式出炉,今年公布时间比去年早了2天,恰逢国内高考时候放出,可谓十分应景了。 《QS世界大学排名》被视为 ...
发表于:2019-02-14 10:29 来源:丁香园
近两年,生命科学市场大热。科学仪器领域的商业巨头们为了迅速进入这一壁垒高耸的细分领域,纷纷开始了兼并整合的业务拓展方向。据有效数据显示,2017年生命科学领域一共发生了12起企业并购案。其中,铂金埃尔默在年初就将印度最大的体外诊断试剂、工具和仪器供应商Tulip Diagnostics收归麾下。尤其是对EUROIMMUN的收购更是让铂金埃尔默在中国的收入几乎翻倍。同年,岛津也收购了临床同位素标记企业AlsaCh ...
发表于:2019-02-14 10:16 来源:丁香园
上海2019年2月11日电 /美通社/ --专注于肿瘤创新药物的发现、开发和商业化公司 -- 上海海和生物制药有限公司(以下简称“海和生物”)今日宣布,不久前完成1.466亿美元融资签约。本轮融资由华盖资本领投,盈科资本、石药集团、高瓴资本、中科院创投、联升创投、博远资本、才金资本、和大化制药共同参与。筹集的资金将主要用于加速推进公司多个创新的原创抗肿瘤新药的临床和临床前阶段的研究和开发。海和生物海和生物CEO董瑞平博士表示:非常感谢 ...
发表于:2019-02-14 10:01 来源:丁香园
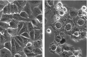
恶性细胞正在全面展开 - 肿瘤细胞的可怕增殖是基于它们的病理性过度活跃。这正是癌症研究人员想要设定杠杆的地方:他们成功地通过活性成分刺激癌细胞,使它们在压力之前最终崩溃。在对小鼠的实验中,这个概念已经显示出有希望的结果。研究人员发现未来治疗形式的巨大潜力。到目前为止,座右铭一直在与癌症作斗争:癌细胞的过度活跃受到抑制,因此它们不会爆炸性繁殖。肿瘤细胞的这种威胁生命的特性的原因是细胞中所谓的致癌基因的突变,其导致在疾病 ...
发表于:2019-02-14 09:54 来源:丁香园
很多人都知道:他们再次错过了家庭日历中的重要日期。或者他们进入隔壁的房间 - 突然他们不知道为什么。或者他们拼命寻找房子钥匙。如果你也容易出现这种愚蠢,这可能是因为你的DRD2基因含有相关的胸腺嘧啶,而不是胞嘧啶结构单元。无论如何,2014年波恩大学心理学家的结果表明。然而,参与研究的其中一位研究员塞巴斯蒂安·马茨特(Sebastian Markett)并不想将这一结果解释为生殖力固定在遗传物质中,而不是他自己的责任。因为, ...
发表于:2019-02-14 09:51 来源:丁香园
西雅图2019年2月12日电 /美通社/ -- 比尔和梅琳达·盖茨于今天发布了2019年度公开信《意料之外》。在今年的年信中,比尔和梅琳达分享了他们在近二十年里,投身全球健康和发展工作过程中发现的九大意外。比尔和梅琳达-盖茨夫妇发布2019年度公开信其中有些让人忧虑,有些给人启迪,但无一不激励他们采取行动。“二十五年前,我们读到的一篇文章中提到,贫困国家每年有数十万儿童死于腹泻。我们相信,在一个人人平等的世界中,所有人都应从创 ...
发表于:2019-02-14 09:44 来源:丁香园
2019 年 1 月 7 日,全球高性能细胞分析平台的开发和商业化先驱—ACEA Biosciences (A part of Agilent) 与国际领先的生物制药技术平台公司-重庆精准生物技术有限公司(Chongqing Precision Biotech Co., Ltd.)宣布在重庆高新区合作建设国内首个细胞治疗标准化合作平台。
发表于:2019-01-08 14:46 来源:ACEA Biosciences
2018年11月15日-16日,第六届中国核酸国际论坛(CNAF)在广州翡翠皇冠假日酒店顺利召开,为期两天的核酸国际学术交流在阵阵掌声和互动中完美落幕!本届核酸论坛围绕“非编码RNA研究国际前沿”、“全球核酸药物最新发展”、“RNA研究尖端技术与应用”和“核酸诊断与标志物最新进展”四大议题做重要学术报告,涵盖了关于RNAi治疗药物及递送系统、mRNA调控和表观遗传记忆、lncRNA与癌症、RNA翻译、核酸结构生物学前沿 ...
发表于:2018-11-29 08:54 来源:丁香园
第一、二届 "MCE 中国生命科学研究促进奖" 的成功举办为中国生命科学及医药研究的发展注入了新的活力! 为了践行 MCE 对科学家们 "助力中国科研" 的承诺,2018 年, MCE 还将继续面向中国优秀的科研团队及科学家颁发 "MCE 中国生命科学研究促进奖" (MCE Award for Scientists Promoting Biology and Medicine Research),大力奖励在过去的 2 年中对生命科学领域的发展产生较大推动、促进作用的优秀科研工作者。奖励对象:2018 年 12 月前 ...
发表于:2018-11-20 14:54 来源:丁香园
赢在新时代 | 2018 第十届中国体外诊断产业高峰论坛将于 10 月 30 日正式开始,9:00~17:05 线上直播同步开启,免费报名收看。直播链接:https://wechat.dxy.cn/japi/weixin/linktag/91/2997/ead1d12a20505419e4e10a7f1501e1d3/DCHAT_PLACEHOLDER_2147483643扫码亦可直接进入直播日 期 2018 年 10 月 30 日时 间 09:00-17:05地 点 深圳会展中心 五层牡丹厅09: ...
发表于:2018-10-29 18:17 来源:丁香园
p.p1 {margin: 0.0px 0.0px 0.0px 0.0px; text-align: center; font: 24.0px 'PingFang SC'; color: #000000; -webkit-text-stroke: #000000}p.p2 {margin: 0.0px 0.0px 0.0px 0.0px; font: 14.0px Helvetica; color: #000000; -webkit-text-stroke: #000000; min-height: 17.0px}p.p3 {margin: 0.0px 0.0px 0. ...
发表于:2018-10-09 20:21 来源:丁香园
卓越领先,精益求精 —— 马尔文帕纳科亚太卓越实验室正式落成投入使用近日,英国思百吉(Spectris)集团材料分析部门旗下成员马尔文帕纳科(MalvernPanalytical)宣布,其位于上海的亚太卓越应用实验室已经正式落成并投入使用。 (马尔文帕纳科亚太卓越实验室)自2017年1月1日两家同属英国思百吉集团旗下品牌马尔文(Malvern)和帕纳科(Panalytial)宣布正式合并为马尔文帕纳科(MalvernPan ...
发表于:2018-09-29 09:02 来源:马尔文帕纳科
每周,我们会从近百个信息源中为您精心挑选有价值的内容。
发表于:2018-06-19 16:08 来源:丁香园