相关产品推荐更多 >
万千商家帮你免费找货
0 人在求购买到急需产品
- 详细信息
- 文献和实验
- 技术资料
- 库存:
18
- 英文名:
2×RAPA3G全能PCR Mix
- 保质期:
1年
- 供应商:
上海泽叶生物科技有限公司
- 保存条件:
-20
- 规格:
1ml/10ml
2×RAPA3G全能PCR Mix
| RAPA3G DNA聚合酶为经电子重构架的第三代Taq DNA聚合酶,第三代DNA聚合酶具有高度的杂质耐受性、长片段扩增能力、高扩增成功率、高产量等特征,从而使得RAPA3G系列产品可用于粗制样品的直接扩增,无需核酸纯化步骤。杂质耐受性方面,该酶可耐受植物中的多糖多酚;全血、血清、血浆中的肝素、高浓度的血红蛋白、甘油三脂;乙醇;胍盐;SDS等强PCR抑制剂。在血液直扩PCR实验中,RAPA3G PCR Mix性能与KAPA3G DNA聚合酶展现出同等的表现,其性能表现优于二代聚合酶(血液扩增Hemo KlenTaq Mix)。在植物直扩PCR实验中,RAPA3G PCR Mix在配合DNA释放剂的条件下与KAPA3G Plant PCR试剂盒性能一致。 长片段扩增能力方面,使用该酶可轻松扩增8kb的基因组片段,20kb的λ DNA,8kb的cDNA。该酶具有6kb/min以上的扩增速度,可显著的缩短PCR的扩增时间,在常规测试条件下,10s的延伸时间可完成1kb的基因组DNA扩增。在PCR扩增成功率方面,与其它类型的PCR扩增试剂对比中,RAPA3G PCR Mix表现出卓越的PCR扩增成功率。此外,该酶包含一定比例的RAPA HiFi超保真DNA聚合酶,因此其具有一定的保真性能(经蓝白斑测试,其保真性能约为Taq DNA聚合酶的56倍)。另外,RAPA3G系列产品均采用信裕生物专有的热启动技术,确保50°C以下完全无活性,仅有95°C加热5min以后才能恢复其活性,因此可最大限度的提高扩增的特异性,减少非特异性产物的产生。该PCR Mix具有5'-3'的聚合酶活性、5'-3'的外切酶活性和3'-5'的外切酶活性,产物部分带有"A"尾巴,部分为平末端,因此产物均可用于TA克隆或平端克隆。 |
||||||||||||||||||||||||||
特征和用途 |
||||||||||||||||||||||||||
|
||||||||||||||||||||||||||
RAPA3G DNA聚合酶对抑制物耐受性 |
||||||||||||||||||||||||||
|
||||||||||||||||||||||||||
50μl体积建议添加的样品量 |
||||||||||||||||||||||||||
|
||||||||||||||||||||||||||
储存 |
||||||||||||||||||||||||||
| 长期储存置于-20°C以下,可保存2年,避免反复冻融;短期使用置于4°C(3个月)保存,一经融化后请放置于4°C,勿再冻存。 | ||||||||||||||||||||||||||
反应实例 |
||||||||||||||||||||||||||
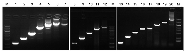
| 1. 模板适应性强,长片段和短片段都可有效扩增 | ||||||||||||||||||||||||||
![]() |
||||||||||||||||||||||||||
| Lane 1:λDNA 500bp, 2:λDNA 1kb, 3:λDNA 2kb, 4:λDNA 5kb, 5:λDNA 8kb, 6:λDNA 15kb, 7:λDNA 20kb, 8:human 500bp ,9:human 1kb, 10:human 2kb ,11:human 5kb, 12:human 8kb, 13:cDNA 166bp, 14:cDNA 552bp, 15:cDNA 960bp, 16:cDNA 1574bp, 17:cDNA 1705bp, 18:cDNA 2755b,p 19:cDNA 4128bp, 20:cDNA 7600bp, M:DNA Marker 10000 | ||||||||||||||||||||||||||
| 选取三种DNA模板,使用RAPA3G PCR Mix进行扩增,循环数统一为28 cycles,结果如上图所示,对于不同种类DNA模板和不同长度的靶基因,RAPA3G PCR Mix均有良好的扩增性能。 | ||||||||||||||||||||||||||
| 2. 对于粗制样品DNA具有极强的耐受性 | ||||||||||||||||||||||||||
![]() |
||||||||||||||||||||||||||
| 分别以人全血、血清、叶片粗制品DNA以及大豆种子粗制品DNA为模板,使用RAPA3G PCR Mix进行PCR扩增,结果如上图展示,各种粗制样品都有良好的扩增,其中全血和血清可耐受15%。 | ||||||||||||||||||||||||||
| 3.扩增灵敏度高,λDNA模板低至0.1pg也可以有效扩增 | ||||||||||||||||||||||||||
![]() |
||||||||||||||||||||||||||
| 以λDNA为模板,选取不同模板使用量,采用RAPA3G PCR Mix进行扩增2kb靶基因,循环数统一为28 cycles,结果如上图所示,λDNA模板低至0.1pg也可以有效扩增 | ||||||||||||||||||||||||||
特别提示:本公司的所有产品仅可用于科研实验,严禁用于临床医疗及其他非科研用途!
风险提示:丁香通仅作为第三方平台,为商家信息发布提供平台空间。用户咨询产品时请注意保护个人信息及财产安全,合理判断,谨慎选购商品,商家和用户对交易行为负责。对于医疗器械类产品,请先查证核实企业经营资质和医疗器械产品注册证情况。
文献和实验Applying the Marketing Mix (5 Ps) to Bionanotechnology
This chapter, based on concepts developed for my book, NanoInnovation (Tomczyk, Nanoinnovation: What Every Manager Needs to Know, 2011), is one of the first attempts to evaluate nanotechnology in the context of the “marketing mix” –
用ReadyMixTM PCR Reaction Mix进行拟南芥SSLP
用ReadyMix TM PCR Reaction Mix 进行拟南芥SSLP (32 个样品+3 个对照) 一、PCR 采用SIGMA REDTaq® ReadyMixTM PCR Reaction Mix提供的 试剂 (包括20 mM Tris-HCl, pH 8.3, 100 mM KCl, 3 mM MgCl2, 0.002% gelatin, 0.4 M dNTP
Ways to Mix Multiple PCR Amplicons into Single 454 Run for DNA Barcoding
, we describe the use of MID adapters to mix multiple PCR amplicons into a single 454 run. This strategy is rather easy to use and up to 132 samples can be multiplexed into a single 454 run. If a large number of samples are going to be mixed into a single 454 run
技术资料暂无技术资料 索取技术资料












