相关产品推荐更多 >
万千商家帮你免费找货
0 人在求购买到急需产品
- 详细信息
- 文献和实验
- 技术资料
- 免疫原:
Recombinant protein encompassing a sequence within the center region of human TRAF6. The exact sequence is proprietary.
- 亚型:
IgG
- 形态:
Liquid
- 保存条件:
Store as concentrated solution. Centrifuge briefly prior to opening vial. For short-term storage (1-2 weeks), store at 4ºC. For long-term storage, aliquot and store at -20ºC or below. Avoid multiple freeze-thaw cycles.
- 克隆性:
Polyclonal
- 标记物:
Unconjugated
- 适应物种:
Human, Mouse, Rat
- 保质期:
12 months from the shipping date of the product.
- 抗原来源:
Human
- 目录编号:
GTX113029
- 级别:
Primary Antibodies
- 库存:
Available
- 供应商:
GeneTex
- 宿主:
Rabbit
- 应用范围:
WB, ICC/IF, IHC-P, IP
- 浓度:
1 mg/ml (Please refer to the vial label for the specific concentration.)
- 靶点:
TRAF6
- 抗体英文名:
TRAF6 antibody [N2C2], Internal
- 抗体名:
TRAF6 抗体 [N2C2], Internal
- 规格:
100 μl/25 μl
| 规格: | 100 μl | 产品价格: | ¥4000.0 |
|---|---|---|---|
| 规格: | 25 μl | 产品价格: | ¥1700.0 |
Whole cell extract (30 μg) was separated by 10% SDS-PAGE, and the membrane was blotted with TRAF6 antibody [N2C2], Internal (GTX113029) diluted at 1:1000.
Whole cell extract (30 μg) was separated by 10% SDS-PAGE, and the membrane was blotted with TRAF6 antibody [N2C2], Internal (GTX113029) diluted at 1:2000.
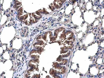
TRAF6 antibody [N2C2], Internal detects TRAF6 protein at cytoplasm in mouse lung by immunohistochemical analysis.
Sample: Paraffin-embedded mouse lung.
TRAF6 antibody [N2C2], Internal (GTX113029) diluted at 1:500.
Antigen Retrieval: Citrate buffer, pH 6.0, 15 min
Immunohistochemical analysis of paraffin-embedded 59T xenograft, using TRAF6(GTX113029) antibody at 1:500 dilution.
Antigen Retrieval: Trilogy™ (EDTA based, pH 8.0) buffer, 15min
TRAF6 antibody [N2C2], Internal immunoprecipitates TRAF6 protein in IP experiments.
IP samples: K562 whole cell extract
A. Control with 4 μg of preimmune Rabbit IgG
B. Immunoprecipitation of TRAF6 protein by 4 μg TRAF6 antibody [N2C2], Internal (GTX113029)
7.5 % SDS-PAGE
The immunoprecipitated TRAF6 protein was detected by TRAF6 antibody [N2C2], Internal (GTX113029) diluted at 1:500.
[EasyBlot anti-rabbit IgG (GTX221666-01) was used as a secondary reagent]
TRAF6 antibody [N2C2], Internal detects TRAF6 protein at cytoplasm in rat brain by immunohistochemical analysis.
Sample: Paraffin-embedded rat brain.
TRAF6 antibody [N2C2], Internal (GTX113029) diluted at 1:500.
Antigen Retrieval: Citrate buffer, pH 6.0, 15 min
TRAF6 antibody [N2C2], Internal detects TRAF6 protein at cytoplasm and nucleus by immunofluorescent analysis.
Sample: HeLa cells were fixed in 4% PFA at RT for 15 min.
Green: TRAF6 protein stained by TRAF6 antibody [N2C2], Internal (GTX113029) diluted at 1:100.
Red: alpha Tubulin, a cytoskeleton marker, stained by alpha Tubulin antibody [GT114] (GTX628802) diluted at 1:1000.
Blue: Hoechst 33342 staining.
Sample (30 μg of whole cell lysate)
A: NIH-3T3
B: BCL-1
7.5% SDS PAGE
GTX113029 diluted at 1:1000
The HRP-conjugated anti-rabbit IgG antibody (GTX213110-01) was used to detect the primary antibody.
风险提示:丁香通仅作为第三方平台,为商家信息发布提供平台空间。用户咨询产品时请注意保护个人信息及财产安全,合理判断,谨慎选购商品,商家和用户对交易行为负责。对于医疗器械类产品,请先查证核实企业经营资质和医疗器械产品注册证情况。
文献和实验Pei-Ying Li et al., RSC Adv. 2018 8()
Zhong X et al., Endocrinology 2015 (PMID:26083874)
Hung CJ et al., J Endod 2013 (PMID:24238446)
Han P et al., Int J Mol Sci 2023 (PMID:37108595)
Lim TJF et al., J Exp Med 2020 (PMID:32438408)
Nara K et al., J Cell Physiol 2019 (PMID:31042008)
Huang WC et al., Chembiochem 2019 (PMID:30378729)
Preparation and Assay of Acetylcholinesterase Antibody
structures mimicking external antigen results from the fact that the conformation of some of the anti-idiotypic antibodies may be complementary to the three-dimensional structure of the binding site of the first antibody, and therefore, represents
Protocol for anti-HA antibody Western Blotting
film for ~2 mins. Notes on the primary antibody: Source : Covance/Babco Description: Crude ascites fluid monoclonal anti-HA antibody (CATLN#135032002, 11mms-101R, 0.5 ml) Handling: Aliquoted into 10ul portions in -20℃ Internal notes: labelled anti
Analysis of Antibody-Antigen Interactions Using Surface Plasmon Resonance
Accurate analyses of antibody specificities and affinities are critical to understanding their role in antibody-mediated neutralization of HIV-1 in vitro and their potential activity against HIV-1 in vivo. Multiple immunologic tools
技术资料暂无技术资料 索取技术资料









