相关产品推荐更多 >
万千商家帮你免费找货
0 人在求购买到急需产品
- 详细信息
- 文献和实验
- 技术资料
- 免疫原:
Prokaryotic recombinant protein corresponding to the entire human calretinin molecule.
- 亚型:
IgG2a
- 形态:
Liquid
- 保存条件:
Store as concentrated solution. Centrifuge briefly prior to opening vial. Store at 4ºC. DO NOT FREEZE.
- 克隆性:
Monoclonal
- 标记物:
Unconjugated
- 适应物种:
Human
- 保质期:
12 months from the shipping date of the product.
- 抗原来源:
Human
- 目录编号:
GTX01973
- 级别:
Primary Antibodies
- 库存:
Available
- 供应商:
GeneTex
- 宿主:
Mouse
- 应用范围:
IHC-P
- 浓度:
>60 μg/ml (Please refer to the vial label for the specific concentration.)
- 靶点:
Calretinin
- 抗体英文名:
Calretinin antibody [CAL6]
- 抗体名:
Calretinin 抗体 [CAL6]
- 规格:
500 μl
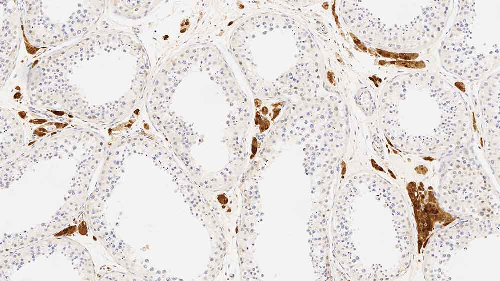
IHC-P analysis of human testes tissue using GTX01973 Calretinin antibody [CAL6]. Note cytoplasmic staining of Leydig cells.
风险提示:丁香通仅作为第三方平台,为商家信息发布提供平台空间。用户咨询产品时请注意保护个人信息及财产安全,合理判断,谨慎选购商品,商家和用户对交易行为负责。对于医疗器械类产品,请先查证核实企业经营资质和医疗器械产品注册证情况。
文献和实验上皮及间皮类常用标记抗体EPITHELIAL AND MESOTHELIAL MARKERSCK (MNF 116)- MNF-116 is a pan-cytokeratin antibody.- Source: Dakopatts.- Dilution 1:50.- Antigen retrieval method: HIER (pressure cooking) using EDTA.- Staining pattern: Cytoplasmic, typically
little dilution, e.g. 1:10; and smaller aliquots for antibodies that will be highly diluted, e.g. 1:5000). d. Label 500 l tubes with the antibody name, the dilution, and the date aliquoted; e.g., anti–calretinin, undiluted, 3/6/02. e. Aliquot
Simultaneous Detection of Multiple Cytokines in ELISPOT Assays
-backed Millipore 96-well plates. Several cell stimulations were also used, including Concanavalin A, Phorbol Myristate Acetate (PMA) and calcium ionophore (Cal), phytohemagglutinin, CD3e, and lipopolysaccharide. Biotinylated antibodies were used
技术资料暂无技术资料 索取技术资料







![Apolipoprotein M antibody [8F12C6B8]](https://img1.dxycdn.com/2022/0328/490/8568775162847500453-14.jpg!wh200)



