相关产品推荐更多 >
万千商家帮你免费找货
0 人在求购买到急需产品
- 详细信息
- 文献和实验
- 技术资料
- 免疫原:
Synthetic peptide corresponding to residues within aa200-300 corresponding to human SATB2
- 亚型:
IgG
- 形态:
Liquid
- 保存条件:
Store as concentrated solution. Centrifuge briefly prior to opening vial. Store at 4ºC.
- 克隆性:
Monoclonal
- 标记物:
Unconjugated
- 适应物种:
Human
- 保质期:
12 months from the shipping date of the product.
- 抗原来源:
Human
- 目录编号:
GTX02705
- 级别:
Primary Antibodies
- 库存:
Available
- 供应商:
GeneTex
- 宿主:
Rabbit
- 应用范围:
IHC-P
- 浓度:
200 μg/ml (Please refer to the vial label for the specific concentration.)
- 靶点:
SATB2
- 抗体英文名:
SATB2 antibody [SATB2/4374R]
- 抗体名:
SATB2 抗体 [SATB2/4374R]
- 规格:
100 μg
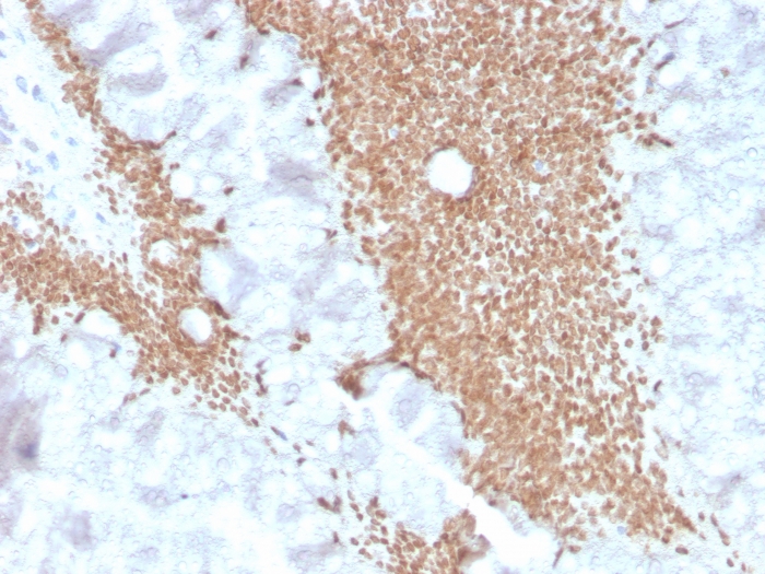
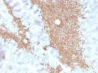
IHC-P analysis of human colon carcinoma section using GTX02705 SATB2 antibody [SATB2/4374R].
IHC-P analysis of human colon carcinoma section using GTX02705 SATB2 antibody [SATB2/4374R].
风险提示:丁香通仅作为第三方平台,为商家信息发布提供平台空间。用户咨询产品时请注意保护个人信息及财产安全,合理判断,谨慎选购商品,商家和用户对交易行为负责。对于医疗器械类产品,请先查证核实企业经营资质和医疗器械产品注册证情况。
文献和实验Section.03 小结 好啦,今天关于肿瘤标志物就先介绍到这里了~MCE 提供大量肿瘤标志物抗体,快来 MCE 官网挑选你心仪的抗体吧!点击直达官网。 小伙伴还需要注意:每一个肿瘤标志物,都不是孤立的“判决书”,一定要结合多种检测指标联合判断,才能更准确。 产品推荐 PD-L1 Antibody (YA4674) (HY-P84982) www.medchemexpress.cn/antibody/cd274-pd
Antidiv (YA3498) (HY-P80983) www.medchemexpress.cn/antibody/cdx2-antibody.html 可用于结直肠癌组织的免疫组化分析 MUC2 Antidiv (YA5899) (HY-P86207) www.medchemexpress.cn/antibody/muc2-antibody-ya5899.html 可用于结直肠癌组织的免疫组化分析 SATB2 Antidiv (YA842) (HY-P80958) www.medchemexpress
v468.Chapter 3 分泌型跨膜相关蛋白提纯及Wnt抑制活性
Healthcare). 11. Enhanced chemiluminescent reagents (Femto Super Signal;Pierce, Rockford, IL). 12. X-Omat film (Kodak, Rochester, NY). 2.6. Wnt Activity Assays 1. b-catenin primary antibody: clone 4 (#610153; BD Biosciences,San Jose, CA
技术资料暂无技术资料 索取技术资料






![CKAP4 antibody [HL2562]](https://custom.dxycdn.com/trademd/upload/pic/2013/11/12/A1383891150.jpg!small.t.1)


![Galactosidase alpha antibody [08]](https://img1.dxycdn.com/2022/0328/228/5028876074108700453-14.png!wh200)

