相关产品推荐更多 >
万千商家帮你免费找货
0 人在求购买到急需产品
- 详细信息
- 文献和实验
- 技术资料
- 库存:
18
- 英文名:
phi29 2.0 DNA Polymerase
- 保质期:
1年
- 供应商:
上海泽叶生物科技有限公司
- 保存条件:
-20
- 规格:
500U/10KU
| phi29 DNA 聚合酶是从嗜热脂肪芽孢杆菌Bacillus subtilis噬菌体phi29中克隆出的嗜温(30℃)DNA聚合酶,它具有特殊的链置换和连续合成特性,可连续合成长达70kb的DNA片段。phi29 2.0 DNA 聚合酶是phi29 DNA聚合酶的改造体,并经多次纯化分离而得。在保留了phi29 DNA聚合酶的链置换、连续合成特性(>70kb)的基础上,提高了滚环扩增的反应温度,phi29 2.0 DNA 聚合酶可以在42℃条件下持续的进行DNA合成(而phi29 DNA 聚合酶在此温度下反应活性很低)。 这种高温的反应特性,具有以下优势:(1)在NGS测序中,其提升了高GC含量、回文结构等复杂模板的延伸能力,使得NGS的覆盖度更均一,降低测序所需深度;(2)高温的反应条件,提升了WGA产物的合成量(2-5倍),并缩短扩增时间(1~2h完成建库扩增);(3)降低测序中Gap区域,提升单细胞测序的数据质量和完整度;(4)降低非特异性扩增产物;(5)提升MDA/RCA等实验的扩增性能和特异性。 此外,该酶仍然具有很强的3’→5’外切酶校读功能,合成的DNA片段保真性高。该酶的外切酶活性较强,因此合成过程中引物需要3’端硫代修饰,以降低外切活性对引物的切割效应。 |
||
主要特征 |
||
|
||
应用 |
||
|
||
储存 |
||
| -20℃可保存3年。 | ||
注意事项 |
||
| 1. 1×phi29 Buffer:50 mM Tris-HCl pH 7.5,10 mM MgCl2,10 mM (NH4)2S04,4 mM DTT。必要时可单独额外添加终浓度1 mM DTT和0.2 mg/ml BSA,可提高反应效率。 2. 65℃ 10min即可使该酶失活。 3. 根据实验类型需要,调整dNTP的浓度100~500 μM。 4. 添加Yeast Pyrophosphatase(货号:C5006)可提高DNA产量。 5. 反应引物3’端的硫代修饰可避免引物降解。 |
||
实例 |
||
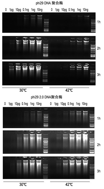
| 用硫代修饰的6N随机引物和两种phi29 DNA聚合酶分别在30°C和42°C对不同量的pUC57质粒进行扩增,结果如下图;由图可见,phi29 2.0 DNA聚合酶在42°C条件下2h即可完成扩增,且产量相对较高。 | ||
![]() |
风险提示:丁香通仅作为第三方平台,为商家信息发布提供平台空间。用户咨询产品时请注意保护个人信息及财产安全,合理判断,谨慎选购商品,商家和用户对交易行为负责。对于医疗器械类产品,请先查证核实企业经营资质和医疗器械产品注册证情况。
文献和实验DNA Sequencing Using Sequenase Version 2.0 T7 DNA Polymerase
The dideoxy chain-termination method of DNA sequence analysis involves the synthesis of a DNA strand by enzymatic extension from a specific primer using a DNA polymerase (1 ). Several different enzymes are available for this purpose, each having
otherwise. Multiply primed rolling circle amplification (MPRCA) and multiple displacement amplification (MDA) methods are based on the same principle. The DNA amplification is non-PCR based and uses Φ29 DNA polymerase and random hexamer primers for unbiased
We report a simple homogeneous fluorescence assay for quantification of DNA polymerase function in high throughput. The fluorescence signal is generated by the DNA polymerase triggering opening of a molecular beacon extension of the template
技术资料暂无技术资料 索取技术资料











