万千商家帮你免费找货
0 人在求购买到急需产品
- 详细信息
- 文献和实验
- 技术资料
- 服务名称:
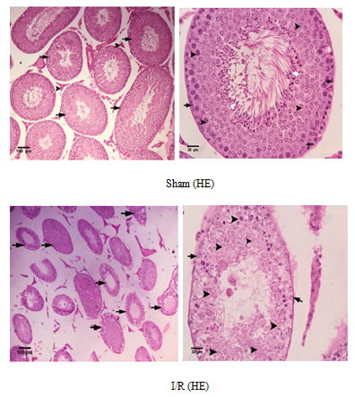
睾丸缺血再灌注损伤模型
| 实验动物信息 | |
| 动物模型名称 | 睾丸缺血再灌注损伤模型 |
| 动物的种属、品系 | SD大鼠 |
| 动物性别 | ♂ |
| 动物年龄 | 8周龄 |
| 动物体重 | 200~250g左右 |
观察指标
睾丸大体观察,炎症因子如IL-1β、TNF-α,睾丸生精结构组织形态学观察等;
部分实验图展示
风险提示:丁香通仅作为第三方平台,为商家信息发布提供平台空间。用户咨询产品时请注意保护个人信息及财产安全,合理判断,谨慎选购商品,商家和用户对交易行为负责。对于医疗器械类产品,请先查证核实企业经营资质和医疗器械产品注册证情况。
文献和实验一、技术简介: 脑出血(cerebral hemorrhage)是指非外伤性脑实质内血管破裂引起的出血,占全部脑卒中的20%~30%,急性期病死率为30%~40%。目前实验造模的方法主要有脑立体定位注射自体血或者胶原酶,我公司有多年脑出血造模经验,可以满足实验要求。 脑缺血再灌注损伤(cerebral ischemia-reperfusion injury)是指脑缺血致脑细胞损伤,恢复血液再灌注后,其缺血性损伤反而进一步加重的现象。建立理想的脑缺血再灌注损伤动物模型是脑血管病研究的基础
张锋/曹云霞/司维/谭跃球等团队联合发现首个灵长类特异的弱畸精子症致病基因 SSX1
基因,对于这一类致病基因,已经无法使用啮齿类动物进行致病性、表型和分子机理的研究。通过进化分析,研究者选用了与人类进化关系极为接近的食蟹猴和树鼩进行了表型和致病机理的分析。由于灵长类或近灵长类动物生殖周期较长,通过基因编辑构建的模型无法实现短时间内的表型观察研究。研究者们选用了技术上较为成熟的腺相关病毒介导的 shRNA 干扰方法,通过睾丸网注射实现了 Ssx1 基因的在体敲降。进一步的表型观察发现,食蟹猴和树鼩均表现为严重的弱精、精子畸形相关的表型(图 3,图 4)。 图 3. 树鼩 Ssx1 基因敲降模型
氧气吸多了也有害!今日 Mol Cell:过量氧气损害健康的关键途径被找到了
来源:Molecular Cell 共同的蛋白质簇 起初,研究团队无法确定这四种分子通路的共同点,以及为什么它们都受到高氧水平的影响。经过一些研究发现,每个通路都拥有一个关键的蛋白质,在其分子结构中含有与硫原子相连的铁原子,即所谓的「铁硫簇」(Fe-S 簇)。他们发现高氧会破坏含 Fe-S 簇蛋白,导致双乙酰胺合成、嘌呤代谢、核苷酸切除修复和电子传递链(ETC)功能受损。 小鼠模型中,高氧会诱导急性肺损伤。并且在原代人肺细胞和小鼠肺氧毒性模型中,高氧会导致小鼠和人肺细胞中特定的含
技术资料暂无技术资料 索取技术资料









