相关产品推荐更多 >
万千商家帮你免费找货
0 人在求购买到急需产品
- 详细信息
- 技术资料
- 免疫原:
Prokaryotic recombinant protein corresponding to the N-terminal external region of the E-Cadherin molecule.
- 亚型:
IgG1
- 形态:
Liquid
- 保存条件:
Store as concentrated solution. Centrifuge briefly prior to opening vial. Store at 4ºC. DO NOT FREEZE.
- 克隆性:
Monoclonal
- 标记物:
Unconjugated
- 适应物种:
Human
- 保质期:
12 months from the shipping date of the product.
- 抗原来源:
Human
- 目录编号:
GTX01965
- 级别:
Primary Antibodies
- 库存:
Available
- 供应商:
GeneTex
- 宿主:
Mouse
- 应用范围:
IHC-P
- 浓度:
>50 μg/ml (Please refer to the vial label for the specific concentration.)
- 靶点:
E-Cadherin
- 抗体英文名:
E-Cadherin antibody [36B5]
- 抗体名:
E-Cadherin 抗体 [36B5]
- 规格:
500 μl
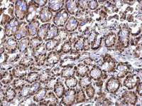
IHC-P analysis of invasive breast carcinoma tissue using GTX01965 E-Cadherin antibody [36B5]. Note the membrane and cytoplasmic staining of tumor cells.
风险提示:丁香通仅作为第三方平台,为商家信息发布提供平台空间。用户咨询产品时请注意保护个人信息及财产安全,合理判断,谨慎选购商品,商家和用户对交易行为负责。对于医疗器械类产品,请先查证核实企业经营资质和医疗器械产品注册证情况。
技术资料暂无技术资料 索取技术资料


![E-Cadherin antibody [36B5]](https://img1.dxycdn.com/2022/0328/775/9881597492918700453-14.jpg)


![Calcitonin antibody [4]](https://img1.dxycdn.com/2022/0329/895/1282898707577020453-14.jpg!wh200)
![CD45RA antibody [GT0014]](https://img1.dxycdn.com/2022/0329/531/0612332823665020453-14.jpg!wh200)
![HCN2 antibody [S71-37]](https://img1.dxycdn.com/2022/0328/513/0483567808014400453-14.jpg!wh200)


