相关产品推荐更多 >
万千商家帮你免费找货
0 人在求购买到急需产品
- 详细信息
- 文献和实验
- 技术资料
- 免疫原:
SU-DHL-1 large cell lymphoma cells
- 亚型:
IgG
- 形态:
Liquid
- 保存条件:
Store as concentrated solution. Centrifuge briefly prior to opening vial. Store at 4°C.
- 克隆性:
Monoclonal
- 标记物:
Unconjugated
- 适应物种:
Human
- 保质期:
12 months from the shipping date of the product.
- 抗原来源:
Human
- 目录编号:
GTX02769
- 级别:
Primary Antibodies
- 库存:
Available
- 供应商:
GeneTex
- 宿主:
Rabbit
- 应用范围:
IHC-P
- 浓度:
200 µg/ml(Please refer to the vial label for the specific concentration.)
- 靶点:
Golgi Zone
- 抗体英文名:
Golgi Zone antibody [GLG1/2829R]
- 抗体名:
Golgi Zone 抗体 [GLG1/2829R]
- 规格:
100 μg
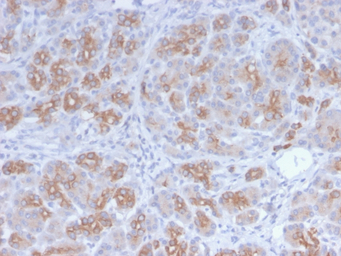
IHC-P analysis of human breast carcinoma section using GTX02769 Golgi Zone antibody [GLG1/2829R].
风险提示:丁香通仅作为第三方平台,为商家信息发布提供平台空间。用户咨询产品时请注意保护个人信息及财产安全,合理判断,谨慎选购商品,商家和用户对交易行为负责。对于医疗器械类产品,请先查证核实企业经营资质和医疗器械产品注册证情况。
文献和实验Separation of the Plant Golgi Apparatus and Endoplasmic Reticulum by Free-Flow Electrophoresis
Free-flow electrophoresis (FFE) is a technique for separation of proteins, peptides, organelles, and cells. With zone electrophoresis (ZE-FFE), organelles are separated according to surface charge. The plant Golgi and endoplasmic reticulum
Expression of VHH Antibody Fragments in Saccharomyces cerevisiae
does not produce any toxins and is generally regarded as safe, simplifies the processes of downstream processing. Third, S. cerevisiae contains a secretion machinery comparable to the mammalian system, including an endoplasmic reticulum and Golgi. These organelles
) 2 N HCl/0.2% Triton X‐100 Borate buffer (see recipe ) Anti‐BrdU antibody (Roche
技术资料暂无技术资料 索取技术资料






![TIE2 antibody [MAB0807]](https://img1.dxycdn.com/2022/0328/555/0589080265299400453-14.jpg!wh200)




