万千商家帮你免费找货
0 人在求购买到急需产品
- 详细信息
- 技术资料
- 提供商:
深圳市拓普生物科技有限公司
- 服务名称:
膀胱炎动物模型
- 规格:
询价
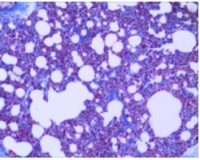
间质性膀胱炎/膀胱疼痛综合征(IC /BPS)是国际公认的诊疗十分困难的下尿路功能障碍相关性疾病之一。目前有多种建模方式,其中啮齿类动物的建模周期短表现稳定操作简单,由于IC /BPS不存在标准的病理变化,因此没有公认的造模标准。各类动物模型大多表现IC /BPS的一种或几种表型,哪种模型的表型最全面、最适合用作研究,目前尚无定论。
观察指标
炎症因子如P2X3、PGE2、EP2、TNF-α、IACM-1,膀胱组织病理学检查,进行肥大细胞染色并计数等。
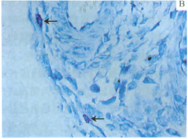
部分实验图展示
肥大细胞特殊染色,箭头所指为脱颗粒状态的肥大细胞
| 实验动物信息 | |
| 动物模型名称 | 膀胱炎动物模型 |
| 动物的种属、品系 | SD大鼠 |
| 动物性别 | ♂ |
| 动物年龄 | 成年 |
| 动物体重 | 200~250g |
炎症因子如P2X3、PGE2、EP2、TNF-α、IACM-1,膀胱组织病理学检查,进行肥大细胞染色并计数等。
部分实验图展示
肥大细胞特殊染色,箭头所指为脱颗粒状态的肥大细胞
风险提示:丁香通仅作为第三方平台,为商家信息发布提供平台空间。用户咨询产品时请注意保护个人信息及财产安全,合理判断,谨慎选购商品,商家和用户对交易行为负责。对于医疗器械类产品,请先查证核实企业经营资质和医疗器械产品注册证情况。
技术资料暂无技术资料 索取技术资料
膀胱炎动物模型
询价









