研选同类产品更多 >
万千商家帮你免费找货
0 人在求购买到急需产品
- 详细信息
- 用户评价
- 文献和实验
- 技术资料
- 供应商:
齐氏生物
- 库存:
100 μg
- 靶点:
详询
- 级别:
详询
- 目录编号:
8-80114
- 克隆性:
多克隆
- 抗原来源:
synthetic peptide antigen
- 保质期:
6 months from date of receipt.
- 抗体英文名:
anti-hER-α46 & ER-α66
- 抗体名:
anti-hER-α46 & ER-α66抗体
- 标记物:
详询
- 宿主:
rabbit
- 适应物种:
human, mouse, and hamster
- 免疫原:
详询
- 亚型:
详询
- 形态:
Liquid
- 应用范围:
immunostaining, westernblot, immunoprecipitation
- 浓度:
1 mg/ml
- 保存条件:
2-8℃ for short term; freeze in Suitable Aliquots.
产品说明
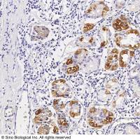
Descriptions: The antibody was raised against a synthetic peptide antigen corresponding to the unique C-terminal 18 amino acids of hER-α66. The specificity of the antibody was tested in hER-α46 and hER-α66 expression cells, MCF-7 Cells and breast carcinoma tissues. This rabbit polyclonal anti-hER-α46 & hER-α66 antibody is supplied in affinity-purified form.
Storage: 2-8 ℃ for short term; freeze in Suitable Aliquots.
Antibody Concentration: 1 mg/ml.
Physical Appearance: Liquid.
Buffer: Tris/Glycine (pH7.4).
Stabilizing Agent: 0.1% BSA.
Preservative: in 10mM PBS, pH 7.6, with 0.2% BSA and 15mM sodium azide.
Shelf Life: 6 months from date of receipt.
Reactivity: human, mouse, and hamster (not rat ,others not tested)
Application: immunostaining, westernblot, immunoprecipitation.
规格型号
论文引用(2007-2019部分)
(图片选自文章:https://www.sciencedirect.com/science/article/abs/pii/S0039128X19301370?via%3Dihub)
1.Estrogen signaling and estrogen receptors as prognostic indicators in laryngeal cancer
A Verma, N Schwartz, DJ Cohen, BD Boyan… - Steroids, 2019 - Elsevier
… Abcam, Cambridge, United Kingdom) or ERα (rabbit polyclonal, Chi Scientific, Maynard, MA),
which detects ERα66 and ERα36. All tissue or cell lysates were run on two separate western
blots, and data from one representative blot is shown. 2.8.1. Estrogen and estrogen …
Cited by 2 Related articles All 5 versions
2.24R, 25-dihydroxyvitamin D3 modulates tumorigenicity in breast cancer in an estrogen receptor-dependent manner
A Verma, Z Schwartz, BD Boyan - Steroids, 2019 - Elsevier
… Western blots were used to identify and quantify estrogen receptor protein in all cell lines as
previously described [9]. In brief, cells were grown to confluence in T …ERα66, ERα46, and ERα36
were assessed with an all-ERα primary antibody (Chi Scientific #80113, Maynard, MA) …
3.Effect of 17β-estradiol on estrogen receptor negative breast cancer cells in an osteolytic mouse model
DJ Cohen, V Patel, A Verma, BD Boyan, Z Schwartz - Steroids, 2019 - Elsevier
… Effects of estrogen on osteolysis were assessed as a function of time and treatment with
17β-estradiol. 2. Material and methods … Primary antibodies against ERα were from Chi Scientific
(Maynard, MA, #8-80119, #8-80113); antibodies to GAPDH were from Millipore-Sigma (St …
Cited by 1 Related articles All 6 versions
4.Estradiol receptor profile and estrogen responsiveness in laryngeal cancer and clinical outcomes
N Schwartz, A Verma, C Muktipaty, C Bivens… - Steroids, 2019 - Elsevier
… Louis, MO, #C4555-10G) [16]. Estrogen receptors were inhibited using a neutralizing antibody
to ERα36 (Chi Scientific, Maynard, MA) [37]. Confluent cultures were pre-treated with media
containing different concentrations of the inhibitor as indicated below …
Cited by 6 Related articles All 5 versions
5.Estrogen receptor-alpha 36 mediates the anti-apoptotic effect of estradiol in triple negative breast cancer cells via a membrane-associated mechanism
RA Chaudhri, A Hadadi, KS Lobachev… - … et Biophysica Acta (BBA …, 2014 - Elsevier
… Estrogen receptors (ERs) play a major role in classification, diagnosis, and treatment of breast
cancer [13], [14], [15] … ERα36 overexpression plasmids were purchased from Chi Scientific
(Maynard, MA). Polyfect transfection reagent was obtained from Qiagen (Germantown, MD) …
6.Membrane estrogen signaling enhances tumorigenesis and metastatic potential of breast cancer cells via estrogen receptor-α36 (ERα36)
RA Chaudhri, R Olivares-Navarrete, N Cuenca… - Journal of Biological …, 2012 - ASBMB
… needed. The purpose of this study was to evaluate the role of ERα36 in membrane-
associated estrogen signaling in breast cancer … Sciences. Polyclonal ERα66 and ERα36
antibodies were purchased from Chi Scientific (Maynard, MA) …
Cited by 90 Related articles All 8 versions
7.Regulation of Mouse Slo Gene Expression MULTIPLE PROMOTERS, TRANSCRIPTION START SITES, AND GENOMIC ACTION OF ESTROGEN
P Kundu, A Alioua, E Stefani, L Toro - Journal of Biological Chemistry, 2007 - ASBMB
… Estrogen-treated MCF7 cell nuclear extract was from Active Motif … of nuclear extract from HeLa
cells transfected with hERα was resolved in a 4-20% gradient SDS gel and immunoblotted using
a polyclonal antibody raised against hERα (ER-α66, CHI Scientific) as described …
Cited by 46 Related articles All 6 versions
更多抗体:
代表产品
论文引用(2007-2019部分)
(图片选自文章:https://www.sciencedirect.com/science/article/abs/pii/S0039128X19301370?via%3Dihub)
1.Estrogen signaling and estrogen receptors as prognostic indicators in laryngeal cancer
A Verma, N Schwartz, DJ Cohen, BD Boyan… - Steroids, 2019 - Elsevier
… Abcam, Cambridge, United Kingdom) or ERα (rabbit polyclonal, Chi Scientific, Maynard, MA),
which detects ERα66 and ERα36. All tissue or cell lysates were run on two separate western
blots, and data from one representative blot is shown. 2.8.1. Estrogen and estrogen …
Cited by 2 Related articles All 5 versions
2.24R, 25-dihydroxyvitamin D3 modulates tumorigenicity in breast cancer in an estrogen receptor-dependent manner
A Verma, Z Schwartz, BD Boyan - Steroids, 2019 - Elsevier
… Western blots were used to identify and quantify estrogen receptor protein in all cell lines as
previously described [9]. In brief, cells were grown to confluence in T …ERα66, ERα46, and ERα36
were assessed with an all-ERα primary antibody (Chi Scientific #80113, Maynard, MA) …
3.Effect of 17β-estradiol on estrogen receptor negative breast cancer cells in an osteolytic mouse model
DJ Cohen, V Patel, A Verma, BD Boyan, Z Schwartz - Steroids, 2019 - Elsevier
… Effects of estrogen on osteolysis were assessed as a function of time and treatment with
17β-estradiol. 2. Material and methods … Primary antibodies against ERα were from Chi Scientific
(Maynard, MA, #8-80119, #8-80113); antibodies to GAPDH were from Millipore-Sigma (St …
Cited by 1 Related articles All 6 versions
4.Estradiol receptor profile and estrogen responsiveness in laryngeal cancer and clinical outcomes
N Schwartz, A Verma, C Muktipaty, C Bivens… - Steroids, 2019 - Elsevier
… Louis, MO, #C4555-10G) [16]. Estrogen receptors were inhibited using a neutralizing antibody
to ERα36 (Chi Scientific, Maynard, MA) [37]. Confluent cultures were pre-treated with media
containing different concentrations of the inhibitor as indicated below …
Cited by 6 Related articles All 5 versions
5.Estrogen receptor-alpha 36 mediates the anti-apoptotic effect of estradiol in triple negative breast cancer cells via a membrane-associated mechanism
RA Chaudhri, A Hadadi, KS Lobachev… - … et Biophysica Acta (BBA …, 2014 - Elsevier
… Estrogen receptors (ERs) play a major role in classification, diagnosis, and treatment of breast
cancer [13], [14], [15] … ERα36 overexpression plasmids were purchased from Chi Scientific
(Maynard, MA). Polyfect transfection reagent was obtained from Qiagen (Germantown, MD) …
6.Membrane estrogen signaling enhances tumorigenesis and metastatic potential of breast cancer cells via estrogen receptor-α36 (ERα36)
RA Chaudhri, R Olivares-Navarrete, N Cuenca… - Journal of Biological …, 2012 - ASBMB
… needed. The purpose of this study was to evaluate the role of ERα36 in membrane-
associated estrogen signaling in breast cancer … Sciences. Polyclonal ERα66 and ERα36
antibodies were purchased from Chi Scientific (Maynard, MA) …
Cited by 90 Related articles All 8 versions
7.Regulation of Mouse Slo Gene Expression MULTIPLE PROMOTERS, TRANSCRIPTION START SITES, AND GENOMIC ACTION OF ESTROGEN
P Kundu, A Alioua, E Stefani, L Toro - Journal of Biological Chemistry, 2007 - ASBMB
… Estrogen-treated MCF7 cell nuclear extract was from Active Motif … of nuclear extract from HeLa
cells transfected with hERα was resolved in a 4-20% gradient SDS gel and immunoblotted using
a polyclonal antibody raised against hERα (ER-α66, CHI Scientific) as described …
Cited by 46 Related articles All 6 versions
更多抗体:
代表产品
| 分类 | 抗体名称 |
| 单克隆抗体 | Anti-KDM5C mouse monoclonal antibody Anti-KDM5C mouse monoclonal antibody Anti-GTF2B mouse monoclonal antibody Anti-SMYD2 mouse monoclonal antibody Anti-CXCL8 mouse monoclonal antibody Anti-SMC1A(N-term) mouse monoclonal antibody Anti-MAP2(N-term) mouse monoclonal antibody Anti-BRAF mouse monoclonal antibody Anti-GRK2 mouse monoclonal antibody Anti-FOXA1 mouse monoclonal antibody Anti-GATA4 mouse monoclonal antibody Anti-BCL2L1 mouse monoclonal antibody |
| 多克隆抗体 | Anti-PCNA rabbit polyclonal antibody Anti-STAT1 rabbit polyclonal antibody Anti-MMP1 rabbit polyclonal antibody Anti-TLR2 rabbit polyclonal antibody Anti-ANXA1 rabbit polyclonal antibody Anti-KRT8 rabbit polyclonal antibody Anti-ATF2 rabbit polyclonal antibody Anti-CAPN1 rabbit polyclonal antibody Anti-CCK rabbit polyclonal antibody Anti-CLEC10A rabbit polyclonal antibody Anti-EFNA3 rabbit polyclonal antibody Anti-TNFRSF10C rabbit polyclonal antibody |
| 标签/ 内参抗体 |
Anti-GAPDH mouse monoclonal antibody Anti-ACTB(HRP-Conjugate) mouse monoclonal antibody Anti-TUBB(HRP-Conjugate) mouse monoclonal antibody Anti-Rubisco mouse monoclonal antibody Anti-Myc-Tag Mouse Monoclonal antibody Anti-GST Tag mouse monoclonal antibody Anti-Trx-Tag mouse monoclonal antibody Anti-DsbA-Tag mouse monoclonal antibody Anti-GFP/eGFP-Tag mouse monoclonal antibody Anti-Flag-Tag mouse monoclonal antibody Anti-6×His Tag mouse monoclonal antibody Anti-MBP Tag mouse monoclonal antibody Anti-EYFP Tag mouse monoclonal antibody |
更多详情,请咨询 ![]()
![]()
![]()
热线电话:400-8822-003
客服QQ:2853021591 / 2853021595

风险提示:丁香通仅作为第三方平台,为商家信息发布提供平台空间。用户咨询产品时请注意保护个人信息及财产安全,合理判断,谨慎选购商品,商家和用户对交易行为负责。对于医疗器械类产品,请先查证核实企业经营资质和医疗器械产品注册证情况。
用户评价
暂无用户评价
文献和实验该产品被引用文献
1.Estrogen signaling and estrogen receptors as prognostic indicators in laryngeal cancer
A Verma, N Schwartz, DJ Cohen, BD Boyan… - Steroids, 2019 - Elsevier
… Abcam, Cambridge, United Kingdom) or ERα (rabbit polyclonal, Chi Scientific, Maynard, MA),
which detects ERα66 and ERα36. All tissue or cell lysates were run on two separate western
blots, and data from one representative blot is shown. 2.8.1. Estrogen and estrogen …
Cited by 2 Related articles All 5 versions
2.24R, 25-dihydroxyvitamin D3 modulates tumorigenicity in breast cancer in an estrogen receptor-dependent manner
A Verma, Z Schwartz, BD Boyan - Steroids, 2019 - Elsevier
… Western blots were used to identify and quantify estrogen receptor protein in all cell lines as
previously described [9]. In brief, cells were grown to confluence in T …ERα66, ERα46, and ERα36
were assessed with an all-ERα primary antibody (Chi Scientific #80113, Maynard, MA) …
3.Effect of 17β-estradiol on estrogen receptor negative breast cancer cells in an osteolytic mouse model
DJ Cohen, V Patel, A Verma, BD Boyan, Z Schwartz - Steroids, 2019 - Elsevier
… Effects of estrogen on osteolysis were assessed as a function of time and treatment with
17β-estradiol. 2. Material and methods … Primary antibodies against ERα were from Chi Scientific
(Maynard, MA, #8-80119, #8-80113); antibodies to GAPDH were from Millipore-Sigma (St …
Cited by 1 Related articles All 6 versions
4.Estradiol receptor profile and estrogen responsiveness in laryngeal cancer and clinical outcomes
N Schwartz, A Verma, C Muktipaty, C Bivens… - Steroids, 2019 - Elsevier
… Louis, MO, #C4555-10G) [16]. Estrogen receptors were inhibited using a neutralizing antibody
to ERα36 (Chi Scientific, Maynard, MA) [37]. Confluent cultures were pre-treated with media
containing different concentrations of the inhibitor as indicated below …
Cited by 6 Related articles All 5 versions
5.Estrogen receptor-alpha 36 mediates the anti-apoptotic effect of estradiol in triple negative breast cancer cells via a membrane-associated mechanism
RA Chaudhri, A Hadadi, KS Lobachev… - … et Biophysica Acta (BBA …, 2014 - Elsevier
… Estrogen receptors (ERs) play a major role in classification, diagnosis, and treatment of breast
cancer [13], [14], [15] … ERα36 overexpression plasmids were purchased from Chi Scientific
(Maynard, MA). Polyfect transfection reagent was obtained from Qiagen (Germantown, MD) …
6.Membrane estrogen signaling enhances tumorigenesis and metastatic potential of breast cancer cells via estrogen receptor-α36 (ERα36)
RA Chaudhri, R Olivares-Navarrete, N Cuenca… - Journal of Biological …, 2012 - ASBMB
… needed. The purpose of this study was to evaluate the role of ERα36 in membrane-
associated estrogen signaling in breast cancer … Sciences. Polyclonal ERα66 and ERα36
antibodies were purchased from Chi Scientific (Maynard, MA) …
Cited by 90 Related articles All 8 versions
7.Regulation of Mouse Slo Gene Expression MULTIPLE PROMOTERS, TRANSCRIPTION START SITES, AND GENOMIC ACTION OF ESTROGEN
P Kundu, A Alioua, E Stefani, L Toro - Journal of Biological Chemistry, 2007 - ASBMB
… Estrogen-treated MCF7 cell nuclear extract was from Active Motif … of nuclear extract from HeLa
cells transfected with hERα was resolved in a 4-20% gradient SDS gel and immunoblotted using
a polyclonal antibody raised against hERα (ER-α66, CHI Scientific) as described …
Cited by 46 Related articles All 6 versions
A Verma, N Schwartz, DJ Cohen, BD Boyan… - Steroids, 2019 - Elsevier
… Abcam, Cambridge, United Kingdom) or ERα (rabbit polyclonal, Chi Scientific, Maynard, MA),
which detects ERα66 and ERα36. All tissue or cell lysates were run on two separate western
blots, and data from one representative blot is shown. 2.8.1. Estrogen and estrogen …
Cited by 2 Related articles All 5 versions
2.24R, 25-dihydroxyvitamin D3 modulates tumorigenicity in breast cancer in an estrogen receptor-dependent manner
A Verma, Z Schwartz, BD Boyan - Steroids, 2019 - Elsevier
… Western blots were used to identify and quantify estrogen receptor protein in all cell lines as
previously described [9]. In brief, cells were grown to confluence in T …ERα66, ERα46, and ERα36
were assessed with an all-ERα primary antibody (Chi Scientific #80113, Maynard, MA) …
3.Effect of 17β-estradiol on estrogen receptor negative breast cancer cells in an osteolytic mouse model
DJ Cohen, V Patel, A Verma, BD Boyan, Z Schwartz - Steroids, 2019 - Elsevier
… Effects of estrogen on osteolysis were assessed as a function of time and treatment with
17β-estradiol. 2. Material and methods … Primary antibodies against ERα were from Chi Scientific
(Maynard, MA, #8-80119, #8-80113); antibodies to GAPDH were from Millipore-Sigma (St …
Cited by 1 Related articles All 6 versions
4.Estradiol receptor profile and estrogen responsiveness in laryngeal cancer and clinical outcomes
N Schwartz, A Verma, C Muktipaty, C Bivens… - Steroids, 2019 - Elsevier
… Louis, MO, #C4555-10G) [16]. Estrogen receptors were inhibited using a neutralizing antibody
to ERα36 (Chi Scientific, Maynard, MA) [37]. Confluent cultures were pre-treated with media
containing different concentrations of the inhibitor as indicated below …
Cited by 6 Related articles All 5 versions
5.Estrogen receptor-alpha 36 mediates the anti-apoptotic effect of estradiol in triple negative breast cancer cells via a membrane-associated mechanism
RA Chaudhri, A Hadadi, KS Lobachev… - … et Biophysica Acta (BBA …, 2014 - Elsevier
… Estrogen receptors (ERs) play a major role in classification, diagnosis, and treatment of breast
cancer [13], [14], [15] … ERα36 overexpression plasmids were purchased from Chi Scientific
(Maynard, MA). Polyfect transfection reagent was obtained from Qiagen (Germantown, MD) …
6.Membrane estrogen signaling enhances tumorigenesis and metastatic potential of breast cancer cells via estrogen receptor-α36 (ERα36)
RA Chaudhri, R Olivares-Navarrete, N Cuenca… - Journal of Biological …, 2012 - ASBMB
… needed. The purpose of this study was to evaluate the role of ERα36 in membrane-
associated estrogen signaling in breast cancer … Sciences. Polyclonal ERα66 and ERα36
antibodies were purchased from Chi Scientific (Maynard, MA) …
Cited by 90 Related articles All 8 versions
7.Regulation of Mouse Slo Gene Expression MULTIPLE PROMOTERS, TRANSCRIPTION START SITES, AND GENOMIC ACTION OF ESTROGEN
P Kundu, A Alioua, E Stefani, L Toro - Journal of Biological Chemistry, 2007 - ASBMB
… Estrogen-treated MCF7 cell nuclear extract was from Active Motif … of nuclear extract from HeLa
cells transfected with hERα was resolved in a 4-20% gradient SDS gel and immunoblotted using
a polyclonal antibody raised against hERα (ER-α66, CHI Scientific) as described …
Cited by 46 Related articles All 6 versions
研选
anti-hER-α46 & ER-α66 antibody 抗体
¥2389









![APC标记抗小鼠CD206/MMR抗体-流式抗体[C068C2]](https://img1.dxycdn.com/p/s14/2025/0609/471/0481799173518002391.png!wh200)


