相关产品推荐更多 >
万千商家帮你免费找货
0 人在求购买到急需产品
- 详细信息
- 文献和实验
- 技术资料
- 免疫原:
KLH conjugated synthetic peptide derived from human Integrin Alpha V + Beta 3.
- 亚型:
IgG
- 形态:
Liquid
- 保存条件:
Store as concentrated solution. Centrifuge briefly prior to opening vial. For short-term storage (1-2 weeks), store at 4ºC. For long-term storage, aliquot and store at -20ºC or below. Avoid multiple freeze-thaw cycles.
- 克隆性:
Polyclonal
- 标记物:
Unconjugated
- 适应物种:
Human, Mouse, Rat
- 保质期:
12 months from the shipping date of the product.
- 抗原来源:
Human
- 目录编号:
GTX01084
- 级别:
Primary Antibodies
- 库存:
Available
- 供应商:
GeneTex
- 宿主:
Rabbit
- 应用范围:
WB, ICC/IF, IHC-P, IHC-Fr, FACS
- 浓度:
1 mg/ml (Please refer to the vial label for the specific concentration.)
- 靶点:
Integrin alpha V + beta 3
- 抗体英文名:
Integrin alpha V + beta 3 antibody
- 抗体名:
Integrin alpha V + beta 3 抗体
- 规格:
100 μl
WB analysis of HUVEC cells using GTX01084 Integrin alpha V + beta 3 antibody.
Dilution : 1:300
FACS analysis of U937 cells using GTX01084 Integrin alpha V + beta 3 antibody.
Green : Primary antibody
Blue : Cell only control
Light Blue : Secondary antibody only control
Orange : Isotype control
Antibody amount : 0.2μg
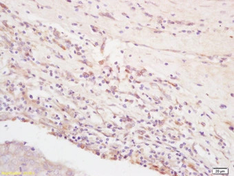
IHC-P analysis of rat brain tissue using GTX01084 Integrin alpha V + beta 3 antibody.
Dilution : 1:200
FACS analysis of MCF-7 cells using GTX01084 Integrin alpha V + beta 3 antibody.
Green : Primary antibody
Blue : Isotype control
Dilution : 1:100
风险提示:丁香通仅作为第三方平台,为商家信息发布提供平台空间。用户咨询产品时请注意保护个人信息及财产安全,合理判断,谨慎选购商品,商家和用户对交易行为负责。对于医疗器械类产品,请先查证核实企业经营资质和医疗器械产品注册证情况。
文献和实验v468. chapter 4 WNT 细胞通路 检测细胞GSK3活性与表达水平
consists of 5% (w/v) dried skim milk in Trisbufferedsaline/Tween-20 (TBS-T) buffer (50 mM Tris-HCl,pH 7.5, 150 mM NaCl, and 0.05% (v/v) Tween-20). 4. All antibodies are diluted 1:1,000 in 1% (w/v) dried skim milkin TBS-T, except the CRMP2 antibody (1:250
V294.PART II,Chapter 5 细胞粘附实验(英文版)
, C., Chung, A. E., and McDonald, J. A. (1995) A novel role for alpha 3 beta 1integrins in extracellular matrix assembly. J. Cell Sci. 108, 2511–2523. 9. Lotz, M. M., Burdsal, C. A., Erickson, H. P., and McClay, D. R. (1989) Celladhesion
β亚单位,除α7和αIEL外,其它粘合素分子亚单位均已基因克隆成功。α亚单位和β亚单位组合构成粘合素分子并不是随机的,多数α亚单位只能与一种β亚单位结合构成异源双体,但也有的α亚单位可与几种不同的β亚单位组合,如αV(CD51)可分别同β1、β3、β5、β6和β8亚单位组成integrin分子,而大部分β单位则可以结合数种不同
技术资料暂无技术资料 索取技术资料








![Shh antibody [5H4]](https://img1.dxycdn.com/2022/0328/433/6051225017623500453-14.jpg!wh200)

