相关产品推荐更多 >
万千商家帮你免费找货
0 人在求购买到急需产品
- 详细信息
- 文献和实验
- 技术资料
- 免疫原:
Peripheral blood cells from a patient with T cell lymphoma.
- 亚型:
IgG1
- 形态:
Liquid
- 保存条件:
Store as concentrated solution. Centrifuge briefly prior to opening vial. Store at 4ºC. DO NOT FREEZE.
- 克隆性:
Monoclonal
- 标记物:
Unconjugated
- 适应物种:
Human
- 保质期:
12 months from the shipping date of the product.
- 抗原来源:
Human
- 目录编号:
GTX01850
- 级别:
Primary Antibodies
- 库存:
Available
- 供应商:
GeneTex
- 宿主:
Mouse
- 应用范围:
IHC-P, IHC-Fr
- 浓度:
Batch dependent (Please refer to the vial label for the specific concentration.)
- 靶点:
CD45
- 抗体英文名:
CD45 antibody [X16/99]
- 抗体名:
CD45 抗体 [X16/99]
- 规格:
500 μl
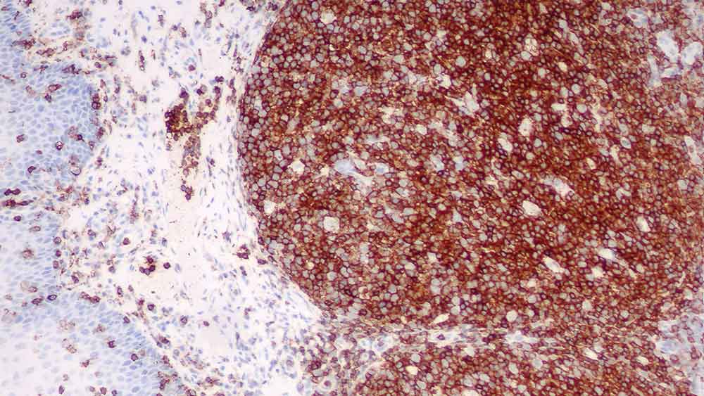
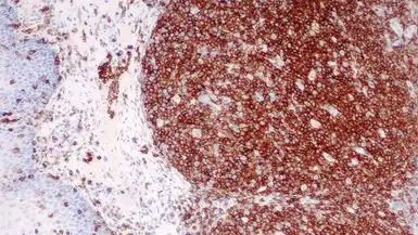
IHC-P analysis of human tonsil tissue using GTX01850 CD45 antibody [X16/99].
风险提示:丁香通仅作为第三方平台,为商家信息发布提供平台空间。用户咨询产品时请注意保护个人信息及财产安全,合理判断,谨慎选购商品,商家和用户对交易行为负责。对于医疗器械类产品,请先查证核实企业经营资质和医疗器械产品注册证情况。
文献和实验CD45/CD45RA/CD45RB/CD45RC/CD45RO
[NL] 分子质量(kDa)和结构: gp205- 220(含A外显子编码产物异型) 功 能: 调节信号传导 CD45RB 常用单克隆抗体或代号: PT17/26/16;(限制性LCA) 主要表达细胞: Tsub,B,M,Mac,G [NL] 分子质量(kDa)和结构: gp205- 220(含B外显子编码产物异型) 功 能: 调节信号传导 CD45RC 常用单克隆抗体或代号: (限制性LCA) 主要表达细胞: T,B [NL]
8.0) in clean 16x125mm polypropylene test tube. If needed, adjust pH to 8.0 using 0.5M carbonate buffer. 2. Prepare fresh, 1mg/mL of either NHS-FITC in DMSO or 1mg/mL NHS-LC-Biotin in DH2O. If FITC coupling, add 75uL of FITC/DMSO solution to Antibody
8.0) in clean 16x125mm polypropylene test tube. If needed, adjust pH to 8.0 using 0.5M carbonate buffer. 2. Prepare fresh, 1mg/mL of either NHS-FITC in DMSO or 1mg/mL NHS-LC-Biotin in DH2O. If FITC coupling, add 75uL of FITC/DMSO solution to Antibody
技术资料暂无技术资料 索取技术资料






![Syntenin 1 antibody [3D9-G9-H4]](https://img1.dxycdn.com/2022/0329/839/1964455159094020453-14.jpg!wh200)

![Tubulin (Acetyl Lys40) antibody [6-11B-1]](https://img1.dxycdn.com/2022/0328/845/1532026275737300453-14.jpg!wh200)

