相关产品推荐更多 >
万千商家帮你免费找货
0 人在求购买到急需产品
- 详细信息
- 询价记录
- 技术资料
- 库存:
10
- 供应商:
广东固康生物科技有限公司
- 检测范围:
——
- 检测方法:
酶联免疫法
- 应用:
——
- 适应物种:
人
- 标记物:
——
- 样本:
血清、血浆
- 规格:
1瓶
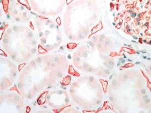
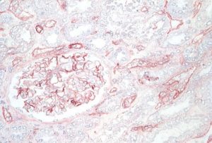
【品名】
拜美狄®抗C4D抗体
Anti-C4d Antibody
【规格】
250 µl/瓶
【形式】
液体IgG抗体片段,由蛋白G层析纯化
【应用】
人组织中的石蜡和冰冻切片。仅供科研使用。
【储存】
4℃保存至标签所示有效期。
【背景知识】
C4d 是激活的补体因子 C4 的降解产物,是经典补体级联反应的一个组成部分,通常由抗体与特定靶分子的结合引发。 C4d 的检测被视为一种间接标志,是针对同种异体移植物的抗体反应的“足迹”。 大多数出版物将 C4d 描述为肾移植以及心脏、肝脏和其他移植的重要生物标志物。


【参考文献】
1. Kamyab K et al., C4d immunohistochemical stain of formalin-fixed paraffin-embedded tissue as a sensitive method in the diagnosis of bullous pemphigoid. , J Cutan Pathol. 2019;1-6
2. Kikić Z et al., Capillary C4d and Kidney Allograft Outcome in Relation to Morphologic Lesions Suggestive of Antibody-Mediated Rejection. Clin. J. Am. Soc. Nephrol., Aug 2015; 10: 1435-1443.
3. Bartel G et al., Solid phase detection of C4d-fixing HLA antibodies to predict rejection in high immunological risk kidney transplant recipients. Transpl Int, 2013; 26(2): 121-130.
拜美狄®抗C4D抗体
Anti-C4d Antibody
【规格】
250 µl/瓶
【形式】
液体IgG抗体片段,由蛋白G层析纯化
【应用】
人组织中的石蜡和冰冻切片。仅供科研使用。
【储存】
4℃保存至标签所示有效期。
【背景知识】
C4d 是激活的补体因子 C4 的降解产物,是经典补体级联反应的一个组成部分,通常由抗体与特定靶分子的结合引发。 C4d 的检测被视为一种间接标志,是针对同种异体移植物的抗体反应的“足迹”。 大多数出版物将 C4d 描述为肾移植以及心脏、肝脏和其他移植的重要生物标志物。


【参考文献】
1. Kamyab K et al., C4d immunohistochemical stain of formalin-fixed paraffin-embedded tissue as a sensitive method in the diagnosis of bullous pemphigoid. , J Cutan Pathol. 2019;1-6
2. Kikić Z et al., Capillary C4d and Kidney Allograft Outcome in Relation to Morphologic Lesions Suggestive of Antibody-Mediated Rejection. Clin. J. Am. Soc. Nephrol., Aug 2015; 10: 1435-1443.
3. Bartel G et al., Solid phase detection of C4d-fixing HLA antibodies to predict rejection in high immunological risk kidney transplant recipients. Transpl Int, 2013; 26(2): 121-130.
风险提示:丁香通仅作为第三方平台,为商家信息发布提供平台空间。用户咨询产品时请注意保护个人信息及财产安全,合理判断,谨慎选购商品,商家和用户对交易行为负责。对于医疗器械类产品,请先查证核实企业经营资质和医疗器械产品注册证情况。
- 作者
- 内容
- 询问日期
拜美狄®抗C4d抗体
¥5429











