相关产品推荐更多 >
万千商家帮你免费找货
0 人在求购买到急需产品
- 详细信息
- 文献和实验
- 技术资料
- 免疫原:
Recombinant Human WFDC2 / HE4 protein
- 亚型:
IgG
- 形态:
Liquid
- 保存条件:
Store as concentrated solution. Centrifuge briefly prior to opening vial. For short-term storage (1-2 weeks), store at 4ºC. For long-term storage, aliquot and store at -20ºC or below. Avoid multiple freeze-thaw cycles.
- 克隆性:
Monoclonal
- 标记物:
Unconjugated
- 适应物种:
Human
- 保质期:
12 months from the shipping date of the product.
- 抗原来源:
Human
- 目录编号:
GTX02131
- 级别:
Primary Antibodies
- 库存:
Available
- 供应商:
GeneTex
- 宿主:
Rabbit
- 应用范围:
IHC-P
- 浓度:
Batch dependent (Please refer to the vial label for the specific concentration.)
- 靶点:
We do not recommend use of this product for Rat.
- 抗体英文名:
HE4 antibody [404]
- 抗体名:
HE4 抗体 [404]
- 规格:
100 μl
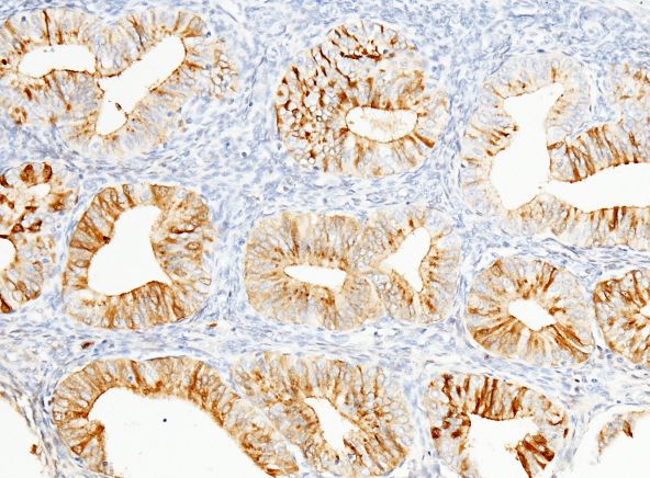
IHC-P analysis of human endometrium tissue section using GTX02131 HE4 antibody [404].
Dilution : 1:200
IHC-P analysis of human ovarian cancer (from 7 donors) tissue section using GTX02131 HE4 antibody [404].
Dilution : 1:200
风险提示:丁香通仅作为第三方平台,为商家信息发布提供平台空间。用户咨询产品时请注意保护个人信息及财产安全,合理判断,谨慎选购商品,商家和用户对交易行为负责。对于医疗器械类产品,请先查证核实企业经营资质和医疗器械产品注册证情况。
文献和实验for 60 minutes, wash cells3 twice with 100 ul PBS and once with PBS containing 0.1% NP404 . (Many cells are lost at this step.) Add primary antibodies5, 6 to each well in 30 ul of PBS plus 0.1% BSA (bovine serum albumin). Incubate overnight7 at 4o
Large-scale immunofluorescence
to a well on a polylysine coated 8-well slide for visualization. The protocol can also easily be adapted for preparing cells for immunofluorescence in microfuge tubes. The antibody cleanup protocol is now a seperate document Protocol Annotations refer to notes
to a well on a polylysine coated 8-well slide for visualization. The protocol can also easily be adapted for preparing cells for immunofluorescence in microfuge tubes. The antibody cleanup protocol is now a seperate document Protocol Annotations refer to notes
技术资料暂无技术资料 索取技术资料







![CD3 epsilon antibody [UCHT1] (Low endotoxin, azide free)](https://img1.dxycdn.com/2022/0328/068/7140455968504400453-14.jpg!wh200)



