相关产品推荐更多 >
万千商家帮你免费找货
0 人在求购买到急需产品
- 详细信息
- 文献和实验
- 技术资料
- 免疫原:
Recombinant human vWF fragment spanning around aa 845-949 (exact sequence is proprietary)
- 亚型:
IgG1
- 形态:
Liquid
- 保存条件:
Store as concentrated solution. Centrifuge briefly prior to opening vial. For short-term storage (1-2 weeks), store at 4ºC. For long-term storage, aliquot and store at -20ºC or below. Avoid multiple freeze-thaw cycles.
- 克隆性:
Monoclonal
- 标记物:
Unconjugated
- 适应物种:
Human
- 保质期:
12 months from the shipping date of the product.
- 抗原来源:
Human
- 目录编号:
GTX35166
- 级别:
Primary Antibodies
- 库存:
Available
- 供应商:
GeneTex
- 宿主:
Mouse
- 应用范围:
IHC-P
- 浓度:
0.2 mg/ml (Please refer to the vial label for the specific concentration.)
- 靶点:
VWF
- 抗体英文名:
VWF antibody [VWF635]
- 抗体名:
VWF 抗体 [VWF635]
- 规格:
100 μg
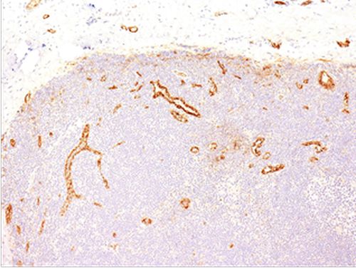
IHC-P analysis of human tonsil tissue using GTX35166 VWF antibody [VWF635].
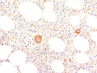
IHC-P analysis of human bone marrow tissue using GTX35166 VWF antibody [VWF635].
风险提示:丁香通仅作为第三方平台,为商家信息发布提供平台空间。用户咨询产品时请注意保护个人信息及财产安全,合理判断,谨慎选购商品,商家和用户对交易行为负责。对于医疗器械类产品,请先查证核实企业经营资质和医疗器械产品注册证情况。
文献和实验本实验用于vWD的诊断和分型,判断vWF多聚化程度。 (一)vWF抗原的测定 [方法及参考值] 1.Laurell免疫火箭电泳法:61.6%~126.6%。 2.单抗ELISA法:77.9%~137.1%。 3.ELISA法:0.46~1.58U/ml。 [临床意义] 1.vWF:Ag浓度减低,见于vWD,是诊断vWD的重要指标。 2.vWF:Ag浓度增高,见于剧烈运动后、肾上腺素受体被兴奋、妊娠
血管性假血友病因子(vWF)测定: 本实验用于vWD的诊断和分型,判断vWF多聚化程度。 (一)vWF抗原的测定 [方法及参考值] 1.Laurell免疫火箭电泳法:61.6%~126.6%. 2.单抗ELISA法:77.9%~137.1%. 3.ELISA法:0.46~1.58U/ml. [临床意义] 1.vWF:Ag浓度减低,见于vWD,是诊断vWD的重要指标。 2.vWF:Ag浓度增高,见于剧烈运动后、肾上
人血管假血友病因子 (vWF) 酶联免疫分析( ELISA ) 试剂盒使用说明书 本试剂仅供研究使用 目的:本试剂盒用于测定人血清,血浆及相关液体样本中血管假血友病因子 (vWF) 的 含量。 实验原理: 本试剂盒应用双抗体夹心法测定标本中人血管假血友病因子 (vWF) 水平。用纯化的人 vWF 抗体包被微孔板,制成固相抗体,往包被单抗的微孔中依次加入血管假血友病因子 (vWF
技术资料暂无技术资料 索取技术资料






![USP2 antibody [1738CT331.50.87]](https://custom.dxycdn.com/trademd/upload/pic/2013/11/12/A1383891150.jpg!small.t.1)




