相关产品推荐更多 >
万千商家帮你免费找货
0 人在求购买到急需产品
- 详细信息
- 文献和实验
- 技术资料
- 适应物种:
Human,Mouse,Rat,Dog,Pig,Cow,Horse,Rabbit,
- 应用范围:
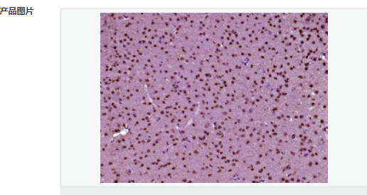
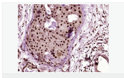
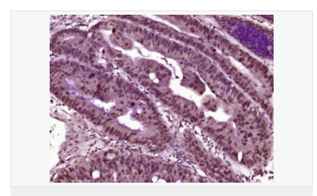
IHC-P,
- 抗体英文名:
phospho-GRK2 (Ser670)
- 规格:
100ul
| 英文名称 | phospho-GRK2 (Ser670) |
| 中文名称 | 磷酸化G蛋白偶合受体激酶2抗体 |
| 别 名 | GRK2 (phospho S670); p-GRK2 (phospho S670); G-protein coupled receptor kinase 2; ADRBK 1; ADRBK1; Adrenergic beta receptor kinase 1; BARK 1; BARK; BARK1; Beta adrenergic receptor kinase 1; Beta ARK 1; Beta ARK1; G Protein Coupled Receptor Kinase 2; G protein dependent receptor kinase 2; FLJ16718; GRK 2; ARBK1_HUMAN. |
| 产品类型 | 磷酸化抗体 |
| 研究领域 | 细胞生物 神经生物学 信号转导 激酶和磷酸酶 G蛋白偶联受体 G蛋白信号 |
| 抗体来源 | Rabbit |
| 克隆类型 | Polyclonal |
| 交叉反应 | Human, Mouse, (predicted: Rat, Dog, Pig, Cow, Horse, Rabbit, ) |
| 产品应用 | ELISA=1:5000-10000 IHC-F=1:100-500 ICC=1:100-500 IF=1:100-500 (石蜡切片需做抗原修复) not yet tested in other applications. optimal dilutions/concentrations should be determined by the end user. |
| 分 子 量 | 76kDa |
| 细胞定位 | 细胞浆 |
| 性 状 | Liquid |
| 浓 度 | 1mg/ml |
| 免 疫 原 | KLH conjugated synthesised phosphopeptide derived from human GRK2 around the phosphorylation site of Ser670:PR(p-S)PV |
| 亚 型 | IgG |
| 纯化方法 | affinity purified by Protein A |
| 储 存 液 | 0.01M TBS(pH7.4) with 1% BSA, 0.03% Proclin300 and 50% Glycerol. |
| 保存条件 | Shipped at 4℃. Store at -20 °C for one year. Avoid repeated freeze/thaw cycles. |
| PubMed | PubMed |
| 产品介绍 | The product of this gene phosphorylates the beta-2-adrenergic receptor and appears to mediate agonist-specific desensitization observed at high agonist concentrations. This protein is an ubiquitous cytosolic enzyme that specifically phosphorylates the activated form of the beta-adrenergic and related G-protein-coupled receptors. Abnormal coupling of beta-adrenergic receptor to G protein is involved in the pathogenesis of the failing heart. [provided by RefSeq]. Function: Specifically phosphorylates the agonist-occupied form of the beta-adrenergic and closely related receptors, probably inducing a desensitization of them. Key regulator of LPAR1 signaling. Competes with RALA for binding to LPAR1 thus affecting the signaling properties of the receptor. Desensitizes LPAR1 and LPAR2 in a phosphorylation-independent manner. Subunit: Interacts with GIT1 (By similarity). Interacts with, and phosphorylates chemokine-stimulated CCR5. Interacts with ARRB1. Interacts with LPAR1 and LPAR2. Interacts with RALA in response to LPAR1 activation. ADRBK1 and RALA mutually inhibit each other's binding to LPAR1. Tissue Specificity: Expressed in peripheral blood leukocytes. Similarity: Belongs to the protein kinase superfamily. AGC Ser/Thr protein kinase family. GPRK subfamily. Contains 1 AGC-kinase C-terminal domain. Contains 1 PH domain. Contains 1 protein kinase domain. Contains 1 RGS domain. SWISS: P25098 Gene ID: 156 Database links: Entrez Gene: 156 Human Omim: 109635 Human SwissProt: P25098 Human SwissProt: Q99MK8 Mouse Unigene: 83636 Human Unigene: 254144 Mouse Unigene: 13010 Rat Important Note: This product as supplied is intended for research use only, not for use in human, therapeutic or diagnostic applications. |



风险提示:丁香通仅作为第三方平台,为商家信息发布提供平台空间。用户咨询产品时请注意保护个人信息及财产安全,合理判断,谨慎选购商品,商家和用户对交易行为负责。对于医疗器械类产品,请先查证核实企业经营资质和医疗器械产品注册证情况。
文献和实验【求助】欲寻找G蛋白偶联受体激酶对某一G蛋白偶联受体的磷酸化位点,其实验应该如何设计
ellen_hu 作为这方面的白痴,实在一团雾水,有没有高手指点一二,把其中的一般流程讲述一下,是我能够形成一个整体的印象,谢谢!!!!! 急切!!! chenlinjie686 上nature或者annualreview 查GRK的综述文献... chenlinjie686 丝氨酸苏氨酸的点突变咯 本文由丁香园论坛提供,想了解更多有用的、有意思的前沿资讯以及酷炫
稀释度需要调整,可以减低背景 ECL用那个公司的? 一顿饭 楼上正解。 个人建议: 1)裂解RIPA中加入磷酸化酶抑制剂; 2)CST的p-AKT刚好用过,建议用1:1000,二抗1:5000; 3)裂解时每15分钟混匀一次,裂解1h; 4)注意发光液有无过期;如有条件,可参考我发过的一个关于现配发光液的帖子; 5)我的经验是,上样30-50g蛋白时,曝光时间p-AKT需要15分钟(参照
受体钝化(receptor desensitization)
受体对信号分子失去敏感性称为受体钝化, 一般是通过对受体的修饰进行钝化的。如肾上腺素受体在丝氨酸和苏氨酸残基磷酸化后,则失去对肾上腺素的信号转导作用。 如果钝化的受体只是那些已与信号分子结合的受体,这种现象称为同源钝化 (homologous desensitization)。如肾上腺素与受体结合时,受体可在β肾上腺素受体激酶的作用下发生磷酸化,β抑制蛋白与磷酸化的受体结合使之钝化,失去受体作用; 此外, β肾上腺素受体也可通过cAMP依赖的蛋白激酶A磷酸化钝化
技术资料暂无技术资料 索取技术资料





