相关产品推荐更多 >
万千商家帮你免费找货
0 人在求购买到急需产品
- 详细信息
- 文献和实验
- 技术资料
- 免疫原:
A synthetic peptide corresponding to a N-terminal region of Human RUVBL2
- 亚型:
IgG
- 形态:
Liquid
- 保存条件:
Store as concentrated solution. Centrifuge briefly prior to opening vial. For short-term storage (1-2 weeks), store at 4ºC. For long-term storage, aliquot and store at -20ºC or below. Avoid multiple freeze-thaw cycles.
- 克隆性:
Polyclonal
- 标记物:
Unconjugated
- 适应物种:
Human
- 保质期:
12 months from the shipping date of the product.
- 抗原来源:
Human
- 目录编号:
GTX77831
- 级别:
Primary Antibodies
- 库存:
Available
- 供应商:
GeneTex
- 宿主:
Rabbit
- 应用范围:
WB, IHC-P
- 浓度:
0.5-1 mg/ml (Please refer to the vial label for the specific concentration.)
- 靶点:
RUVBL2
- 抗体英文名:
RUVBL2 antibody, N-term
- 抗体名:
RUVBL2 抗体, N-term
- 规格:
100 μg
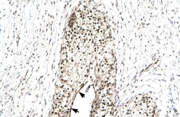
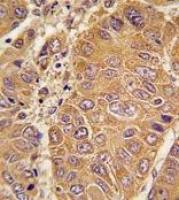
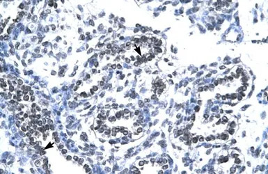
IHC-P analysis of human urinary bladder tissue using GTX77831 RUVBL2 antibody at 4.0-8.0μg/ml.
WB analysis of H1299 cells using GTX77831 RUVBL2 antibody at 1:1000.
Lane 1 : H1299 cells transfected control siRNA.
Lane 2 : H1299 transfected RUVBL2 siRNA.
IHC-P analysis of human lung tissue using GTX77831 RUVBL2 antibody at 4.0-8.0μg/ml.
风险提示:丁香通仅作为第三方平台,为商家信息发布提供平台空间。用户咨询产品时请注意保护个人信息及财产安全,合理判断,谨慎选购商品,商家和用户对交易行为负责。对于医疗器械类产品,请先查证核实企业经营资质和医疗器械产品注册证情况。
文献和实验In the field of therapeutic recombinant proteins, monoclonal antibodies (mAbs) have achieved a rising success with more than 30 mAbs that have reached the market in the past 20 years. From a structural standpoint, one of the most important
to protect the antibody. These should be stored in smaller aliquots (about 1 ml) and frozen for long term storage though the protected solution is also stable for months at four degrees. Ascites fluid: This is a bit more problematic as it may contain
Materials 0.1M NaHC03 pH9 DMSO NHS-Biotin (N-Hydroxysuccinimidobiotin, Sigma #H-1759) PBS Procedure Dialyze the sample against carbonate buffer. After dialysis, adjust
技术资料暂无技术资料 索取技术资料





![Caldesmon antibody [GT1108]](https://img1.dxycdn.com/2022/0328/958/5612478578365600453-14.jpg!wh200)
![RGS17 antibody [C2C3], C-term](https://img1.dxycdn.com/2022/0328/035/3051519863846200453-14.jpg!wh200)


![PARP antibody [7A10]](https://img1.dxycdn.com/2022/0328/102/1616693720937500453-14.jpg!wh200)
