
北京义翘神州 原核蛋白表达服务 大肠杆菌一站式 原核蛋白表达一站式服务
万千商家帮你免费找货
0 人在求购买到急需产品
- 详细信息
- 询价记录
- 文献和实验
- 技术资料
- 提供商:
北京义翘神州科技股份有限公司
- 服务名称:
原核蛋白表达服务
- 规格:
欢迎询价
大肠杆菌蛋白表达系统是目前应用最广泛,也是最经济实惠的蛋白表达系统。E. coli具有遗传背景清楚、细胞增殖快、表达量高、稳定性好和抗污染能力强等特点,适用于多种属蛋白的表达,尤其对小分子蛋白的生产具有极大的优势,但也存在一些问题,如易形成包涵体和含有内毒素等。义翘神州提供从密码子优化到重组蛋白表达/纯化的一站式服务以及内毒素去除等附加服务,以满足不同的定制需求。我们拥有丰富的E. coli 可溶性蛋白表达/纯化及蛋白复性经验,拥有多种E. coli细胞株和表达载体,可为客户提供优质的原核蛋白表达服务。
E. coli 蛋白表达服务内容

• 附加服务
为满足客户的特定需求,义翘神州还提供更加广泛的服务,包括:内毒素去除服务、标签去除服务、蛋白标记服务。
原核蛋白表达服务流程

大肠杆菌蛋白表达服务案例
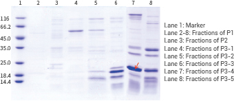
• 案例 #1: 在大肠杆菌(E. coli)中表达可溶性无标签蛋白
三步法进行蛋白纯化(基于蛋白质的等电点、疏水性和分子量)
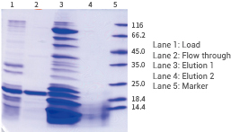
• 案例 #2: 在大肠杆菌(E. coli)中表达目的蛋白
义翘神州按照客户要求,采用原核表达系统进行目的蛋白的表达和纯化,成功交付了纯化蛋白和质量检验报告 (CoA)。相关的SEC-HPLC、SDS-PAGE和细胞活性分析结果如下所示。
更多相关学习资源:E. coli表达策略及纯化过程优化
- 演讲嘉宾
王婧 高级研发经理
主要负责原核及酵母表达重组蛋白平台产品的研发、生产、技术服务等相关工作。在蛋白表达、蛋白纯化、包涵体复性等领域有着丰富的经验。同时在2021年12月,带领义翘神州研发团队共同推出一系列针对新冠病毒变异株Omicron (B.1.1.529) 的相关试剂。
- 讲座背景介绍
蛋白质组学是后基因组时代的一门重要学科,其研究对象为生物体内所有翻译表达并执行生命功能的蛋白质。近年来,大量应用蛋白质组学研究成果越来越多,这是蛋白质组学领域的一大发展趋势,是蛋白药物开发的一大利器。
而重组蛋白是利用 DNA(RNA)重组技术表达的蛋白。蛋白表达是将目的基因通过电转化或者热激等手段转入合适的宿主中,利用宿主的特定生理、生化和遗传特点进行目标蛋白大量表达及纯化的生物技术。通过该项技术获得的蛋白药物主要包含多肽类激素、细胞因子、重组酶等类别,与传统小分子化学药相比,具有疗效更显著、特异性更强、毒性更低、副作用更小、生物功能更明确等优势,在抗病毒、肿瘤与免疫、血液病等领域具有不可替代的治疗作用。
2022 年 5 月 13 日 WHO 公布全球疫苗候选物名单中,临床阶段的疫苗候选物 156个,临床前 198 个。其中临床阶段的疫苗候选物有 11 种,蛋白亚单位(Protein subunit)疫苗,即重组蛋白疫苗候选个数排在首位,占所有疫苗个数的 34%。2020年全球 10 大疫苗品种中 8 个是重组蛋白疫苗,该数据代表着未来疫苗研发重点依然是重组蛋白疫苗。这些数据无一不在表明重组蛋白药已成为现代生物制药领域最重要的产品之一。
就当前形势下,蛋白药物的开发对我们而言,既是机遇,也是挑战。诸如:重组蛋白类蛋白药物开发的应用现状?科研团队利用哪些先进的技术有效进行重组蛋白的纯化分离,开发得到蛋白药物?如何结合课题需求选择蛋白质标签?如何通过蛋白组学技术助力蛋白药物研发,并应用于疾病的发生机制和治疗?目前的前沿技术从研究转化为临床应用面临的挑战又是什么?
更多重组蛋白表达服务
原核蛋白表达的常见问题解答
- 什么情况下建议选择大肠杆菌表达系统?
大肠杆菌表达系统是最常用蛋白表达系统,优势包括遗传背景清晰、成本低、表达量高、易于放大和时间短等,缺点是容易形成包涵体和无法进行翻译后修饰。该系统适用于表达原核来源的蛋白或不需要翻译后修饰的真核来源蛋白,特别是小分子蛋白。如果您感兴趣的蛋白符合这种情况,建议选择原核表达系统。
- 在大肠杆菌蛋白表达系统中,义翘神州能解折叠不溶蛋白吗?
是的。我们的科学家在蛋白质解折叠方面拥有丰富的经验。选择哪种蛋白解折叠策略需要根据蛋白质的序列和结构特性来确定。
- 义翘神州提供标签去除服务吗?
是的。我们构建载体时可以在标签蛋白和目的蛋白之间加上蛋白酶的酶切位点,这样纯化后就可以利用蛋白酶去除标签,得到完整的目的蛋白。蛋白酶的切割效率受目的蛋白的影响,具体由实验结果而定。
- 密码子优化可以提高蛋白表达水平吗?
一般来说,经过密码子优化后,蛋白的表达水平会变高。 因此,我们也提供密码子优化服务。
立即咨询原核细胞蛋白表达服务-大肠杆菌
扫码咨询原核细胞蛋白表达服务-大肠杆菌

(欢迎小伙伴来咨询哦! 请注明来源、姓名,单位)
下载产品相关技术资料,获取更多原核细胞蛋白表达服务-大肠杆菌相关内容!
风险提示:丁香通仅作为第三方平台,为商家信息发布提供平台空间。用户咨询产品时请注意保护个人信息及财产安全,合理判断,谨慎选购商品,商家和用户对交易行为负责。对于医疗器械类产品,请先查证核实企业经营资质和医疗器械产品注册证情况。
- 作者
- 内容
- 询问日期
文献和实验- 原核表达性价比很高,之前需要的蛋白是包涵体表达,在我提出可以变性后,他们积极变性纯化,给到了不错的样品。——唐*丽 2021/11/4
- 义翘原核表达平台不错,在其他公司做不出来的蛋白给我做出来了,很感谢。——潘*舒 2021/9/23
- 我自己不懂表达,不会设计方案,义翘快速进行了专业的理论评估及方案设计并成功表达了蛋白,很赞。——奚* 2021/7/1
- 我一次要评估表达几十个构建,义翘先快速进行了小量评估表达,筛掉了表达不好的构建,为我后续放大节约了时间与成本。——鲍* 2021/4/10
高手进行补充 pET,原核表达金标准(转) pET 载体中,目标基因克隆到 T7 噬菌体强转录 和翻译信号控制之下,并通过在宿主细胞提供 T7 RNA 聚合酶来诱导表达。 Novagen 的 pET 系统不断扩大,提供了用于表达的新技术和选择,目前共包括 36 种载体类型、 15 种不同宿主菌和设计用于有效检测和纯化目标蛋白的许多其它相关产品。 优点 · 是原核蛋白表达 引用最多的系统 · 在任何大肠杆菌 表达系统中,基础
好的质粒交给细菌后,有些事情是我们不能控制的,未知的。尝试其他的表达系统未尝不是一种办法。不过原核不能表达,转去做真核,也不保险,这时候试试体外表达,会更省事,因为没有细胞生长的限制,更容易得到结果,可能只是花费高些,产量低些。能做出结果是第一需要时,这些就不能计较太多。随后将介绍几个体外表达系统,欢迎留意。 如果你成功表达出来了,首先要恭喜你,之后你仍然可能遇到各种各样的问题。这个很正常,科研的道路是曲折的嘛。 Q1:蛋白表达出来了,但是跑SDS-PAGE时大小不符
最近2个月都在做原核表达,刚开始什么都不会,连SDS-PAGE都跑成模糊的一片,其中的辛酸只有自己知道,现在实验慢慢上正轨了,自己也积累了一些经验。很怀恋之前探索的那段时光,现在把我做蛋白表达的过程和一些问题写出来,希望能够帮助开始做蛋白表达的人少走一些弯路。 1、表达载体的构建构建表达载体是比较简单的,不过也是需要对你的蛋白还有所用的载体有一个详细的认识,对于比较大的蛋白最好选用能够助溶的标签,但是也不是固定的,比如我的蛋白有65-70KD,我也用的也是HIS,上清也是有少量表达。最关键

















