相关产品推荐更多 >
万千商家帮你免费找货
0 人在求购买到急需产品
- 详细信息
- 文献和实验
- 技术资料
- 免疫原:
Human Influenza B Virus strain Nagasaki/1/87, one of the strains of B/Victoria group
- 亚型:
IgG2a, Kappa
- 形态:
Liquid
- 保存条件:
Store as concentrated solution. Centrifuge briefly prior to opening vial. For short-term storage (1-2 weeks), store at 4℃. For long-term storage, aliquot and store at -20℃ or below. Avoid multiple freeze-thaw cycles.
- 克隆性:
Monoclonal
- 标记物:
Unconjugated
- 适应物种:
Influenza B virus
- 保质期:
12 months from the shipping date of the product.
- 抗原来源:
Influenza B virus
- 目录编号:
GTX00860
- 级别:
Primary Antibodies
- 库存:
Available
- 供应商:
GeneTex
- 宿主:
Mouse
- 应用范围:
WB, ICC/IF, IP, ELISA, Hemagglutinin inhibition, Neutralizing/Inhibition
- 浓度:
1 mg/ml(Please refer to the vial label for the specific concentration.)
- 靶点:
Influenza B virus Hemagglutinin (HA)
- 抗体英文名:
Influenza B virus Hemagglutinin (HA) antibody [10B8]
- 抗体名:
Influenza B virus Hemagglutinin (HA) 抗体 [10B8]
- 规格:
100 μg
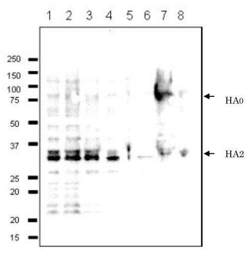
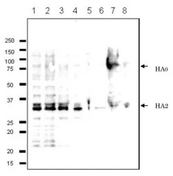
WB analysis of MDCK cells infected with various Influenza B virus strains using GTX00860 Influenza B Virus Hemagglutinin (HA) antibody [10B8]. This antibody recognizes an epitope on HA2 region.
Lane 1 : B/Mie/1/1993
Lane 2 : B/Johannes Burg/5/1999
Lane 3 : B/Florida/4/2006
Lane 4 : B/Lee/1940
Lane 5 : B/Florida/4/2006
Lane 6 : Shandong/7/97
Lane 7 : B/Malasia/2506/2004
Lane 8 : B/Massachusetts/2/2012
Dilution : 1:500
ICC/IF analysis of MDCK cells were infected with Influenza B virus (B/Malasia/2506/2004, B/Florida/4/2006) using GTX00860 Influenza B Virus Hemagglutinin (HA) antibody [10B8].
Fixation : 4% PFA in PBS
Permeabilization : 0.1% Triton X-100 in PBS
风险提示:丁香通仅作为第三方平台,为商家信息发布提供平台空间。用户咨询产品时请注意保护个人信息及财产安全,合理判断,谨慎选购商品,商家和用户对交易行为负责。对于医疗器械类产品,请先查证核实企业经营资质和医疗器械产品注册证情况。
文献和实验and production of vaccine. Since influenza is caused by a zoonotic virus it is necessary to do surveillance in the reservoir species (aquatic waterfowls), intermediate hosts (quails, pigs), and in affected mammals including humans. Two of the hemagglutinin (HA
A Brief Introduction to the Avian Influenza Virus
in [1 ]). Type A influenza strains are classified by the serological subtypes of the primary viral surface proteins, the hemagglutinin (HA) and neuraminidase (NA). The HA has 16 subtypes (H1–H16) and contains neutralizing epitopes. Antibodies against the NA
The hemagglutination-inhibition (HI) assay is a classical laboratory procedure for the classification or subtyping of hemagglutinating viruses. For the avian influenza (AI) virus, the HI assay is used to identify the hemagglutinin (H) subtype
技术资料暂无技术资料 索取技术资料









![Apolipoprotein E antibody [E887] (Biotin)](https://img1.dxycdn.com/2022/0328/355/3448541391400800453-14.jpg!wh200)

