相关产品推荐更多 >
万千商家帮你免费找货
0 人在求购买到急需产品
- 详细信息
- 文献和实验
- 技术资料
- 免疫原:
Recombinant fragment (around aa 247-382) ofhuman ZAP70 protein
- 亚型:
IgG
- 形态:
Liquid
- 保存条件:
Store as concentrated solution. Centrifuge briefly prior to opening vial. Store at 4ºC.
- 克隆性:
Monoclonal
- 标记物:
Unconjugated
- 适应物种:
Human
- 保质期:
12 months from the shipping date of the product.
- 抗原来源:
Human
- 目录编号:
GTX02745
- 级别:
Primary Antibodies
- 库存:
Available
- 供应商:
GeneTex
- 宿主:
Rabbit
- 应用范围:
IHC-P, ELISA
- 浓度:
200 μg/ml (Please refer to the vial label for the specific concentration.)
- 靶点:
ZAP70
- 抗体英文名:
ZAP70 antibody [ZAP70/3921R]
- 抗体名:
ZAP70 抗体 [ZAP70/3921R]
- 规格:
100 μg
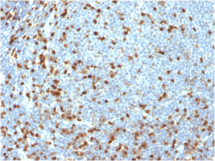
IHC-P analysis of human tonsil tissue section using GTX02745 ZAP70 antibody [ZAP70/3921R].
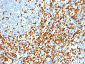
IHC-P analysis of human lymphoma section using GTX02745 ZAP70 antibody [ZAP70/3921R].
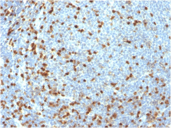
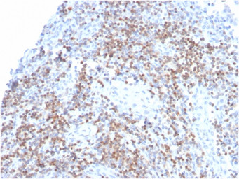
IHC-P analysis of human lymphoma section using GTX02745 ZAP70 antibody [ZAP70/3921R].
风险提示:丁香通仅作为第三方平台,为商家信息发布提供平台空间。用户咨询产品时请注意保护个人信息及财产安全,合理判断,谨慎选购商品,商家和用户对交易行为负责。对于医疗器械类产品,请先查证核实企业经营资质和医疗器械产品注册证情况。
文献和实验对象中,每行对应一个HuGeneFl芯片的探针集,每列对应于一个样本,行名是探针集的ID而列名为样本名,本文用expr_cns_gcrma_eb示例,当然也可以用其他对象。 调用get命令获取DataMatrix对象的特征。 get(expr_cns_gcrma_eb) Name: 'CNS gene expression data' RowNames: {7129x1 cell} ColNames: {1x42 cell}
, YWHAZ. Cell Cycle Proteins Regulated by the Erk1/2 Pathway: CCNA1, CCNA2, CCNB1, CCNB2, CCND1, CCND2, CCND3, CCNE1, CCNE2, CDK2, CDK4, CDK6, CDKN1A, CDKN1B, CDKN1C, CDKN2A, CDKN2B, CDKN2C, CDKN2D, E2F1, RB1. 2。T细胞与B细胞活化基因芯片 T细胞与B细胞活化基因芯片列有适应性免疫
Phage‐Based Expression Cloning to Identify Interacting Proteins
, W., Sellers, W.R., DeCaprio, J.A., Ajchenbaum, F., Fuchs, C.S., Chittenden, T., Li, Y., Farnham, P.J., Blanar, M.A., Livingston, D.M., and Flemington, E.K. 1992. Expression cloning of a cDNA encoding a retinoblastoma‐binding protein with E2F
技术资料暂无技术资料 索取技术资料











