相关产品推荐更多 >
万千商家帮你免费找货
0 人在求购买到急需产品
- 详细信息
- 文献和实验
- 技术资料
- 免疫原:
Recombinant Human CD147 protein
- 亚型:
IgG2a
- 形态:
Liquid
- 保存条件:
Store as concentrated solution. Centrifuge briefly prior to opening vial. For short-term storage (1-2 weeks), store at 4ºC. For long-term storage, aliquot and store at -20ºC or below. Avoid multiple freeze-thaw cycles.
- 克隆性:
Monoclonal
- 标记物:
Unconjugated
- 适应物种:
Human
- 保质期:
12 months from the shipping date of the product.
- 抗原来源:
Human
- 目录编号:
GTX02142
- 级别:
Primary Antibodies
- 库存:
Available
- 供应商:
GeneTex
- 宿主:
Mouse
- 应用范围:
IHC-P
- 浓度:
Batch dependent (Please refer to the vial label for the specific concentration.)
- 靶点:
CD147
- 抗体英文名:
CD147 antibody [6H11C1]
- 抗体名:
CD147 抗体 [6H11C1]
- 规格:
100 μl
IHC-P analysis of human esophagus tissue section using GTX02142 CD147 antibody [6H11C1].
Dilution : 1:100
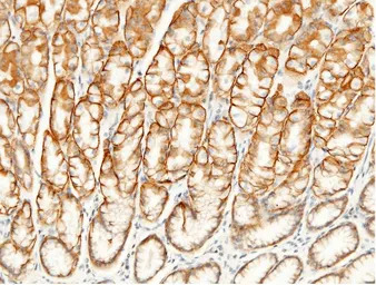
IHC-P analysis of human stomach tissue section using GTX02142 CD147 antibody [6H11C1].
Dilution : 1:60
IHC-P analysis of human gastric cancer tissue section using GTX02142 CD147 antibody [6H11C1].
Dilution : 1:100
风险提示:丁香通仅作为第三方平台,为商家信息发布提供平台空间。用户咨询产品时请注意保护个人信息及财产安全,合理判断,谨慎选购商品,商家和用户对交易行为负责。对于医疗器械类产品,请先查证核实企业经营资质和医疗器械产品注册证情况。
文献和实验Antibody Staining of Ovaries 1. Dissect ovaries in EBR 2. Transfer ovaries into an Eppendorf tube and add 100 µl devitellinizing buffer and 600-µl heptane 3. Agitate gently for 10 minutes
Aggregation of ES Cells and Eight Cell Stage Embryos
CaCl2.2H2O 0.024 MgCl2.6H2O 0.01 glucose 0.1 polyvinylpyrrolidone 0.4 Make
v468 Chapter 6 细胞内结肠腺瘤样息肉蛋白核定位以及细胞质检测
, and has characterized pathways for the trafficking of APC both into and out of the nucleus.Antibody specificity is an important factor in the determination of APC localization, and in this chapterwe outline a strategy for the unambiguous detection of APC using
技术资料暂无技术资料 索取技术资料







![MRPL42 antibody [3H6G11]](https://img1.dxycdn.com/2022/0328/957/3765259927533500453-14.jpg!wh200)


