相关产品推荐更多 >
万千商家帮你免费找货
0 人在求购买到急需产品
- 详细信息
- 文献和实验
- 技术资料
- 免疫原:
Recombinant full-length human Thymidine Phosphorylase (TP / PD-ECGF) protein
- 亚型:
IgG
- 形态:
Liquid
- 保存条件:
Store as concentrated solution. Centrifuge briefly prior to opening vial. Store at 4ºC.
- 克隆性:
Monoclonal
- 标记物:
Unconjugated
- 适应物种:
Human, Mouse, Rat
- 保质期:
12 months from the shipping date of the product.
- 抗原来源:
Human
- 目录编号:
GTX02734
- 级别:
Primary Antibodies
- 库存:
Available
- 供应商:
GeneTex
- 宿主:
Rabbit
- 应用范围:
IHC-P
- 浓度:
200 μg/ml (Please refer to the vial label for the specific concentration.)
- 靶点:
Thymidine Phosphorylase
- 抗体英文名:
Thymidine Phosphorylase antibody [TYMP/2890R]
- 抗体名:
Thymidine Phosphorylase 抗体 [TYMP/2890R]
- 规格:
100 μg
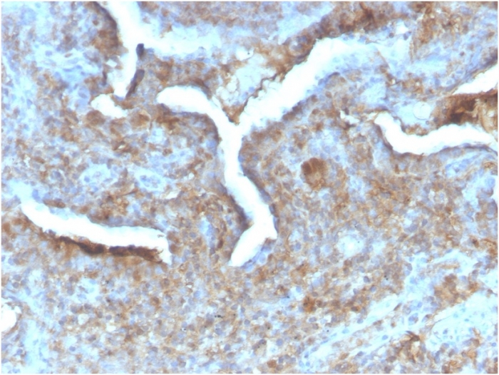
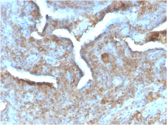
IHC-P analysis of human prostate carcinoma section using GTX02734 Thymidine Phosphorylase antibody [TYMP/2890R].
风险提示:丁香通仅作为第三方平台,为商家信息发布提供平台空间。用户咨询产品时请注意保护个人信息及财产安全,合理判断,谨慎选购商品,商家和用户对交易行为负责。对于医疗器械类产品,请先查证核实企业经营资质和医疗器械产品注册证情况。
文献和实验We describe detailed methods to measure thymidine (dThd) and deoxyuridine (dUrd) concentrations and thymidine phosphorylase (TP) activity in biological samples. These protocols allow the detection of TP dysfunction in patients
Enzyme-Prodrug Systems: Thymidine Phosphorylase/5-Deoxy-5-Fluorouridine
Thymidine phosphorylase (E.C. 2.4.2.4) (TP), also described as the angiogenic platelet-derived endothelial cell growth factor (PD-ECGF) (1 –4 ), is a homodimeric enzyme with a monomeric molecular mass of about 55 kDa
monoclonal antibody production fusion
100(1%v/v) - AJ(5%v/v) - IL 6 (100 U/ml) - aminopterine x100 (1% v/v) HT (hypoxantine-thymidine)x100, 0.22 (or 0.45) µm-filtered, store at -20ѓC = hypoxantine solution, 50 ml + thymidine solution, 50 ml + ddH2 O up to 250 ml
技术资料暂无技术资料 索取技术资料








![RTN3 antibody [10A8]](https://img1.dxycdn.com/2022/0328/968/8103509420177500453-14.jpg!wh200)


