万千商家帮你免费找货
0 人在求购买到急需产品
- 详细信息
- 技术资料
- 品系:
原代细胞
- 细胞类型:
原代细胞
- 肿瘤类型:
详见说明书
- 供应商:
上海信裕生物科技有限公司
- 库存:
10
- 英文名:
人胃癌组织源细胞
- 生长状态:
详见说明书
- 年限:
永久
- 运输方式:
干冰运输
- 器官来源:
胃
- 是否是肿瘤细胞:
详见说明书
- 细胞形态:
详见说明书
- 免疫类型:
详见说明书
- 物种来源:
人
- 相关疾病:
详见说明书
- 组织来源:
胃癌组织源
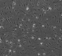
人胃癌组织源细胞
特别提示:本公司的所有产品仅可用于科研实验,严禁用于临床医疗及其他非科研用途!
特别提示:本公司的所有产品仅可用于科研实验,严禁用于临床医疗及其他非科研用途!
细胞简介:
胃癌(gastric carcinoma)是起源于胃黏膜上皮的恶性肿瘤,在各种恶性肿瘤中发病率居首位,胃癌发病有明显的地域性差别。由于饮食结构的改变、工作压力增大以及幽门螺杆菌的感染等原因,使得胃癌呈现年轻化倾向。组织病理学分类可分为腺癌、腺鳞癌、鳞癌、类癌等,绝大多数是胃腺癌。按组织结构不同,腺癌还可分为乳头状癌、管状腺癌、低分化腺癌、黏液腺癌和印戒细胞癌。按细胞分化程度不同,可分为高分化、中分化、低分化3种。按组织起源可分为肠型和胃型(弥漫型)。
本公司生产的人胃癌组织源细胞采用酶解法制备而来,细胞总量约为5×105/T25方瓶,细胞纯度可达90%以上,且不含有HIV-1、 HBV、HCV、支原体、细菌、酵母和真菌等。
培养基信息:
我们推荐使用信裕生物研制的人胃癌组织源细胞专用完全培养液(产品编号:信裕
XYH4108-5)作为体外培养人胃癌组织源细胞的培养基。

风险提示:丁香通仅作为第三方平台,为商家信息发布提供平台空间。用户咨询产品时请注意保护个人信息及财产安全,合理判断,谨慎选购商品,商家和用户对交易行为负责。对于医疗器械类产品,请先查证核实企业经营资质和医疗器械产品注册证情况。
技术资料暂无技术资料 索取技术资料
人胃癌组织源细胞
¥6260








