相关产品推荐更多 >
万千商家帮你免费找货
0 人在求购买到急需产品
- 详细信息
- 技术资料
- 免疫原:
Human Influenza B Virus strain Nagasaki/1/87, one of the strains of B/Victoria group
- 亚型:
IgG2a, Kappa
- 形态:
Liquid
- 保存条件:
Store as concentrated solution. Centrifuge briefly prior to opening vial. For short-term storage (1-2 weeks), store at 4℃. For long-term storage, aliquot and store at -20℃ or below. Avoid multiple freeze-thaw cycles.
- 克隆性:
Monoclonal
- 标记物:
Unconjugated
- 适应物种:
Influenza B virus
- 保质期:
12 months from the shipping date of the product.
- 抗原来源:
Influenza B virus
- 目录编号:
GTX00860
- 级别:
Primary Antibodies
- 库存:
Available
- 供应商:
GeneTex
- 宿主:
Mouse
- 应用范围:
WB, ICC/IF, IP, ELISA, Hemagglutinin inhibition, Neutralizing/Inhibition
- 浓度:
1 mg/ml(Please refer to the vial label for the specific concentration.)
- 靶点:
Influenza B virus Hemagglutinin (HA)
- 抗体英文名:
Influenza B virus Hemagglutinin (HA) antibody [10B8]
- 抗体名:
Influenza B virus Hemagglutinin (HA) 抗体 [10B8]
- 规格:
100 μg
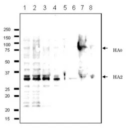
WB analysis of MDCK cells infected with various Influenza B virus strains using GTX00860 Influenza B Virus Hemagglutinin (HA) antibody [10B8]. This antibody recognizes an epitope on HA2 region.
Lane 1 : B/Mie/1/1993
Lane 2 : B/Johannes Burg/5/1999
Lane 3 : B/Florida/4/2006
Lane 4 : B/Lee/1940
Lane 5 : B/Florida/4/2006
Lane 6 : Shandong/7/97
Lane 7 : B/Malasia/2506/2004
Lane 8 : B/Massachusetts/2/2012
Dilution : 1:500
ICC/IF analysis of MDCK cells were infected with Influenza B virus (B/Malasia/2506/2004, B/Florida/4/2006) using GTX00860 Influenza B Virus Hemagglutinin (HA) antibody [10B8].
Fixation : 4% PFA in PBS
Permeabilization : 0.1% Triton X-100 in PBS
风险提示:丁香通仅作为第三方平台,为商家信息发布提供平台空间。用户咨询产品时请注意保护个人信息及财产安全,合理判断,谨慎选购商品,商家和用户对交易行为负责。对于医疗器械类产品,请先查证核实企业经营资质和医疗器械产品注册证情况。
技术资料暂无技术资料 索取技术资料


![Influenza B virus Hemagglutinin (HA) antibody [10B8]](https://img1.dxycdn.com/2023/0711/451/6106825198874858761-14.jpg)




![RBBP5 antibody [N1N3]](https://img1.dxycdn.com/2023/0516/045/6925717576889828561-14.jpg!wh200)
