相关产品推荐更多 >
万千商家帮你免费找货
0 人在求购买到急需产品
- 详细信息
- 文献和实验
- 技术资料
- 免疫原:
Recombinant full-length human Interleukin 10 (IL10) protein
- 亚型:
IgG
- 形态:
Liquid
- 保存条件:
Store as concentrated solution. Centrifuge briefly prior to opening vial. Store at 4ºC.
- 克隆性:
Monoclonal
- 标记物:
Unconjugated
- 适应物种:
Human
- 保质期:
12 months from the shipping date of the product.
- 抗原来源:
Human
- 目录编号:
GTX02650
- 级别:
Primary Antibodies
- 库存:
Available
- 供应商:
GeneTex
- 宿主:
Rabbit
- 应用范围:
IHC-P
- 浓度:
200 μg/ml (Please refer to the vial label for the specific concentration.)
- 靶点:
IL10
- 抗体英文名:
IL10 antibody [IL10/2651R]
- 抗体名:
IL10 抗体 [IL10/2651R]
- 规格:
100 μg
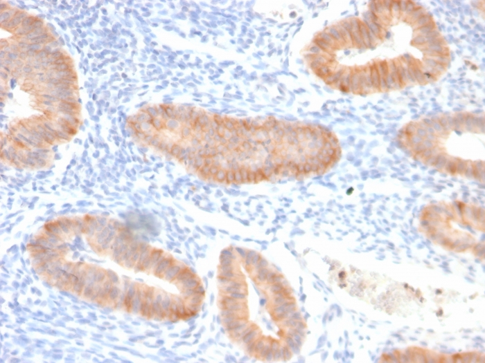
IHC-P analysis of human endocervical carcinoma section using GTX02650 IL10 antibody [IL10/2651R].
IHC-P analysis of human prostate carcinoma section using GTX02650 IL10 antibody [IL10/2651R].
风险提示:丁香通仅作为第三方平台,为商家信息发布提供平台空间。用户咨询产品时请注意保护个人信息及财产安全,合理判断,谨慎选购商品,商家和用户对交易行为负责。对于医疗器械类产品,请先查证核实企业经营资质和医疗器械产品注册证情况。
文献和实验1, CALM2, CALM3, CAMK2B, CAMK4, CNR1, ITK, MAP2K7, NCK2, PAK1, PPIA, PPP3CB, PPP3CC, PPP3R1, TRPV6, VAV1, VAV2, VAV3. Ligands: CCL2, CSF2, CSF3, IFNA1, IFNB1, IFNG, IL1A, IL1B, IL2, IL3, IL4, IL6, IL8, IL10, IL12A, IL12B, IL13, IRF1, LTA, TGFB1, TNF
题名:Blockade of B7-H1 improves myeloid dendritic cell-mediated antitumor immunity 出处:Nat Med. 2003 May;9(5):562-7. 作者:Curiel TJ, Wei S, Dong H, Alvarez X, Cheng P, Mottram P, Krzysiek R, Knutson K L, Daniel B, Zimmermann MC, David O, Burow M
相关专题 &NBS p; Interleukin 10 Interleukin-10 (IL-10 or IL10), also known as human cytokine synthesis inhibitory factor (CSIF), is an anti-inflammatory cytokine. In humans IL-10 is encoded
技术资料暂无技术资料 索取技术资料







![KATNAL1 antibody [C1C3]](https://img1.dxycdn.com/2022/0328/324/9812672352753300453-14.jpg!wh200)
![PPP2R5D antibody [C3], C-term](https://img1.dxycdn.com/2022/0328/386/5518502000346200453-14.jpg!wh200)


