动物脱毛模型:医疗美容研究之不长发那些事儿
2024-10-16 14:22点击次数:958
关键词:脱毛模型毛发生长是一个复杂的过程,受遗传、营养、环境等因素的影响。脱发是一种遗传因素、自身免疫性疾病、压力和营养失衡等引起的毛发再生障碍,不仅影响容貌,而且会使患者产生焦虑、自卑等不良心理。随着脱发人数的增加,脱发已成为当今社会最常见的健康问题。头发生长周期包括三个阶段:生长期、退行期和休止期。毛发生长障碍主要原因是毛囊循环的改变,即生长期缩短和休止期延长。因此,调控毛囊的生长周期在改善脱发和促进毛发再生中至关重要。
一、为什么要进行动物脱毛
1、动物静脉注射或抽取血液
2、用于制备动物脱毛模型
二、动物被毛去除方法优缺点集合
|
方法 |
优缺点 |
|
拔毛法 |
主要适用于家兔耳缘静脉注射或采血用,不适用于动物其他部位的去毛。 |
|
剪毛法 |
如果操作不当例如用手捉着动物皮毛剪,易剪伤动物皮肤,影响下一步实验。剪毛法的一个最大的弊端就是剪下的被毛可到处乱飞,易导致实验室的污染。 |
|
剃毛法 |
用剃毛刀剃毛也容易造成动物皮肤的损伤和感染。 |
|
脱毛膏脱毛 |
对动物皮肤刺激性小,脱毛后7 d内观察几种动物均无皮肤充血和炎症反应等现象。 |
三、常见的动物脱毛模型方法及作用机理
1、松香石蜡拔毛模型:将松香和石蜡融化后按照1 ∶ 1的比例混合,置于室温适当降温,防止烫伤小鼠皮肤。将松香石蜡混合物均匀涂在小鼠背部,其热量有利于扩张毛囊以利于毛发脱离,待混合物变硬后撕除,可观察到脱毛后的小鼠背部皮肤呈粉红色。该方法操作简单,耗时短。适用于评价毛发生长情况、毛发生长期的研究。
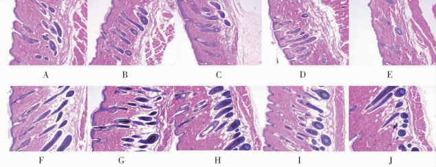
HE病理观察毛囊情况:在第 7 天时,模型组的毛囊大部分仍处于休止期,其毛囊形态较小,位置较浅; 在第 14 天时,毛囊均处于生长期,模型组黑色素分泌较少,颜色较淡;在第 21 天时,模型组毛囊开始退化,形态上变短且细小。

毛发生长情况评估:在实验第 0天拔毛后,小鼠的背部皮肤颜色为粉色,毛囊同步进入休止期。在实验期间,可观察到和脱毛区域周围原生毛发颜色相比,小鼠新生毛发颜色较黑。

2、脱毛膏脱毛模型:将小鼠背部毛发用电动剃毛器剔除后,均匀涂抹脱毛膏,面积约为 2 cm × 2 cm。放置 2 min 后,轻轻用脱脂棉擦去皮肤表面的脱毛膏,并用温水清洗干净。利用其化学物质软化并毁断构成毛发的角质蛋白分子链,从而切断毛发纤维,使毛发脱除。需要注意的是:1次可能会有脱不干净的情况,需要重复操作。
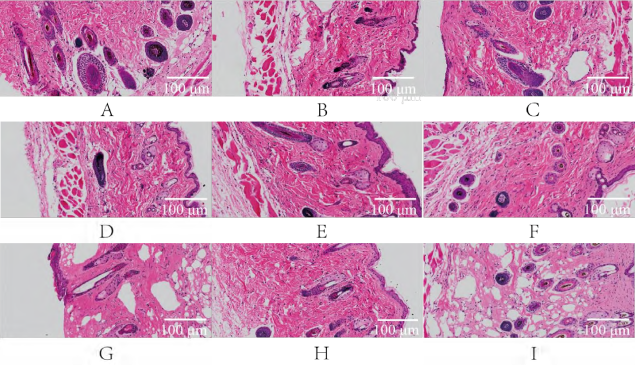
HE病理观察毛囊情况:8 周龄小鼠毛囊大部分处于休止期,此时的毛囊下段退化,毛乳头上移至立毛肌附着处。给药 6 d后,给药组小鼠毛囊向下生长至皮下深层,进入生长期,而 PBS 组仍停滞在真皮层;给药 12 d 后,黑色素囤积,小鼠皮肤毛囊数增多,给药组毛囊数量明显多于 PBS 组。

毛发生长情况评估:在造模完成后立即对小鼠背部进行拍照,此后每 48 h 进行拍照。各组脱毛后,皮肤均呈粉红色,毛发进入休止期。给药 6 d 后,给药组开始变黑;给药 8 d 后,给药组明显变黑而 PBS 组还呈粉红色;给药 12 d 后,给药组均长出 1 层细密的毛发,而对照组仅部分区域长出毛发。

3、雄激素性脱发模型:利用小动物剃毛器将小鼠背部毛发剃短,并涂抹脱毛膏使残余的毛发脱除,当小鼠皮肤呈粉红色且无破损时,即可确认其毛囊处于休止期。后以 5 mg/kg的剂量用bing酸睾酮稀释液于小鼠背部脱毛区域进行皮下多点注射,1 次/d,连续注射 60 d 造模。细胞质中有5α-还原酶能将睾酮转化为二氢睾酮(DHT),其作用较睾酮强5倍。DHT进入细胞核,对代谢系统产生作用,影响毛发蛋白合成,致使毛母质细胞失去活力,开始角质化,发展为休止期毛发,最终毛发脱落。另外,DHT对毛囊产生毒性作用,使毛囊逐渐萎缩,导致毛发生长周期缩短,加速脱发的进程。该模型的脱毛具有可逆性,适用于脱发机制的研究。
HE病理观察毛囊情况:与空白组(未注射bing酸睾酮)比较,模型组小鼠单位面积皮肤组织中含黑色素毛囊数量与总毛囊数量比值显著降低。

毛发生长情况评估:与空白组(未注射丙suan睾酮)比较,模型组小鼠新生毛发面积在脱毛区域中的占比和新生毛发的长度及重量均显著降低,表明皮下注射丙suan睾酮导致小鼠出现毛发脱落的现象,且小鼠毛长及毛重降低。

当然除了上述常见的脱毛模型,还有1、背部涂抹咪喹莫特构建免疫调节剂脱发模型,与人类斑秃相似性较大,方法简单、可靠,重复性好,成本低廉;2、18个月龄C3H/HeJ小鼠和3-4月龄DEBR大鼠自发性脱发模型,与人体自然衰老所引起的脱发机制最为接近;3、应用环磷酰胺腹腔注射,通过诱导生长期毛囊营养不良性改变或造成更严重的损害,使毛囊过早地向退行期改变,建立化疗脱发(CIA)模型,该模型适用于化疗药物引起的脱发病理生理学机制以及实验药物治疗学研究。在实验研究过程中我们可以从药物作用机理出发,选择对应的动物脱毛模型,从而达到高效准确的研究成果。



