相关产品推荐更多 >
万千商家帮你免费找货
0 人在求购买到急需产品
- 详细信息
- 文献和实验
- 技术资料
- 供应商:
上海泽叶生物科技有限公司
- 库存:
100
- 靶点:
见说明书
- 级别:
高
- 目录编号:
ZY93375
- 克隆性:
多克隆
- 抗原来源:
多抗制备
- 保质期:
2年
- 抗体英文名:
TMEM39A
- 抗体名:
TMEM39A
- 标记物:
无标记物
- 宿主:
小鼠
- 适应物种:
Human. Predicted: Rat, Mus. Other species not tested.
- 免疫原:
详见说明书
- 亚型:
Ig亚型IgG
- 形态:
液体或冻干粉
- 应用范围:
见说明书
- 保存条件:
-20°C
- 浓度:
0.5mg/ml
- 规格:
50ul/100ul /200ul
| 规格: | 50ul | 产品价格: | ¥1050.0 |
|---|---|---|---|
| 规格: | 100ul | 产品价格: | ¥1500.0 |
| 规格: | 200ul | 产品价格: | ¥2300.0 |
| Catalog No | ZY93375 |
|---|---|
| Species Reactivity | Human. Predicted:Rat, Mus. Other species not tested. |
| Immunogen | Recombinant fragment corresponding to 7-71aa of human TMEM39A. |
| GeneBank No. | BC003192 |
| Alternative Names | |
| Purification | Purified by antigen affinity column. |
| Isotype | IgG |
| Formulation | Lyophilized power with 1% BSA and 0.02% NaN3. Or dissolved in sterile H2O with 50% glycerol. |
| Concentration | 0.5mg/ml |
| Applications | |
|---|---|
| ELISA | 1:20,000-1:80,000 |
| Immunohistochemistry | 1:100-1:500 |
| Western blot | 1:200-1:1,000 |
| For research use only. Optimal dilutions/concentrations should be determined by the final use. | |
| DATA | |||
|---|---|---|---|
|
|||
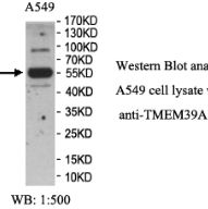
| Observed Molecular Weight | 55KD | ||
| PREPARATION AND STORAGE | |
|---|---|
| Reconstitution | If lyophilized, reconstitute in indicated volume of sterile H2O. For extended storage, we suggest the addition of an equal volume of glycerol to make a final glycerol concentration of 50%. |
| Storage | Shipped at ambient temperature or with ice bags if in liquid. Store immediately at-20°C upon receipt. Avoid repeating freeze-thaw cycles. |
风险提示:丁香通仅作为第三方平台,为商家信息发布提供平台空间。用户咨询产品时请注意保护个人信息及财产安全,合理判断,谨慎选购商品,商家和用户对交易行为负责。对于医疗器械类产品,请先查证核实企业经营资质和医疗器械产品注册证情况。
文献和实验Generation of Antibody Molecules Through Antibody Engineering
been overcome to a large extent using genetic-engineering techniques to produce chimeric mouse/human and completely human antibodies. Such an approach is particularly suitable because of the domain structure of the antibody molecule ( 2 ), where functional
The importance of antibody molecules was first recognized in the 1890s, when it was shown that immunity to tetanus and diphtheria was caused by antibodies against the bacterial exotoxins (1 ). Around the same time, it was shown that antisera
General comments: Antibodies, like most proteins, do not like to be freeze-thawed. Avoid repetitive freezing of your solution. The best way to store your antibody is to keep a high protein concentration (>1 mg/ml), add some protease
技术资料暂无技术资料 索取技术资料












