万千商家帮你免费找货
0 人在求购买到急需产品
- 详细信息
- 文献和实验
- 技术资料
- 适应物种:
Human,Mouse,Rat,
- 应用范围:
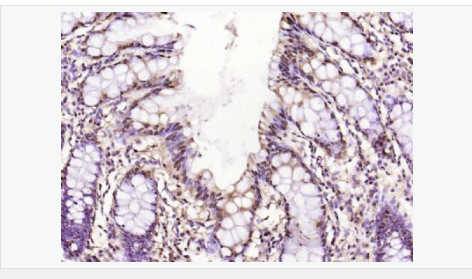
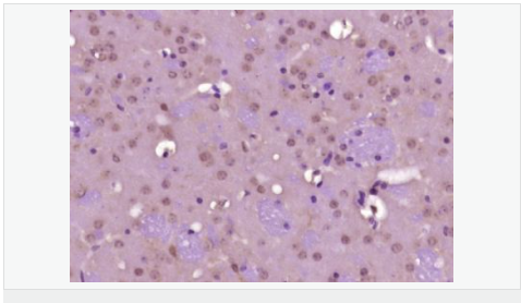
WB IHC-P IHC-F ICC IF
- 抗体英文名:
GAPDH (Loading Control)
- 规格:
50ul
| 英文名称 | GAPDH (Loading Control) |
| 中文名称 | 3-磷酸甘油醛脱氢酶(内参)抗体 |
| 别 名 | 38 kDa BFA-dependent ADP-ribosylation substrate; Aging-associated gene 9 protein; BARS-38; cb609; EC 1.2.1.12; G3PD; G3PDH; GAPD; Glyceraldehyde 3 phosphate dehydrogenase;Glyceraldehyde 3 phosphate dehydrogenase liver;Glyceraldehyde 3 phosphate dehydrogenase muscle; KNC-NDS6; MGC102544; MGC102546; MGC103190; MGC103191; MGC105239; MGC127711; MGC88685; OCAS, p38 component; OCT1 coactivator in S phase, 38-KD component; wu:fb33a10. |
| 产品类型 | 内参抗体 |
| 研究领域 | 肿瘤 细胞生物 免疫学 信号转导 新陈代谢 |
| 抗体来源 | Rabbit |
| 克隆类型 | Polyclonal |
| 交叉反应 | Human, Mouse, Rat, |
| 产品应用 | WB=1:5000-20000 IHC-P=1:100-500 IHC-F=1:100-500 ICC=1:100 IF=1:100-500 (石蜡切片需做抗原修复) not yet tested in other applications. optimal dilutions/concentrations should be determined by the end user. |
| 分 子 量 | 38kDa |
| 细胞定位 | 细胞核 细胞浆 细胞膜 |
| 性 状 | Liquid |
| 浓 度 | 1mg/ml |
| 免 疫 原 | Recombinant human GAPDH full length protein: |
| 亚 型 | IgG |
| 纯化方法 | affinity purified by Protein A |
| 储 存 液 | 0.01M TBS(pH7.4) with 1% BSA, 0.03% Proclin300 and 50% Glycerol. |
| 保存条件 | Shipped at 4℃. Store at -20 °C for one year. Avoid repeated freeze/thaw cycles. |
| PubMed | PubMed |
| 产品介绍 | Glyceraldehyde 3 phosphate dehydrogenase (GAPDH) is well known as one of the key enzymes involved in glycolysis. As well as functioning as a glycolytic enzyme in cytoplasm, recent evidence suggests that mammalian GAPDH is also involved in a great number of intracellular proceses such as membrane fusion, microtubule bundling, phosphotransferase activity, nuclear RNA export, DNA replication, and DNA repair. During the last decade a lot of data appeared concerning the role of GAPDH in different pathologies including prostate cancer progression, programmed neuronal cell death, age related neuronal diseases, such as Alzheimer's and Huntington's disease. GAPDH is expressed in all cells. It is constitutively expressed in almost all tissues at high levels. There are however some physiological factors such as hypoxia and diabetes that increase GAPDH expression in certain cell types. GAPDH molecule is composed of four 36kDa subunits. Function: Has both glyceraldehyde-3-phosphate dehydrogenase and nitrosylase activities, thereby playing a role in glycolysis and nuclear functions, respectively. Participates in nuclear events including transcription, RNA transport, DNA replication and apoptosis. Nuclear functions are probably due to the nitrosylase activity that mediates cysteine S-nitrosylation of nuclear target proteins such as SIRT1, HDAC2 and PRKDC. Glyceraldehyde-3-phosphate dehydrogenase is a key enzyme in glycolysis that catalyzes the first step of the pathway by converting D-glyceraldehyde 3-phosphate (G3P) into 3-phospho-D-glyceroyl phosphate. Subunit: Homotetramer. Interacts with TPPP; the interaction is direct. Interacts (when S-nitrosylated) with SIAH1; leading to nuclear translocation. Interacts with RILPL1/GOSPEL, leading to prevent the interaction between GAPDH and SIAH1 and prevent nuclear translocation. Interacts with EIF1AD, USP25, PRKCI and WARS. Subcellular Location: Cytoplasm, cytosol. Nucleus. Cytoplasm, perinuclear region. Membrane. Note=Translocates to the nucleus following S-nitrosylation and interaction with SIAH1, which contains a nuclear localization signal. Postnuclear and Perinuclear regions. Post-translational modifications: S-nitrosylation of Cys-152 leads to interaction with SIAH1, followed by translocation to the nucleus. ISGylated (Probable). Sulfhydration at Cys-152 increases catalytic activity. Similarity: Belongs to the glyceraldehyde-3-phosphate dehydrogenase family. SWISS: P04406 Gene ID: 2597 Database links: Entrez Gene: 374193 Chicken Entrez Gene: 2597 Human Entrez Gene: 100042025 Mouse Entrez Gene: 14433 Mouse Entrez Gene: 317743 Zebrafish Omim: 138400 Human SwissProt: P00356 Chicken SwissProt: P04406 Human SwissProt: P16858 Mouse SwissProt: Q5XJ10 Zebrafish Important Note: This product as supplied is intended for research use only, not for use in human, therapeutic or diagnostic applications. GAPDH蛋白几乎在所有组织中都高水平表达,广泛用作Western blot蛋白质标准化的内参,是很好的内参抗体。 GAPDH 作为管家基因在同种细胞或者组织中的蛋白质表达量一般是恒定的。在实验中,可能存在总蛋白浓度测定不准确;或者蛋白质样品在电泳前上样时产生的样品间的操作误差;这些误差需要通过测定每个样品中实际转到膜上的GAPDH的含量来进行校正,所以一般的western实验都需要进行内参设置。具体校正的方法就是将每个样品测得的目的蛋白含量与本样品的GAPDH含量相除,得到每个样品目的蛋白的相对含量。然后才进行样品与样品之间的比较。 甘油醛-3-磷酸脱氢酶(Glyceraldehyde 3 phosphate dehydrogenase,GAPDH)是糖酵解(glycolysis)过程中的关键酶。除了在胞质中作为糖酵解的酶以外,有证据表明哺乳动物细胞中的GAPDH参与了多种胞内生化过程,包括膜融合(membrane fusion)、微管成束(microtubule bundling)、磷酸转移酶(phosphotransferase)激活、核内RNA出核、DNA复制与DNA修复。一些生理因素,诸如低氧(hypoxia)和尿糖(diabetes),可以增加GAPDH在特定细胞中的表达。GAPDH存在于几乎所有的组织中,以高水平持续表达。 GAPDH(甘油醛-3-磷酸脱氢酶)是参与糖酵解的一种关键酶,由4个30-40kDa的亚基组成. ![]() ![]() ![]() ![]() ![]() ![]() ![]() ![]() ![]() ![]() ![]() ![]() ![]() ![]() ![]() ![]() ![]() ![]() ![]() |
风险提示:丁香通仅作为第三方平台,为商家信息发布提供平台空间。用户咨询产品时请注意保护个人信息及财产安全,合理判断,谨慎选购商品,商家和用户对交易行为负责。对于医疗器械类产品,请先查证核实企业经营资质和医疗器械产品注册证情况。
文献和实验问:求3-磷酸甘油醛脱氢酶测定方法及材料,感谢! 答:楼上说的就是GAPDH,主要用来做内参的,我现在就是用这个 做内参,你可以上网找这方面的信息,就是在结合二抗的时候按照一定的比例加到二抗里面,一起结合,效果很好。
3- 磷酸甘油醛脱氢酶 glyceraldehyde-3-phosphate dehydrogenase
催化糖酵解系统中最重要的一个阶段的酶。广泛发现在许多生物中 EC1. 2. 1. 12.是将有机分子的氧化能用高能磷酸键的形式保存起来的生物体反应中的一个典型。 D型 3-磷酸甘油醛 磷酸 NAD+ (在 NADH( NADHP)+ H 。反应机制已被相当详细的阐明。该酶具有活性所必需的 SH基。肌肉中的酶是与 NAD 牢固结合着的,已经能被结晶化。分子量 14万,由 4个相同的亚基组成。
量是否一致的参照,也常被用于免疫染色观察细胞的微管结构。 【GAPDH】甘油醛-3-磷酸脱氢酶,是参与糖酵解的一种关键酶,催化糖酵解的第六步,它还参与核转录等事件,核糖核酸转录、DNA复制和修复以及细胞凋亡。由 4 个30-40kDa 的亚基组成,分子量 146kDa,检测条带大约在36kDa。GAPDH 基因几乎在所有组织中都高水平表达,广泛用作WB的内参。在某些生理因素,如缺氧和糖尿病,会增加 GAPDH 在特定的细胞和组织的表达,如出现这类的样品,尽量避免选择 GAPDH 作为内参。 五
技术资料暂无技术资料 索取技术资料

























