相关产品推荐更多 >
万千商家帮你免费找货
0 人在求购买到急需产品
- 详细信息
- 文献和实验
- 技术资料
- 抗体名:
PYCARD Antibody抗体
- 抗体英文名:
PYCARD Antibody
- 靶点:
PYCARD
- 应用范围:
ELISA, IF, IHC, WB
- 宿主:
Rabbit
- 适应物种:
Human, Mouse, Rat
- 保质期:
6-12个月
- 抗原来源:
详询
- 目录编号:
orb631999
- 级别:
科研级
- 库存:
88
- 供应商:
biorbyt
- 标记物:
Unconjugated
- 克隆性:
Polyclonal
- 形态:
liquid
- 亚型:
IgG
- 免疫原:
PYD and CARD domain containing
- 规格:
50 ug
产品描述:Rabbit polyclonal antibody to TMS1
免疫原:PYD and CARD domain containing
应用稀释比例:WB: 1:500-1:2000; IF: 1:50-1:200; IHC: 1:50-1:500
纯度:≥95% as determined by SDS-PAGE
纯化:Immunogen affinity purified
保存说明:Maintain refrigerated at 2-8°C for up to 2 weeks. For long term storage store at -20°C in small aliquots to prevent freeze-thaw cycles.
UniProt ID:Q9ULZ3
Note:For research use only.



免疫原:PYD and CARD domain containing
应用稀释比例:WB: 1:500-1:2000; IF: 1:50-1:200; IHC: 1:50-1:500
纯度:≥95% as determined by SDS-PAGE
纯化:Immunogen affinity purified
保存说明:Maintain refrigerated at 2-8°C for up to 2 weeks. For long term storage store at -20°C in small aliquots to prevent freeze-thaw cycles.
UniProt ID:Q9ULZ3
Note:For research use only.

HL-60 cells were subjected to SDS PAGE followed by western blot with orb631999 (TMS1 antibody) at dilution of 1:1000.

Immunofluorescent analysis of A549 cells using orb631999 (TMS1 antibody) at dilution of 1:50 and Alexa Fluor 488-conjugated Goat Anti-Rabbit IgG (H+L).

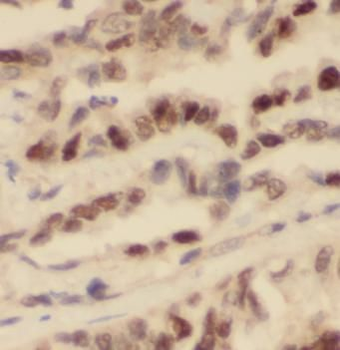
Immunohistochemistry of paraffin-embedded human lung cancer using orb631999 (TMS1 antibody) at dilution of 1:100.
风险提示:丁香通仅作为第三方平台,为商家信息发布提供平台空间。用户咨询产品时请注意保护个人信息及财产安全,合理判断,谨慎选购商品,商家和用户对交易行为负责。对于医疗器械类产品,请先查证核实企业经营资质和医疗器械产品注册证情况。
文献和实验相关实验
炎症促发阿尔茨海默病又添一力证!NLRP3 炎症小体激活引发 tau 蛋白异常
,Tau22 小鼠促炎因子相关基因(Jun,Fas 和 Toll 样受体)和染色质重构相关基因(Hdac2)存在相互作用,提示在 Tau 蛋白病早期,神经胶质细胞存在炎症表型和表观遗传层面的调控。同时,Tau22 小鼠胶质细胞存在明显形态学异常。图片来源:nature为进一步验证 NLRP3 炎症小体参与 tau 蛋白病的机制,研究人员分别构建了人细胞凋亡相关斑点样蛋白 Pycard 敲除(Tau22 /Asc−/−)和 Cias1 敲除(Tau22 /Nlrp3−/−)小鼠。实验结果表明 Tau22
技术资料暂无技术资料 索取技术资料
PYCARD Antibody抗体,orb631999,biorbyt
¥3120










