相关产品推荐更多 >
万千商家帮你免费找货
0 人在求购买到急需产品
- 详细信息
- 文献和实验
- 技术资料
- 免疫原:
Human lymphocytes.
- 亚型:
IgG1
- 形态:
Liquid
- 保存条件:
Store as concentrated solution. Centrifuge briefly prior to opening vial. Store at 4ºC.
- 克隆性:
Monoclonal
- 标记物:
Unconjugated
- 适应物种:
Human
- 保质期:
12 months from the shipping date of the product.
- 抗原来源:
Human
- 目录编号:
GTX01920
- 级别:
Primary Antibodies
- 库存:
Available
- 供应商:
GeneTex
- 宿主:
Mouse
- 应用范围:
IHC-P, IHC-Fr
- 浓度:
>21.6 μg/ml (Please refer to the vial label for the specific concentration.)
- 靶点:
CD43
- 抗体英文名:
CD43 antibody [MT1]
- 抗体名:
CD43 抗体 [MT1]
- 规格:
500 μl
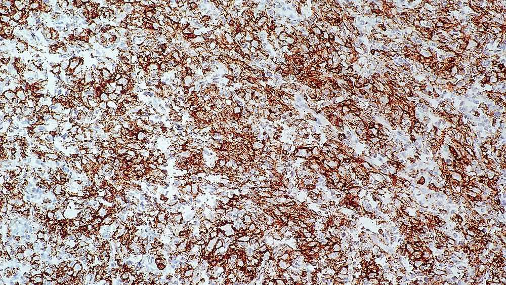
IHC-P analysis of diffuse large B cell lymphoma tissue using GTX01920 CD43 antibody [MT1]. Note the intense staining of malignant CD43: clone MT1
风险提示:丁香通仅作为第三方平台,为商家信息发布提供平台空间。用户咨询产品时请注意保护个人信息及财产安全,合理判断,谨慎选购商品,商家和用户对交易行为负责。对于医疗器械类产品,请先查证核实企业经营资质和医疗器械产品注册证情况。
文献和实验帮助确诊心脏粘液瘤,几乎全为(+) 白细胞标记 非何杰金淋巴瘤大致分类 CD20 (L26),CD3 怀疑T 细胞淋巴瘤者加UCHL-1(CD45RO) 怀疑浆细胞瘤者LCA(CD45RB),CD79a, CD138 小B 细胞淋巴瘤者,CD79a, CD43(MT1) LCA (CD45RB) 几乎所有的白细胞(+ ) 有些淋巴
技术资料暂无技术资料 索取技术资料





![GTF2H1 antibody [N1C1]](https://img1.dxycdn.com/2022/0328/371/7400110450009200453-14.jpg!wh200)

![Thymidylate synthase antibody [TMS715]](https://img1.dxycdn.com/2022/0328/645/8085219258611700453-14.jpg!wh200)
![SMC1 (phospho Ser957) antibody [GT1321]](https://img1.dxycdn.com/2022/0328/969/1698916584040800453-14.jpg!wh200)


