
非连接酶依赖型单片段快速克隆试剂盒 ClonExpress
II One Step Cloning Kit(C112)万千商家帮你免费找货
0 人在求购买到急需产品
- 详细信息
- 用户评价
- 文献和实验
- 技术资料
- 英文名:
ClonExpress® II One Step Cloning Kit
- 库存:
大量
- 供应商:
南京诺唯赞生物科技有限公司
- 保存条件:
- 30℃~-15℃保存
- 规格:
25 rxns/50 rxns
| 规格: | 25 rxns | 产品价格: | ¥600.0 |
|---|---|---|---|
| 规格: | 50 rxns | 产品价格: | ¥1000.0 |
ClonExpress II One Step Cloning Kit
非连接酶依赖型的单片段一步法克隆试剂盒

快速克隆;高通量克隆;无缝克隆;DNA定点突变;双链DNA与载体组装

· 简单、快速、高效,适用于任何载体
· 无需考虑插入片段携带的酶切位点
· 可高效克隆 50 bp-10 kb 的 DNA 片段
· 线性化克隆载体和 PCR 产物可不纯化直接克隆
· 无连接酶,无自连,阳性率 >95%
· 提供在线引物设计软件

1.克隆效率高

图1
重组产物转化后平板上一般可形成数千个单克隆,而无插入片段的阴性对照反应转化后只有数个单克隆形成。因此ClonExpress 系统的自连背景会大大降低连接酶依赖的克隆方式。
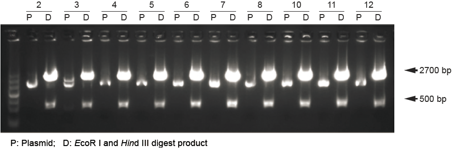
2.克隆阳性率95%以上

图2
鉴定酶切结果表明,克隆阳性率可达95%以上。

本试剂盒基于简单、快速、高效的DNA无缝克隆技术,可将插入片段定向克隆至任意载体的任意位点的。试剂盒独特的非连接酶依赖体系降低了载体自连背景;高度优化的反应缓冲液及增强的重组酶提高了克隆的重组效率与对杂质的耐受度,仅需反应30 min即可进行转化,完成定向克隆,阳性率可达95%以上。



- 30℃~-15℃保存
C112
风险提示:丁香通仅作为第三方平台,为商家信息发布提供平台空间。用户咨询产品时请注意保护个人信息及财产安全,合理判断,谨慎选购商品,商家和用户对交易行为负责。对于医疗器械类产品,请先查证核实企业经营资质和医疗器械产品注册证情况。
用户评价
暂无用户评价
文献和实验immediately in a TA Cloning® or TOPO TA Cloning® reaction. If you wish to store your reaction, continue to Step 4. 4. Extract reaction immediately with an equal volume of phenol-chloroform. This removes all of the polymerases. 5. Precipitate the DNA
Combined 3C-ChIP-Cloning (6C) Assay: A Tool to Unravel Protein-Mediated Genome Architecture
of 3C-Ligated Immunoprecipitated Fragments 46. Using standard cloning protocols, clone the 3C-ChIP products (from Step 44) into a vector that has enzyme overhangs similar to those generated in the 3C assay. This step typically
Cloning of Taq polymerase-amplified PCR products
实验原理 The plasmid vector (pCR®II-TOPO® or pCR®2.1-TOPO®) is supplied linearized with: Single 3´-thymidine (T) overhangs for TA Cloning® Topoisomerase I covalently bound to the vector (referred to as "activated









