相关产品推荐更多 >
万千商家帮你免费找货
0 人在求购买到急需产品
- 详细信息
- 文献和实验
- 技术资料
- 免疫原:
Recombinant prokaryotic protein corresponding to a portion of the N-terminal region of the retinoblastoma gene product.
- 亚型:
IgG1
- 形态:
Liquid
- 保存条件:
Store as concentrated solution. Centrifuge briefly prior to opening vial. Store at 4ºC.
- 克隆性:
Monoclonal
- 标记物:
Unconjugated
- 适应物种:
Human
- 保质期:
12 months from the shipping date of the product.
- 抗原来源:
Human
- 目录编号:
GTX01934
- 级别:
Primary Antibodies
- 库存:
Available
- 供应商:
GeneTex
- 宿主:
Mouse
- 应用范围:
WB, IHC-P, IHC-Fr
- 浓度:
Batch dependent (Please refer to the vial label for the specific concentration.)
- 靶点:
Rb
- 抗体英文名:
Rb antibody [13A10]
- 抗体名:
Rb 抗体 [13A10]
- 规格:
500 μl
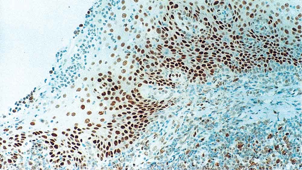
IHC-P analysis of human tonsil tissue using GTX01934 Rb antibody [13A10]. Note intense nuclear staining of epithelial cells.
风险提示:丁香通仅作为第三方平台,为商家信息发布提供平台空间。用户咨询产品时请注意保护个人信息及财产安全,合理判断,谨慎选购商品,商家和用户对交易行为负责。对于医疗器械类产品,请先查证核实企业经营资质和医疗器械产品注册证情况。
文献和实验T Hayashi et al., Pathol Int 2020 (PMID:32162763)
B Hinds et al., J Cutan Pathol 2017 (PMID:28543636)
K Bhatia et al., Int J Cancer 2010 (PMID:20041469)
Weiqiang Zhao et al., J Oncol 2012 (PMID:22619677)
PP Sedghizadeh et al., Head Neck 2006 (PMID:16320362)
上海西唐生物科技有限公司 021-55229872, 65333639 www.westang.com 人sCD13 (sCD13)ELISA 试剂盒 ( 用于血清、血浆、细胞培养上清液和其它生物体液内 ) 原理 本实验采用双抗体夹心 ABC-ELISA 法。用抗人 sCD13 单抗包被于酶标板上,标准品和样品中的 sCD13与单抗结合,加入生物素化的抗人 sCD13 ,形成
大鼠Caspase-13(Caspase-13)ELISA试剂盒 说明书
上海西唐生物科技有限公司 021-55229872, 65333639 www.westang.com 大鼠 Caspase-13(Caspase-13)ELISA 试剂盒 ( 用于血清、血浆、细胞培养上清液和其它生物体液内 ) 原理 本实验采用双抗体夹心 ABC-ELISA 法。用抗大鼠 Caspase-13 单抗包被于酶标板上,标准品和样品中的 Caspase-13 与单抗结合,加入生物素化的抗大
Buffer and save the flowthrough.(12) Wash with 6 ml Buffer A, 6 ml Buffer B, and 6 ml Buffer A. Hold at room temperature for 30 minutes.(13) Wash with 6 ml Buffer B, 6 ml Buffer A, and 6 ml Buffer B. Wash with Storage Buffer and hold at 4°C.(14) To purify
技术资料暂无技术资料 索取技术资料






![PSD95 antibody [7E3]](https://img1.dxycdn.com/2022/0328/953/4529123705304400453-14.jpg!wh200)

![Herpes virus 7 gH antibody [2]](https://img1.dxycdn.com/2022/0328/802/4933836119047700453-14.jpg!wh200)
![Interferon gamma antibody [XMG1.2] (Low endotoxin, azide free)](https://img1.dxycdn.com/2022/0329/227/0549815918264020453-14.jpg!wh200)

