相关产品推荐更多 >
万千商家帮你免费找货
0 人在求购买到急需产品
- 详细信息
- 文献和实验
- 技术资料
- 免疫原:
Recombinant Human S100A10 protein
- 亚型:
IgG1
- 形态:
Liquid
- 保存条件:
Store as concentrated solution. Centrifuge briefly prior to opening vial. For short-term storage (1-2 weeks), store at 4ºC. For long-term storage, aliquot and store at -20ºC or below. Avoid multiple freeze-thaw cycles.
- 克隆性:
Monoclonal
- 标记物:
Unconjugated
- 适应物种:
Human
- 保质期:
12 months from the shipping date of the product.
- 抗原来源:
Human
- 目录编号:
GTX02040
- 级别:
Primary Antibodies
- 库存:
Available
- 供应商:
GeneTex
- 宿主:
Mouse
- 应用范围:
IHC-P, FACS
- 浓度:
Batch dependent (Please refer to the vial label for the specific concentration.)
- 靶点:
S100A10
- 抗体英文名:
S100A10 antibody [03]
- 抗体名:
S100A10 抗体 [03]
- 规格:
100 μl
IHC-P analysis of human lung tissue section using GTX02040 S100A10 antibody [03].
Dilution : 1:60
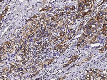
IHC-P analysis of human breast carcinoma tissue section using GTX02040 S100A10 antibody [03].
Dilution : 1:60
IHC-P analysis of human renal carcinoma tissue section using GTX02040 S100A10 antibody [03].
Dilution : 1:60
FACS analysis of HT-29 cells using GTX02040 S100A10 antibody [03].
The fluorescence histograms were derived from gated events with the forward and side light-scatter characteristics of intact cells.
风险提示:丁香通仅作为第三方平台,为商家信息发布提供平台空间。用户咨询产品时请注意保护个人信息及财产安全,合理判断,谨慎选购商品,商家和用户对交易行为负责。对于医疗器械类产品,请先查证核实企业经营资质和医疗器械产品注册证情况。
文献和实验Materials 0.1M NaHC03 pH9 DMSO NHS-Biotin (N-Hydroxysuccinimidobiotin, Sigma #H-1759) PBS Procedure Dialyze the sample against carbonate buffer. After dialysis, adjust
Biotinylation of Antibody Author: Nanci Donacki Source: Contributed by Nanci Donacki Materials
大学的Andrew Chalmers博士于2014年主导创立的,其号称是世界最大的抗体搜索引擎,该网站上包含了来自204个抗体供应商的近五百万个抗体,汇总了两百多万条抗体引用数据,并且该网站仍在不断更新最新的数据。输入关键词(如:CD3)后点击搜索即可出现所有符合条件的抗体,而该网站的特色是,搜索结果根据抗体被文献引用的次数排序,一般来说,引用越多的产品,质量往往越有保证。 03 Labome 网址:https://www.labome.com/ Labome(www.labome.com
技术资料暂无技术资料 索取技术资料





![CD3 antibody [KT3] (Low endotoxin, azide free)](https://img1.dxycdn.com/2022/0328/326/7356297273704400453-14.jpg!wh200)





