相关产品推荐更多 >
万千商家帮你免费找货
0 人在求购买到急需产品
- 详细信息
- 文献和实验
- 技术资料
- 免疫原:
Prokaryotic recombinant protein containing 105 amino acids corresponding to a portion of the N-terminus of the human thyroid peroxidase molecule.
- 亚型:
IgG1
- 形态:
Liquid
- 保存条件:
Store as concentrated solution. Centrifuge briefly prior to opening vial. Store at 4ºC.
- 克隆性:
Monoclonal
- 标记物:
Unconjugated
- 适应物种:
Human
- 保质期:
12 months from the shipping date of the product.
- 抗原来源:
Human
- 目录编号:
GTX01955
- 级别:
Primary Antibodies
- 库存:
Available
- 供应商:
GeneTex
- 宿主:
Mouse
- 应用范围:
IHC-P
- 浓度:
Batch dependent (Please refer to the vial label for the specific concentration.)
- 靶点:
TPO
- 抗体英文名:
TPO antibody [AC25]
- 抗体名:
TPO 抗体 [AC25]
- 规格:
500 μl
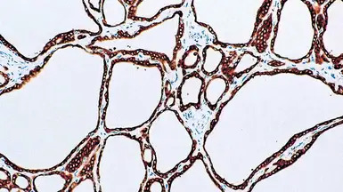
IHC-P analysis of thyroid, Graves' disease tissue using GTX01955 TPO antibody [AC25]. Note intense cytoplasmic staining of thyroid epithelial cells.
风险提示:丁香通仅作为第三方平台,为商家信息发布提供平台空间。用户咨询产品时请注意保护个人信息及财产安全,合理判断,谨慎选购商品,商家和用户对交易行为负责。对于医疗器械类产品,请先查证核实企业经营资质和医疗器械产品注册证情况。
文献和实验上海西唐生物科技有限公司 021-55229872, 65333639 www.westang.com 大鼠血小板生成素 (TPO)ELISA 试剂盒 ( 用于血清、血浆、细胞培养上清液和其它生物体液内 ) 原理 本实验采用双抗体夹心 ABC-ELISA 法。用抗大鼠 TPO ( Thrombopoietin ) 单抗包被于酶标板上,标准品和样品中的 TPO 与单抗结合,加入生物素化的抗大鼠 TPO
上海西唐生物科技有限公司 021-55229872, 65333639 www.westang.com 小鼠血小板生成素 (TPO)ELISA 试剂盒 ( 用于血清、血浆、细胞培养上清液和其它生物体液内 ) 原理 本实验采用双抗体夹心 ABC-ELISA 法。用抗小鼠 TPO( Thrombopoietin ) 单抗包被于酶标板上,标准品和样品中的 TPO与单抗
上海西唐生物科技有限公司 021-55229872, 65333639 www.westang.com 人血小板生成素 (TPO)ELISA 试剂盒 ( 用于血清、血浆、细胞培养上清液和其它生物体液内 ) 原理 本实验采用双抗体夹心 ABC-ELISA 法。用抗人 TPO( Thrombopoietin ) 单抗包被于酶标板上,标准品和样品中的 TPO与单抗结合
技术资料暂无技术资料 索取技术资料





![ALP / PDLIM3 antibody [C2C3], C-term](https://img1.dxycdn.com/2022/0328/924/6628753659886200453-14.jpg!wh200)





