相关产品推荐更多 >
万千商家帮你免费找货
0 人在求购买到急需产品
- 详细信息
- 文献和实验
- 技术资料
- 免疫原:
Recombinant fragment of human TPO (around aa 685-804)
- 亚型:
IgG
- 形态:
Liquid
- 保存条件:
Store as concentrated solution. Centrifuge briefly prior to opening vial. Store at 4ºC.
- 克隆性:
Monoclonal
- 标记物:
Unconjugated
- 适应物种:
Human
- 保质期:
12 months from the shipping date of the product.
- 抗原来源:
Human
- 目录编号:
GTX02732
- 级别:
Primary Antibodies
- 库存:
Available
- 供应商:
GeneTex
- 宿主:
Rabbit
- 应用范围:
IHC-P
- 浓度:
200 μg/ml (Please refer to the vial label for the specific concentration.)
- 靶点:
TPO
- 抗体英文名:
TPO antibody [TPO/3813R]
- 抗体名:
TPO 抗体 [TPO/3813R]
- 规格:
100 μg
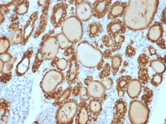
IHC-P analysis of human thyroid carcinoma section using GTX02732 TPO antibody [TPO/3813R].
风险提示:丁香通仅作为第三方平台,为商家信息发布提供平台空间。用户咨询产品时请注意保护个人信息及财产安全,合理判断,谨慎选购商品,商家和用户对交易行为负责。对于医疗器械类产品,请先查证核实企业经营资质和医疗器械产品注册证情况。
文献和实验等首先建立了纯化TPO抗原和测定抗-TPO抗体的ELISA方法。其TPO抗原分析与国外文献报告相似。抗-TPO抗体的阳性率在各组疾病中,与抗-TM抗体有一定相关性(r二0.731),且低于抗-TM阳性率,与国外所得的结果也相近(r二0.584—0.835)。故介绍如下。 1.TPO抗原的制备:取单纯性甲状腺肿手术切除物10g,冰冻后切成小块,加40mL0.05mol/L,pH 7.0PBS(含200btmol/LKl)。用组织捣碎机10000r/min破碎2min,再用
上海西唐生物科技有限公司 021-55229872, 65333639 www.westang.com 大鼠血小板生成素 (TPO)ELISA 试剂盒 ( 用于血清、血浆、细胞培养上清液和其它生物体液内 ) 原理 本实验采用双抗体夹心 ABC-ELISA 法。用抗大鼠 TPO ( Thrombopoietin ) 单抗包被于酶标板上,标准品和样品中的 TPO 与单抗结合,加入生物素化的抗大鼠 TPO
上海西唐生物科技有限公司 021-55229872, 65333639 www.westang.com 小鼠血小板生成素 (TPO)ELISA 试剂盒 ( 用于血清、血浆、细胞培养上清液和其它生物体液内 ) 原理 本实验采用双抗体夹心 ABC-ELISA 法。用抗小鼠 TPO( Thrombopoietin ) 单抗包被于酶标板上,标准品和样品中的 TPO与单抗
技术资料暂无技术资料 索取技术资料





![p57 Kip2 antibody [KIP2/880]](https://img1.dxycdn.com/2022/0328/530/1719047374370700453-14.jpg!wh200)
![VWF antibody [VWF635]](https://img1.dxycdn.com/2022/0328/331/0372644879141700453-14.jpg!wh200)




