相关产品推荐更多 >
万千商家帮你免费找货
0 人在求购买到急需产品
- 详细信息
- 文献和实验
- 技术资料
- 供应商:
生物科技有限公司
- 库存:
大量
- 级别:
科研
- 克隆性:
多克隆
- 保质期:
请参考说明
- 抗体英文名:
Anti-PLA2R1 Antibody
- 抗体名:
Anti-PLA2R1 Antibody
- 宿主:
Rabbit
- 适应物种:
Human
- 免疫原:
Recombinant Protein Epitope Signature Tag (PrEST) antigen sequence
- 亚型:
IgG
- 形态:
液体
- 应用范围:
IHC、WB
- 浓度:
请参考说明
- 规格:
25ul/100ul
| 规格: | 25ul | 产品价格: | ¥4208.4 |
|---|---|---|---|
| 规格: | 100ul | 产品价格: | ¥5584.24 |
Anti-PLA2R1 Antibody 由Atlas Antibodies公司研发生产,产品货号是HPA012657,有25ul、100ul两种规格可供选择。欣博盛生物是Atlas Antibodies授权一级代理,如需购买Atlas Antibodies产品,请联系代理商欣博盛生物。
研究表明磷脂酶A2受体1 (PLA2R1)可以作为分泌型磷脂酶A2(sPLA2s)的清除或信号受体。PLA2R1通过影响线粒体生物学在控制癌细胞死亡中起到的重要作用。。
产品详情:
别名:CLEC13C, PLA2-R, PLA2G1R, PLA2IR
类型:多克隆抗体
来源:Rabbit IgG
应用: IHC, WB
反应种属:human
免疫原:Recombinant Protein Epitope Signature Tag (PrEST) antigen sequence: EEKTWHEALRSCQADNSALIDITSLAEVEFLVTLLGDENASETWIGLSSNKIPVSFEWSNDSSVIFTNWHTLEPHIFPNRSQLCVSAEQSEGHWKVKNCEERLFYICKKAGHVLSDAESGCQEGWERHGGFCYKID
缓冲液组成:40% glycerol and PBS (pH 7.2). 0.02% sodium azide is added as preservative.
应用实例:

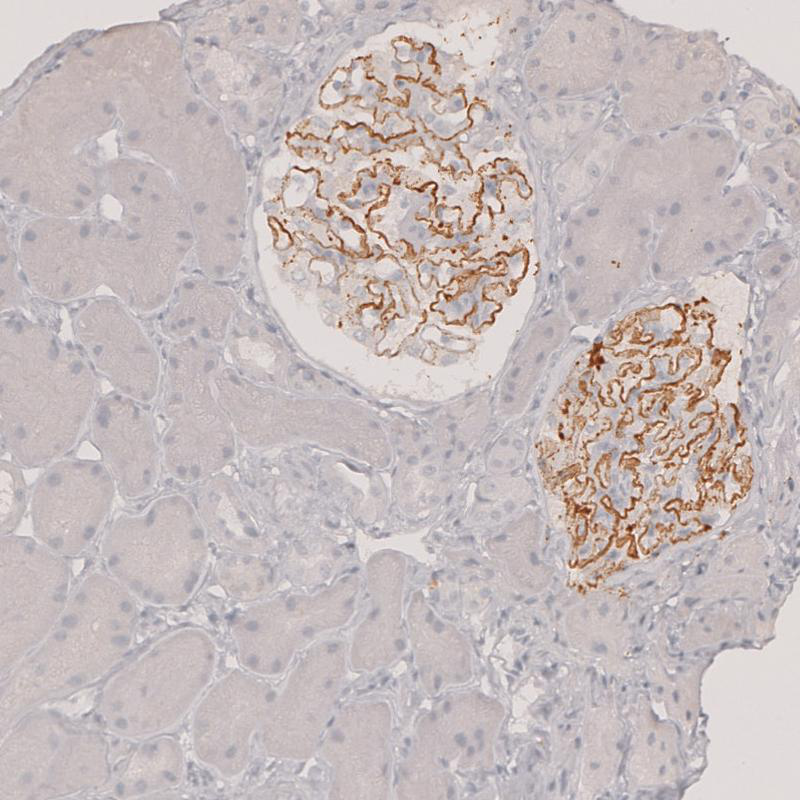
Immunohistochemical staining of human Kidney shows strong membranous positivity in cells in glomeruli.

WB analysis in human kidney tissue.
订购信息:
| 产品名称 |
货号 |
规格 |
| PLA2R1 Antibody |
HPA012657 |
100ul |
更多详情请联系Atlas Antibodies中国授权代理商欣博盛生物
关于Atlas
Atlas Antibodies生产和销售由human Proteome Resourc(HPR)中心开发并经过认证的抗体,HPR管理瑞典Human Protein Atlas(HPA)项目.Human Proteome Resource是一家利用亲和性抗体方法,将蛋白芯片分析方法与高通量亲和抗体相结合系统研究人类蛋白质组的科研机构。Human Protein Atlas项目绘制大量正常和癌症组织和器官的蛋白表达和定位图谱。HPA的目标是系统生产用于人类蛋白的高质量抗体并使用这些试剂研究人类蛋白、蛋白多样性和蛋白互作。
风险提示:丁香通仅作为第三方平台,为商家信息发布提供平台空间。用户咨询产品时请注意保护个人信息及财产安全,合理判断,谨慎选购商品,商家和用户对交易行为负责。对于医疗器械类产品,请先查证核实企业经营资质和医疗器械产品注册证情况。
文献和实验请联系Atlas Antibodies中国授权代理商--欣博盛生物
人抗狂犬病毒抗体(anti-RV)酶联免疫分析(ELISA)
人抗狂犬病毒抗体 (anti-RV) 酶联免疫分析( ELISA ) 试剂盒使用说明书 本试剂仅供研究使用 目的:本试剂盒用于测定人血清,血浆及相关液体样本中抗狂犬病毒抗体(anti-RV) 的含量。 实验原理: 本试剂盒应用双抗体夹心法测定标本中 人抗狂犬病毒抗体 (anti-RV) 水平。用纯化的 人狂犬病毒抗体 包被微孔板,制成固相抗体,往包被单抗的微孔中依次加入 犬狂犬病毒抗体
人抗风疹病毒IgG抗体(anti-RV IgG)酶联免疫分析(ELISA)
人抗风疹病毒IgG 抗体(anti-RV IgG ) 酶联免疫分析( ELISA ) 试剂盒使用说明书 本试剂仅供研究使用 目的:本试剂盒用于测定人血清,血浆及相关液体样本中抗风疹病毒IgG 抗体(anti-RV IgG )含量。 实验原理: 本试剂盒应用双抗原夹心法测定标本中人抗风疹病毒 IgG 抗体( anti-RV IgG )水平。用纯化的抗原包被微孔板,制成固相抗原,往包被单抗的微孔
a simple ELISA method to detect human anti-antibody response.
技术资料暂无技术资料 索取技术资料






![GSDMD antibody [N3C3]](https://custom.dxycdn.com/trademd/upload/pic/2011/12/20/1324015994.jpg!small.t.1)
![ADAR1 antibody [N3C1], Internal](https://img1.dxycdn.com/2023/0516/895/8887749495766728561-14.jpg!wh200)

