相关产品推荐更多 >
万千商家帮你免费找货
0 人在求购买到急需产品
- 详细信息
- 技术资料
- 库存:
大量
- 英文名:
Human Immunodeficiency Virus 1(HIV-1M-F)
- 保质期:
一年
- 供应商:
上海康朗生物科技有限公司
- 保存条件:
负20度
- 规格:
50次
人免疫缺陷病毒1型M群F型RT-PCR试剂盒
Human Immunodeficiency Virus 1(HIV-1M-F)
产品及特点
1. 即开即用,用户只需要提供DNA模板。
2. 引物经过精心优化,专一性强,只扩增人免疫缺陷病毒1型M群F型,与其他病原没有交叉反应。
3. 提供阳性对照,便于区分假阴性样品。
4. PCR mix 中含上样染料,PCR后可以直接上样电泳。
5. 本试剂盒足够做40μL体系的PCR 50次,但只能用于科研。
规格及成分
运输及保存 低温运输,-20℃保存,保存期限为一年。阳性对照需要单独放置,不要污染其他试剂。
自备试剂 样品 DNA。
使用方法 一、样品 DNA 的制备
1. 用自选方法纯化N+2个样品的DNA,本试剂盒跟市场上大多数核酸提取试剂盒兼容。可以选用本公司柱式病毒 DNAout。
2. 如果有N个样品,则需要做N+2个提取,包括一个样品制备阳性对照和一个样品制备阴性对照。样品制备阳性对照是在适量水(取决于试剂盒要求的样品起始量)中加 10μL 人免疫缺陷病毒1型M群F型 PCR 阳性对照的 1000 倍稀释液而得,样品制备阴性对照是直接用水。提取结束后最后得到模板 DNA 放冰上待用。
二、设置 PCR 反应(40μL 体系)
3. 对N+2个样品,在PCR时需要增加一个PCR阳性对照和一个PCR阴性
对照,故需要设置N+4个反应。在N+4个PCR管中分别加入下列成分:
三、电泳检测
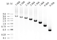
5. 取 10-20 μL PCR 产物。电泳检测PCR产物。本产品提供的PCR Mix在扩增结束后可以直接上样,不需要另外再加 loading buffer。PCR 产物阳性对照必须有 551bp 大小的条带出现,阴性对照必须无任何扩增,否则实验无效。对没有扩增产物的样品,可以稀释10倍后重复PCR扩增以排除PCR抑制剂的感染。
本试剂盒适用于各种 RNA制品的反转录反应以及随后的PCR扩增。它采用AMV进行反转录反应,能够获得更长的反转录产物。同时,在20ul反转录体系和50ul PCR反应体系中,还可以一次性得到足够量的PCR产物用于后续的克隆实验。本试剂盒中配置的酶均为进口的酶。RT酶采用进口的AMV,所以cDNA更长,基因的信息保留得更完整!反转录过程中特异的RNase抑制剂可有效降低由于外源RNase污染而导致实验失败的风险。本试剂盒使用方便、快捷,可广泛用于cDNA克隆及目的基因检测等分子生物学实验。
注意:
1. 本产品仅供科研使用。请勿用于医药、临床诊断或治疗,食品及化妆品等用途。请勿存放于普通住宅区。
2. 为了您的安全和健康,请穿好实验服并佩戴一次性手套和口罩操作。
特别提示:本公司的所有产品仅可用于科研实验,严禁用于临床医疗及其他非科研用途!
Human Immunodeficiency Virus 1(HIV-1M-F)
产品及特点
1. 即开即用,用户只需要提供DNA模板。
2. 引物经过精心优化,专一性强,只扩增人免疫缺陷病毒1型M群F型,与其他病原没有交叉反应。
3. 提供阳性对照,便于区分假阴性样品。
4. PCR mix 中含上样染料,PCR后可以直接上样电泳。
5. 本试剂盒足够做40μL体系的PCR 50次,但只能用于科研。
规格及成分
| 编号 | 成分 | 规格 |
| 试剂一 | 2×PCR MagicMix | 1 mL(红盖) |
| 试剂二 | 超纯水 | 1 mL(亮黄色) |
| 试剂三 | 人免疫缺陷病毒1型M群F型 PCR 引物混合液 | 100 μL(白盖) |
| 试剂四 | 人免疫缺陷病毒1型M群F型 PCR 阳性对照 (1×10E8 拷贝/μL) |
50 μL(黄盖) |
| 试剂五 | 使用手册 | 1 份 |
自备试剂 样品 DNA。
使用方法 一、样品 DNA 的制备
1. 用自选方法纯化N+2个样品的DNA,本试剂盒跟市场上大多数核酸提取试剂盒兼容。可以选用本公司柱式病毒 DNAout。
2. 如果有N个样品,则需要做N+2个提取,包括一个样品制备阳性对照和一个样品制备阴性对照。样品制备阳性对照是在适量水(取决于试剂盒要求的样品起始量)中加 10μL 人免疫缺陷病毒1型M群F型 PCR 阳性对照的 1000 倍稀释液而得,样品制备阴性对照是直接用水。提取结束后最后得到模板 DNA 放冰上待用。
二、设置 PCR 反应(40μL 体系)
3. 对N+2个样品,在PCR时需要增加一个PCR阳性对照和一个PCR阴性
对照,故需要设置N+4个反应。在N+4个PCR管中分别加入下列成分:
| 成份 | N+2 个 样品管 |
PCR 阴性 对照 |
PCR 阳性 对照 |
| PCR Magic Mix 3.0 | 各 20μL | 20μL | 20μL |
| 人免疫缺陷病毒1型M群F型PCR 引物混合液 | 各2μL | 2μL | 2μL |
| N+2个样品 DNA模板 |
各18μL | -- | -- |
| PCR 阴性对照(水) | -- | 18μL | -- |
| PCR 阳性对照(人免疫缺陷病毒1型M群F型PCR阳性对照1000倍稀释液) | -- | -- | 18μL |
- 按下表设置 PCR 反应:
| 过程 | 温度 | 时间 |
| 预变性 | 95℃ | 5 min |
| PCR 反应 (35 个循环) |
95℃ | 30 sec |
| 55℃ | 30 sec | |
| 72℃ | 40 sec | |
| 最后延伸 | 72℃ | 7 min |
5. 取 10-20 μL PCR 产物。电泳检测PCR产物。本产品提供的PCR Mix在扩增结束后可以直接上样,不需要另外再加 loading buffer。PCR 产物阳性对照必须有 551bp 大小的条带出现,阴性对照必须无任何扩增,否则实验无效。对没有扩增产物的样品,可以稀释10倍后重复PCR扩增以排除PCR抑制剂的感染。
本试剂盒适用于各种 RNA制品的反转录反应以及随后的PCR扩增。它采用AMV进行反转录反应,能够获得更长的反转录产物。同时,在20ul反转录体系和50ul PCR反应体系中,还可以一次性得到足够量的PCR产物用于后续的克隆实验。本试剂盒中配置的酶均为进口的酶。RT酶采用进口的AMV,所以cDNA更长,基因的信息保留得更完整!反转录过程中特异的RNase抑制剂可有效降低由于外源RNase污染而导致实验失败的风险。本试剂盒使用方便、快捷,可广泛用于cDNA克隆及目的基因检测等分子生物学实验。
注意:
1. 本产品仅供科研使用。请勿用于医药、临床诊断或治疗,食品及化妆品等用途。请勿存放于普通住宅区。
2. 为了您的安全和健康,请穿好实验服并佩戴一次性手套和口罩操作。
特别提示:本公司的所有产品仅可用于科研实验,严禁用于临床医疗及其他非科研用途!
风险提示:丁香通仅作为第三方平台,为商家信息发布提供平台空间。用户咨询产品时请注意保护个人信息及财产安全,合理判断,谨慎选购商品,商家和用户对交易行为负责。对于医疗器械类产品,请先查证核实企业经营资质和医疗器械产品注册证情况。
技术资料暂无技术资料 索取技术资料
人免疫缺陷病毒1型M群F型RT-PCR试剂盒
¥2990









