相关产品推荐更多 >
万千商家帮你免费找货
0 人在求购买到急需产品
- 详细信息
- 文献和实验
- 技术资料
- 免疫原:
Recombinant human GP2 protein fragment (around aa35-179)
- 亚型:
IgG
- 形态:
Liquid
- 保存条件:
Store as concentrated solution. Centrifuge briefly prior to opening vial. Store at 4ºC.
- 克隆性:
Monoclonal
- 标记物:
Unconjugated
- 适应物种:
Human
- 保质期:
12 months from the shipping date of the product.
- 抗原来源:
Human
- 目录编号:
GTX02645
- 级别:
Primary Antibodies
- 库存:
Available
- 供应商:
GeneTex
- 宿主:
Rabbit
- 应用范围:
WB, IHC-P, ELISA
- 浓度:
200 μg/ml (Please refer to the vial label for the specific concentration.)
- 靶点:
We do not recommend use of this product for Mouse.
- 抗体英文名:
GP2 antibody [GP2/2569R]
- 抗体名:
GP2 抗体 [GP2/2569R]
- 规格:
100 μg
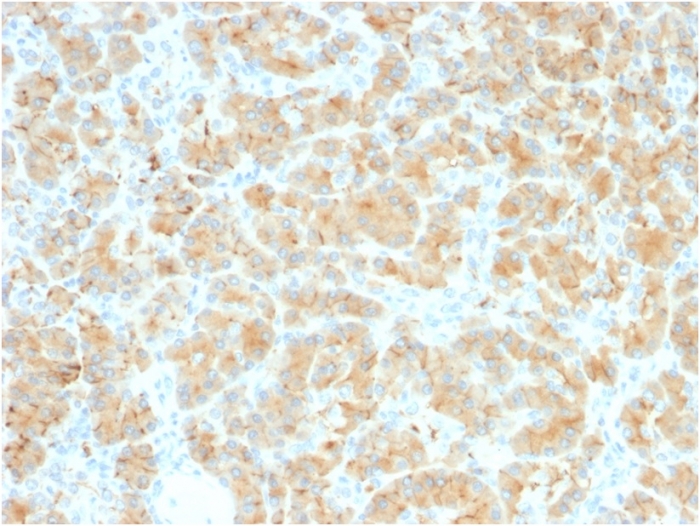
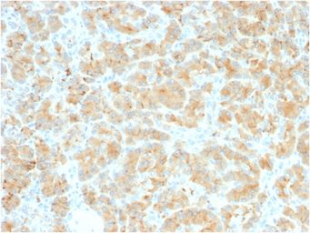
IHC-P analysis of human pancreas tissue section using GTX02645 GP2 antibody [GP2/2569R].
WB analysis of human pancreas tissue lysate using GTX02645 GP2 antibody [GP2/2569R].
风险提示:丁香通仅作为第三方平台,为商家信息发布提供平台空间。用户咨询产品时请注意保护个人信息及财产安全,合理判断,谨慎选购商品,商家和用户对交易行为负责。对于医疗器械类产品,请先查证核实企业经营资质和医疗器械产品注册证情况。
文献和实验, and dipeptidylpeptidase. GPI-anchored proteins can be released from membranes with specific phospholipases and can be recovered from the detergent-insoluble pellet after Triton X-114 treatment of membranes. All GPI-anchored proteins are initially synthesized
Phage‐Based Expression Cloning to Identify Interacting Proteins
, W., Sellers, W.R., DeCaprio, J.A., Ajchenbaum, F., Fuchs, C.S., Chittenden, T., Li, Y., Farnham, P.J., Blanar, M.A., Livingston, D.M., and Flemington, E.K. 1992. Expression cloning of a cDNA encoding a retinoblastoma‐binding protein with E2F
Digital Gene Expression by Tag Sequencing on the Illumina Genome Analyzer
(siliconized) microcentrifuge tubes (Ambion) Magnetic stand (Invitrogen, cat. no. R670‐01) 50‐ml conical polypropylene tubes (BD
技术资料暂无技术资料 索取技术资料








![S100P antibody [MSVA-480R] HistoMAX](https://custom.dxycdn.com/trademd/upload/pic/2013/11/12/A1383891150.jpg!small.t.1)


